You are here

Правосторонний осумкованный паракостально-наддиафрагмальный плеврит.

Пол пациента: 
Методы исследования: 


Случай из практики «Правосторонний осумкованный паракостально-наддиафрагмальный плеврит».

 

Пациент 62 лет.

Жалобы на незначительные боли в правой половине грудной клетки, иногда повышение температуры до 37,0 – 37,5 градусов.

Направлен терапевтом на диагностическую флюорографию терапевтом.

Флюорографическое исследование проведено на цифровом флюорографе «Ренекс – Флюоро».


 

1.
1.
2.
2.

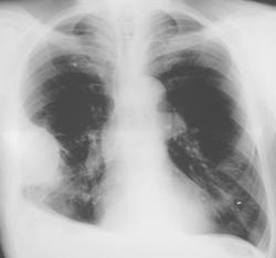
На цифровой флюорограмме, произведенной в прямой стандартной проекции справа паракостально определяется полуовальная тень, широким основанием интимно примыкающая к грудной клетки – иллюстрации 2, 3. Тень значительной интенсивности, однородной структуры с довольно ровным и четким контуром. Определяются линейные тяжевидные структуры отходящие от контура тени в окружающую легочную ткань – шварты.

 


 

3.
3.

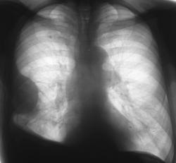
Данная фокусная тень с грудной стенкой образует «тупые углы». Справа над диафрагмой определяется снижение прозрачности легочной ткани значительной интенсивности, однородной структуры с косой верхней границей. Иллюстрация 1 – флюорограмма пациента, проведенная за 6 месяцев до этого обращения с профилактической целью. Скиалогическая картина фиксирует возрастные изменения.

Рентгенологическое исследование проведено на рентгенодиагностическом аппарате на 3 рабочих места «Вироматик» методами рентгенотелевидения и рентгенографии. При рентгенотелевидении скиалогическая картина по сравнению с картиной, полученной при флюорографическом исследовании не меняется. При исследовании на латероскопе и трохоскопе растекания жидкости не зафиксировано. Изменения формы «паракостальной» фокусной тени и затемнения над правым куполом диафрагмы не зафиксировано, что косвенным образом свидетельствует о наличии мощных шварт.

 


 

4.
4.
5.
5.

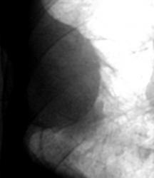
На иллюстрациях 4 и 5 – рентгенограмма и фрагмент с увеличением визуализируется типичная теневая картина паракостально-наддиафрагмального осумкованного плеврита. 

AttachmentSize
Image icon 1.66.4 KB
Image icon 2.69.84 KB
Image icon 3.58.52 KB
Image icon 4.63.69 KB
Image icon 5.63.48 KB