You are here

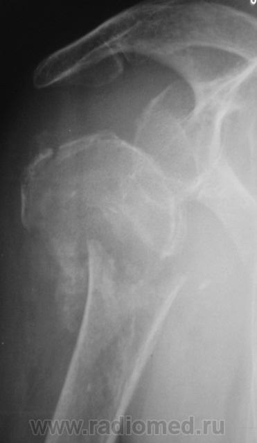
Травма. Пациентка "преклонного" возраста направлена на рентгенографию плечевого сустава.

Пол пациента: 
Тип патологии: 
Область исследования: 
Методы исследования: 

Травма. Пациентка "преклонного" возраста направлена на рентгенографию плечевого сустава.

  • https://radiomed.ru/sites/default/files/styles/case_slider_image/public/user/12/2.p8200019.jpg?itok=7MXU3XHL
  • https://radiomed.ru/sites/default/files/styles/case_slider_image/public/user/12/3.p8200016.jpg?itok=GacAgMmp
  • https://radiomed.ru/sites/default/files/styles/case_slider_image/public/user/12/4.p8200016a.jpg?itok=0JWpA5Ld
  • https://radiomed.ru/sites/default/files/styles/case_slider_image/public/user/12/5.p8200018.jpg?itok=Noej6yji
  • https://radiomed.ru/sites/default/files/styles/case_slider_image/public/user/12/6.p8200018a.jpg?itok=qhRC3HbR
ID:5781
Глазков Игорь Артурович's picture
Offline
Last seen: 10 months 3 weeks ago
Joined: 19.12.2008 - 20:41
Posts: 1597

головки плечевой кости. Вопрос только в том. будет ли этот прелом на фоне остеопороза или пат. изменённой костной ткани?

Прийди к Себе

Анатолий Владимирович Шумаков's picture
Offline
Last seen: 7 years 11 months ago
Joined: 16.10.2009 - 21:16
Posts: 1941

Вероятно перелом патологический, на фоне метастатического поражения. Показана рентгенография таза, черепа.

Катенёв Валентин Львович's picture
Offline
Last seen: 7 years 2 months ago
Joined: 22.03.2008 - 22:15
Posts: 54876

В лёгких (кусок лёгкого виден) синдром диссеминации с обеих сторон по типу карциноматоза.

Катенёв Валентин Львович's picture
Offline
Last seen: 7 years 2 months ago
Joined: 22.03.2008 - 22:15
Posts: 54876

Анатолий Шумаков wrote:

Вероятно перелом патологический, на фоне метастатического поражения. Показана рентгенография таза, черепа.

Дообследование сейчас проблемно. Пациент очень затяжелел.

iozefi's picture
Offline
Last seen: 11 years 4 months ago
Joined: 25.08.2010 - 09:54
Posts: 170

очень похоже на метастаз рака почки.

с уважением. Иозефи Д.

Катенёв Валентин Львович's picture
Offline
Last seen: 7 years 2 months ago
Joined: 22.03.2008 - 22:15
Posts: 54876

Похоже, и на метастаз...