You are here

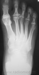
Травма. Пациент направлен на рентгенографию стопы.

Пол пациента: 
Тип патологии: 
Область исследования: 
Методы исследования: 

Травма. Пациент направлен на рентгенографию стопы.

  • https://radiomed.ru/sites/default/files/styles/case_slider_image/public/user/12/2.p8230036.jpg?itok=BKYDmz1N
  • https://radiomed.ru/sites/default/files/styles/case_slider_image/public/user/12/3.p8230034.jpg?itok=fLH3ipL7
  • https://radiomed.ru/sites/default/files/styles/case_slider_image/public/user/12/4.p8230034a.jpg?itok=iBIq7x1M
  • https://radiomed.ru/sites/default/files/styles/case_slider_image/public/user/12/5.p8230035.jpg?itok=4IZr_qof
  • https://radiomed.ru/sites/default/files/styles/case_slider_image/public/user/12/6.p8230035a.jpg?itok=6dTC271v
  • https://radiomed.ru/sites/default/files/styles/case_slider_image/public/user/12/7.p8230037.jpg?itok=ZfOHoSsO
  • https://radiomed.ru/sites/default/files/styles/case_slider_image/public/user/12/8.p8230037a.jpg?itok=zSjlPWH2
ID:5764
Глазков Игорь Артурович's picture
Offline
Last seen: 10 months 3 weeks ago
Joined: 19.12.2008 - 20:41
Posts: 1597

основания 5 плюсны. ДОА плюснефаланговых суставов2-3 ст

Прийди к Себе

Шаба's picture
Offline
Last seen: 3 years 5 months ago
Joined: 19.08.2010 - 22:01
Posts: 122

перелом основания V плюсневой кости без смещения. остеохондропатия головок II-х плюсневых костей обеих стоп с формированием деформирующего остеоартроза. в области оснований II-III плюсневых левой стопы формирование по-типу неоартроза.

stroganoff's picture
Offline
Last seen: 15 years 3 months ago
Joined: 26.05.2010 - 16:53
Posts: 57

Перелом 5 плюсневой кости. Вторая болезнь Альбана Келера, 5 степень.