В.Л. Катенёв
Очаговый туберкулёз левого лёгкого, выявленный при профилактической флюорографии.
(Рентгенологическое отделение МУЗ «Красногвардейская центральная районная больница», г. Бирюч Белгородской области).
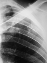
Гражданин С., 35 лет, жалоб не предъявляет. После прохождения профилактической флюорографии (иллюстрации 1, 2) «взят на контроль».
Определяется некоторое усиление и обогащение легочного рисунка в медио-базальных отделах с обеих сторон. Слева под ключицей, на фоне 1 межреберья и 2 ребра определяются очаги средней и малой интенсивности. На фрагменте флюорограммы (с увеличением изображения) не исключается «кавернизация очагов».
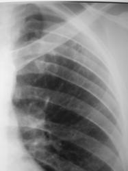
На фрагментах рентгенограмм (иллюстрации 3, 4), в прямой стандартной проекции слева под ключицей определяются полиморфные, различных размеров очаги.
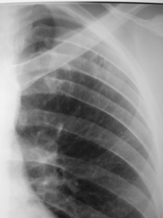
Иллюстрации 5, 6 – фрагменты рентгенограмм, в процессе проводимого лечения (противотуберкулёзное). Регистрируется уменьшение очагов в размерах.
Иллюстрации 7, 8. Фрагменты томограмм – срез 7 см. к рентгенограммам 1, 2. Очаги, местами сливного характера, преимущественно средней и малой интенсивности, малых и средних размеров. Латерально участок лобулярной инфильтрации.
Иллюстрации 9, 10, 11. Фрагменты томограмм – срез 8 см.

Очаги средних и мелких размеров, средней и малой интенсивности, отдельные очаги неоднородной структуры, с просветлением, что свидетельствует о кавернизации очагов. Участок лобулярной инфильтрации с нечеткими контурами, местами с мелкими просветлениями.
Иллюстрации 12, 13, 14. Фрагменты томограмм – срез 9 см.

Локально фиксируется тенденция очагов к слиянию. Определяются просветления в участке лобулярной инфильтрации, что свидетельствует о распаде.
ИЛЛЮСТРАЦИИ С ТОМОГРАММ В ПРОЦЕССЕ «СПЕЦИФИЧЕСКОГО ЛЕЧЕНИЯ».
Иллюстрации 15, 16 – срез 7 см. Группа очагов, преимущественно средней интенсивности, с локальными уплотнениями – вкрапления извести.
Иллюстрации 17, 18 – срез 8 см. Фиксируется процесс уплотнения очагов.
Иллюстрации 19, 20, 21, 22 – срезы 9 и 10 см.

Фиксируется процесс уплотнения очагов и уменьшения их в размеров.
Тоже случай из "ранних".