You are here

ЛГМ?

Пол пациента: 
Методы исследования: 

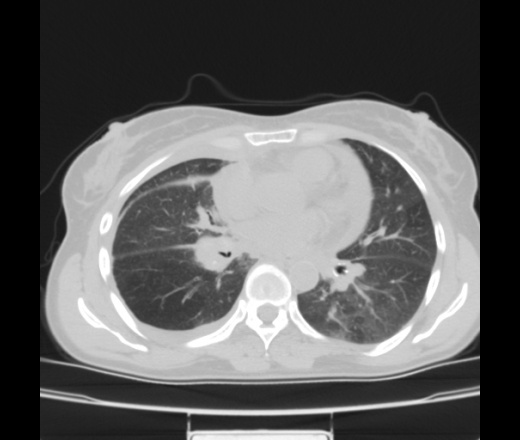
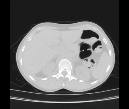
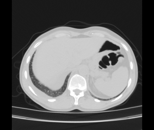
Женщина 55 лет. Жалобы на одышку, кушель с мокротой белого цвета, повышение температуры до 38, слабость, потливость, похудение. Больна в течение месяца. Лечилась в стационаре ЦРБ с пневмонией справа. Из выписки ОАК СОЭ-55, эр-лей-тромб - в норме. Мокрота на БК -. Анализ плевральной жидкости лейкоциты 12-13 , эритроциты измененые и неизмененые, клетки мезотелия. 

  • https://radiomed.ru/sites/default/files/styles/case_slider_image/public/user/19498/img-0001-00001_46.jpg?itok=zfVomHEF
  • https://radiomed.ru/sites/default/files/styles/case_slider_image/public/user/19498/img-0001-00002_39.jpg?itok=gm_DgLY1
  • https://radiomed.ru/sites/default/files/styles/case_slider_image/public/user/19498/img-0001-00003_39.jpg?itok=ntubQzN8
  • https://radiomed.ru/sites/default/files/styles/case_slider_image/public/user/19498/img-0001-00004_39.jpg?itok=w5nrVr9e
  • https://radiomed.ru/sites/default/files/styles/case_slider_image/public/user/19498/img-0001-00005_39.jpg?itok=mVl7LKKx
  • https://radiomed.ru/sites/default/files/styles/case_slider_image/public/user/19498/img-0001-00006_39.jpg?itok=4ZMoGamf
  • https://radiomed.ru/sites/default/files/styles/case_slider_image/public/user/19498/img-0001-00007_39.jpg?itok=Rm9-PJVn
  • https://radiomed.ru/sites/default/files/styles/case_slider_image/public/user/19498/img-0001-00008_39.jpg?itok=dFERdVs-
  • https://radiomed.ru/sites/default/files/styles/case_slider_image/public/user/19498/img-0001-00009_39.jpg?itok=8IEFvZKq
  • https://radiomed.ru/sites/default/files/styles/case_slider_image/public/user/19498/img-0001-00010_39.jpg?itok=jaT9_0U2
  • https://radiomed.ru/sites/default/files/styles/case_slider_image/public/user/19498/img-0001-00011_39.jpg?itok=jfSIF-16
  • https://radiomed.ru/sites/default/files/styles/case_slider_image/public/user/19498/img-0001-00012_39.jpg?itok=lv93cXBL
  • https://radiomed.ru/sites/default/files/styles/case_slider_image/public/user/19498/img-0001-00013_40.jpg?itok=CCkUOrtZ
  • https://radiomed.ru/sites/default/files/styles/case_slider_image/public/user/19498/img-0001-00014_43.jpg?itok=ZTOTVQjM
  • https://radiomed.ru/sites/default/files/styles/case_slider_image/public/user/19498/img-0001-00015_43.jpg?itok=TBoDPjVC
  • https://radiomed.ru/sites/default/files/styles/case_slider_image/public/user/19498/img-0001-00016_44.jpg?itok=wIFR3ftT
  • https://radiomed.ru/sites/default/files/styles/case_slider_image/public/user/19498/img-0001-00017_44.jpg?itok=7XH6jv-o
  • https://radiomed.ru/sites/default/files/styles/case_slider_image/public/user/19498/img-0001-00018_44.jpg?itok=DiOdYF2T
  • https://radiomed.ru/sites/default/files/styles/case_slider_image/public/user/19498/img-0001-00019_44.jpg?itok=HAXVZfuE
  • https://radiomed.ru/sites/default/files/styles/case_slider_image/public/user/19498/img-0001-00020_44.jpg?itok=wyMP7BIX
  • https://radiomed.ru/sites/default/files/styles/case_slider_image/public/user/19498/img-0001-00021_44.jpg?itok=ykUIJQoA
  • https://radiomed.ru/sites/default/files/styles/case_slider_image/public/user/19498/img-0001-00022_45.jpg?itok=WrUYfYy9
  • https://radiomed.ru/sites/default/files/styles/case_slider_image/public/user/19498/img-0001-00023_45.jpg?itok=wih5PtH-
  • https://radiomed.ru/sites/default/files/styles/case_slider_image/public/user/19498/img-0001-00024_45.jpg?itok=cV6YHBAM
  • https://radiomed.ru/sites/default/files/styles/case_slider_image/public/user/19498/img-0001-00025_45.jpg?itok=jAsBv_y_
  • https://radiomed.ru/sites/default/files/styles/case_slider_image/public/user/19498/img-0001-00026_45.jpg?itok=WQ2KCTFu
  • https://radiomed.ru/sites/default/files/styles/case_slider_image/public/user/19498/img-0001-00027_46.jpg?itok=_pOz_psv
  • https://radiomed.ru/sites/default/files/styles/case_slider_image/public/user/19498/img-0001-00028_46.jpg?itok=8WCqKlGP
  • https://radiomed.ru/sites/default/files/styles/case_slider_image/public/user/19498/img-0001-00029_46.jpg?itok=UiugQ4Gq
  • https://radiomed.ru/sites/default/files/styles/case_slider_image/public/user/19498/img-0001-00030_46.jpg?itok=iV6yZSYK
  • https://radiomed.ru/sites/default/files/styles/case_slider_image/public/user/19498/img-0001-00031_46.jpg?itok=nYK3tnpJ
  • https://radiomed.ru/sites/default/files/styles/case_slider_image/public/user/19498/img-0001-00032_46.jpg?itok=3JeiX4Io
  • https://radiomed.ru/sites/default/files/styles/case_slider_image/public/user/19498/img-0001-00033_46.jpg?itok=uPQRVej3
  • https://radiomed.ru/sites/default/files/styles/case_slider_image/public/user/19498/img-0001-00034_46.jpg?itok=Hsd0RhMM
  • https://radiomed.ru/sites/default/files/styles/case_slider_image/public/user/19498/img-0001-00035_46.jpg?itok=vbV8ipsY
  • https://radiomed.ru/sites/default/files/styles/case_slider_image/public/user/19498/img-0001-00036_46.jpg?itok=nMrbRJMG
  • https://radiomed.ru/sites/default/files/styles/case_slider_image/public/user/19498/img-0001-00037_46.jpg?itok=hGqyoGfW
  • https://radiomed.ru/sites/default/files/styles/case_slider_image/public/user/19498/img-0001-00038_46.jpg?itok=4cXehFlE
  • https://radiomed.ru/sites/default/files/styles/case_slider_image/public/user/19498/img-0001-00039_46.jpg?itok=SxNJttzQ
  • https://radiomed.ru/sites/default/files/styles/case_slider_image/public/user/19498/img-0001-00040_47.jpg?itok=cRrjcjgO
  • https://radiomed.ru/sites/default/files/styles/case_slider_image/public/user/19498/img-0001-00041_46.jpg?itok=2_aumKS3
  • https://radiomed.ru/sites/default/files/styles/case_slider_image/public/user/19498/img-0001-00042_47.jpg?itok=4bwSnIKq
  • https://radiomed.ru/sites/default/files/styles/case_slider_image/public/user/19498/img-0001-00043_47.jpg?itok=yT-yz4IX
  • https://radiomed.ru/sites/default/files/styles/case_slider_image/public/user/19498/img-0001-00044_46.jpg?itok=xZEIV-ma
  • https://radiomed.ru/sites/default/files/styles/case_slider_image/public/user/19498/img-0001-00045_47.jpg?itok=jEWKzQsI
  • https://radiomed.ru/sites/default/files/styles/case_slider_image/public/user/19498/img-0001-00046_47.jpg?itok=omHCSu9u
  • https://radiomed.ru/sites/default/files/styles/case_slider_image/public/user/19498/img-0001-00047_47.jpg?itok=TFqaW-Fn
  • https://radiomed.ru/sites/default/files/styles/case_slider_image/public/user/19498/img-0001-00048_46.jpg?itok=TydZ5QST
  • https://radiomed.ru/sites/default/files/styles/case_slider_image/public/user/19498/img-0001-00049_47.jpg?itok=bLF8TBhP
  • https://radiomed.ru/sites/default/files/styles/case_slider_image/public/user/19498/img-0001-00050_47.jpg?itok=GBShQPkk
  • https://radiomed.ru/sites/default/files/styles/case_slider_image/public/user/19498/img-0001-00051_46.jpg?itok=cc2cFjQS
  • https://radiomed.ru/sites/default/files/styles/case_slider_image/public/user/19498/img-0001-00052_47.jpg?itok=OYf7AQdi
  • https://radiomed.ru/sites/default/files/styles/case_slider_image/public/user/19498/img-0001-00053_47.jpg?itok=o5MTzx2T
  • https://radiomed.ru/sites/default/files/styles/case_slider_image/public/user/19498/img-0001-00054_45.jpg?itok=vd2-9fTs
  • https://radiomed.ru/sites/default/files/styles/case_slider_image/public/user/19498/img-0001-00055_47.jpg?itok=AXDFX2tm
  • https://radiomed.ru/sites/default/files/styles/case_slider_image/public/user/19498/img-0001-00056_47.jpg?itok=6MW-7Nt2
  • https://radiomed.ru/sites/default/files/styles/case_slider_image/public/user/19498/img-0001-00057_47.jpg?itok=nBydAbOV
  • https://radiomed.ru/sites/default/files/styles/case_slider_image/public/user/19498/img-0001-00058_47.jpg?itok=2kK7U1DJ
  • https://radiomed.ru/sites/default/files/styles/case_slider_image/public/user/19498/img-0001-00059_44.jpg?itok=AdmPUvCT
  • https://radiomed.ru/sites/default/files/styles/case_slider_image/public/user/19498/img-0001-00060_45.jpg?itok=A0y4XDeu
  • https://radiomed.ru/sites/default/files/styles/case_slider_image/public/user/19498/img-0001-00061_45.jpg?itok=j6ABTja8
  • https://radiomed.ru/sites/default/files/styles/case_slider_image/public/user/19498/img-0001-00062_44.jpg?itok=DT76pYVp
  • https://radiomed.ru/sites/default/files/styles/case_slider_image/public/user/19498/img-0001-00063_45.jpg?itok=Jro0PVfq
  • https://radiomed.ru/sites/default/files/styles/case_slider_image/public/user/19498/img-0001-00064_44.jpg?itok=uYSHYTOc
  • https://radiomed.ru/sites/default/files/styles/case_slider_image/public/user/19498/img-0001-00065_43.jpg?itok=kjEMjXCO
  • https://radiomed.ru/sites/default/files/styles/case_slider_image/public/user/19498/img-0001-00066_44.jpg?itok=YNR9mj6b
  • https://radiomed.ru/sites/default/files/styles/case_slider_image/public/user/19498/img-0001-00067_43.jpg?itok=W-IZE2S3
  • https://radiomed.ru/sites/default/files/styles/case_slider_image/public/user/19498/img-0001-00068_42.jpg?itok=-kojikIP
  • https://radiomed.ru/sites/default/files/styles/case_slider_image/public/user/19498/img-0001-00069_43.jpg?itok=S83B4zGo
  • https://radiomed.ru/sites/default/files/styles/case_slider_image/public/user/19498/img-0001-00070_43.jpg?itok=rUbp6y5T
  • https://radiomed.ru/sites/default/files/styles/case_slider_image/public/user/19498/img-0001-00071_42.jpg?itok=XQM1tbV_
  • https://radiomed.ru/sites/default/files/styles/case_slider_image/public/user/19498/img-0001-00072_43.jpg?itok=JNkwOE6h
  • https://radiomed.ru/sites/default/files/styles/case_slider_image/public/user/19498/img-0001-00073_43.jpg?itok=whqc9sRM
  • https://radiomed.ru/sites/default/files/styles/case_slider_image/public/user/19498/img-0001-00074_42.jpg?itok=JkwjQi_p
  • https://radiomed.ru/sites/default/files/styles/case_slider_image/public/user/19498/img-0001-00075_42.jpg?itok=eGQ-oGL3
  • https://radiomed.ru/sites/default/files/styles/case_slider_image/public/user/19498/img-0001-00076_43.jpg?itok=Kh0qsIvt
  • https://radiomed.ru/sites/default/files/styles/case_slider_image/public/user/19498/img-0001-00077_43.jpg?itok=Sqyj0Zzq
  • https://radiomed.ru/sites/default/files/styles/case_slider_image/public/user/19498/img-0001-00078_42.jpg?itok=rCmIyLSn
  • https://radiomed.ru/sites/default/files/styles/case_slider_image/public/user/19498/img-0001-00079_43.jpg?itok=LYMmWj8d
  • https://radiomed.ru/sites/default/files/styles/case_slider_image/public/user/19498/img-0001-00080_43.jpg?itok=9KUe8c5G
  • https://radiomed.ru/sites/default/files/styles/case_slider_image/public/user/19498/img-0001-00081_37.jpg?itok=V6AqZfXW
  • https://radiomed.ru/sites/default/files/styles/case_slider_image/public/user/19498/img-0001-00082_38.jpg?itok=6wQvey9D
  • https://radiomed.ru/sites/default/files/styles/case_slider_image/public/user/19498/img-0001-00083_37.jpg?itok=IIXM_T19
  • https://radiomed.ru/sites/default/files/styles/case_slider_image/public/user/19498/img-0001-00084_37.jpg?itok=MHJKbXHw
  • https://radiomed.ru/sites/default/files/styles/case_slider_image/public/user/19498/img-0001-00085_35.jpg?itok=YXGm_ZBB
  • https://radiomed.ru/sites/default/files/styles/case_slider_image/public/user/19498/img-0001-00086_36.jpg?itok=lWP4e6Ek
  • https://radiomed.ru/sites/default/files/styles/case_slider_image/public/user/19498/img-0001-00087_35.jpg?itok=l1o0x269
  • https://radiomed.ru/sites/default/files/styles/case_slider_image/public/user/19498/img-0001-00088_35.jpg?itok=ZSEkWWHI
  • https://radiomed.ru/sites/default/files/styles/case_slider_image/public/user/19498/img-0001-00089_33.jpg?itok=-Fuz_Mxo
  • https://radiomed.ru/sites/default/files/styles/case_slider_image/public/user/19498/img-0001-00090_34.jpg?itok=UU527y57
  • https://radiomed.ru/sites/default/files/styles/case_slider_image/public/user/19498/img-0001-00091_33.jpg?itok=cKo_O--s
  • https://radiomed.ru/sites/default/files/styles/case_slider_image/public/user/19498/img-0001-00092_32.jpg?itok=h2huGmIT
  • https://radiomed.ru/sites/default/files/styles/case_slider_image/public/user/19498/img-0001-00093_33.jpg?itok=gqh5Deqj
  • https://radiomed.ru/sites/default/files/styles/case_slider_image/public/user/19498/img-0001-00094_32.jpg?itok=dKR2-o6B
  • https://radiomed.ru/sites/default/files/styles/case_slider_image/public/user/19498/img-0001-00095_32.jpg?itok=TXBLVXCC
  • https://radiomed.ru/sites/default/files/styles/case_slider_image/public/user/19498/img-0001-00096_30.jpg?itok=mrljo0Xz
  • https://radiomed.ru/sites/default/files/styles/case_slider_image/public/user/19498/img-0001-00097_30.jpg?itok=6eRAHPd8
  • https://radiomed.ru/sites/default/files/styles/case_slider_image/public/user/19498/img-0001-00098_29.jpg?itok=DQOTRBfL
  • https://radiomed.ru/sites/default/files/styles/case_slider_image/public/user/19498/img-0001-00099_28.jpg?itok=eItvUcm5
  • https://radiomed.ru/sites/default/files/styles/case_slider_image/public/user/19498/img-0001-00100_27.jpg?itok=dQvAYUO_
ID:71284
Цель публикации: 
ROI_888's picture
Offline
Last seen: 7 years 2 weeks ago
Joined: 17.04.2017 - 17:15
Posts: 1140

За tbc c поражением внутригрудных л/узлов, правосторонним плевритом. Экс.перикардит. Признаки сердечной недостаточности.

Как второй вариант сочетание ЛГМ  и tbc, но тогда вопрос об имунном статусе.

Лейман Иван's picture
Offline
Last seen: 4 months 1 day ago
Joined: 09.01.2014 - 07:54
Posts: 1190

ROI_888 wrote:

За tbc c поражением внутригрудных л/узлов, правосторонним плевритом. Экс.перикардит. Признаки сердечной недостаточности.

Как второй вариант сочетание ЛГМ  и tbc, но тогда вопрос об имунном статусе.

Спасибо, хорошая идея насчет иммунного статуса.