You are here

Подозрение на повреждение гортани

Пол пациента: 
Тип патологии: 
Область исследования: 
Методы исследования: 

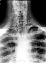
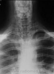
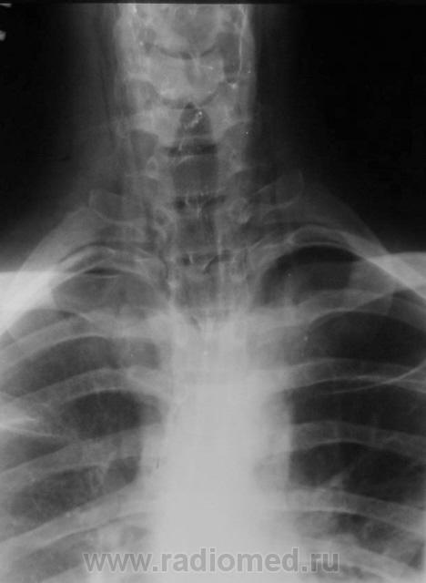
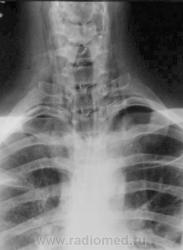
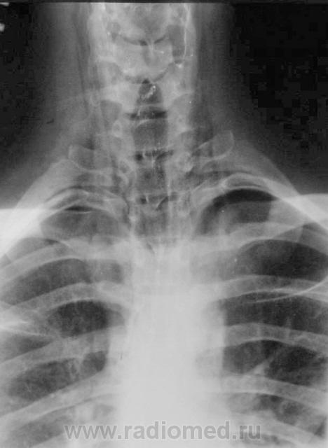
Молодой человек получил удар в шею. Был доставлен в травмпункт, дан барий для исключения перфорации пищевода.

Перфорации похоже нет, но есть другое...

  • https://radiomed.ru/sites/default/files/styles/case_slider_image/public/user/12/1..sl272914.jpg?itok=BrWsK82r
  • https://radiomed.ru/sites/default/files/styles/case_slider_image/public/user/12/2..sl272914a.jpg?itok=ikB1ZBME
  • https://radiomed.ru/sites/default/files/styles/case_slider_image/public/user/12/3..sl272914ab.jpg?itok=1kJ8H4ct
  • https://radiomed.ru/sites/default/files/styles/case_slider_image/public/user/12/4..sl272914-1.jpg?itok=S23g9wQa
  • https://radiomed.ru/sites/default/files/styles/case_slider_image/public/user/12/5..sl272914-1a.jpg?itok=psICViJh
ID:5667
lupan's picture
Offline
Last seen: 7 years 3 months ago
Joined: 07.01.2010 - 17:17
Posts: 1406

Это чем же его ударили? Я так понимаю, ограниченный пневмоторакс слева  + эмфизема мягких тканей шеи?

Великое преймущество врача заключается в том, что он не обязан следовать собственным советам. ( А. Кристи)

Helios's picture
Offline
Last seen: 1 year 3 weeks ago
Joined: 06.08.2010 - 15:16
Posts: 4417

Шейный кифоз настораживает.Отсутствие легочного рисунка в верхней доле левого легкого с краем легкогоЭмфизема мягких тканей шеи..Согласна с коллегой.Пару лет назад по кифозу ШОП, увеличению превертебрального пространства и столбу воздуха поставили разрыв пищевода.Дали  контраст-подтвердили.

Ермолаев's picture
Offline
Last seen: 9 years 3 months ago
Joined: 07.02.2009 - 16:33
Posts: 670

Затекания контраста за пределы пищевода на представленных рентгенограммах не выявлено. Нет фазы тугого заполнения. Левосторонний пневмоторакс.

dok

Сан Саныч1's picture
Offline
Last seen: 1 year 4 months ago
Joined: 07.06.2010 - 21:17
Posts: 2114

Да, ЛОРа 100% надо на консультацию, т.к. барий затек не туда.

Хочешь сделать что-то нормально - сделай это сам!