You are here

КТ живота. женщина 40 лет.

Пол пациента: 
Область исследования: 
Методы исследования: 

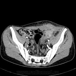
КТ живота. Женщина 40 лет, напрвавлена на КТ таза с подозрением на остеому левой подвздошной кости. В течении месяца заметила припухлость в левой подвздошной области, затем небольшая болезненность. Проведена Р-графия костей таза, снимков не видел, но по заключению рентгенолога единственно, что у него вызвало сомненте  - это подозрение на сакроилеит, рекомендовал Р-графию крестцовоподвздошных в косых проекциях. Выполнено УЗИ брюшной полости и гинекологическое УЗИ- без особых замечаний.  Дайком можно закачать с https://public.me.com/dr.mario1 живот аноним.

 

Попробую добавить видео:

 

 

ID:6093
Сергей Нагорный's picture
Offline
Last seen: 9 years 10 months ago
Joined: 13.07.2010 - 22:49
Posts: 1370

Мда... Не повезло.  Видимо, проекция этого образования вызвала у рентгенолога подозрение на сакроилеит. Что это такое? Миосаркома какая-нибудь? Есть инвазия кишки?

С уважением, С.Н. Нагорный

Катенёв Валентин Львович's picture
Offline
Last seen: 7 years 2 months ago
Joined: 22.03.2008 - 22:15
Posts: 54876

Но "это" спереди?

Катенёв Валентин Львович's picture
Offline
Last seen: 7 years 2 months ago
Joined: 22.03.2008 - 22:15
Posts: 54876

Не отважусь высказаться по КТ - не знаю, да и не умею.

Но, был случей, правда весьма давно, когда рентгенологически, с диагностической целью, мы вынуждены были "наложить  пневмоперитонеум" и общими усилиями "выдали" саркому передней брюшной стенки. На операции оказался абсолютно доброкачественный процесс - "хроническое воспаление" передней брюшной стенки, но с каким-то мудреным названием (по автору).

Сергей Нагорный's picture
Offline
Last seen: 9 years 10 months ago
Joined: 13.07.2010 - 22:49
Posts: 1370

Бог его знает, что это... Может, автор подскажет? но уж очень выраженное накопление контраста, держится прилично и видно зоны некроза, отек клетчатки, жидкость в тазу...

С уважением, С.Н. Нагорный

Андрей Попов's picture
Offline
Last seen: 14 years 6 months ago
Joined: 24.11.2009 - 15:32
Posts: 67

Складывается впечатление о раке сигмовидной кишки с инвазией в брюшную стенку. Редко, конечно, но такое бывает.

Небольшой вопрос коллеге, проводившему исследование: Сколько миллиампер вы давали? Шум очень большой, изображения брюшной полости должны быть качественнее.

Сергей Нагорный's picture
Offline
Last seen: 9 years 10 months ago
Joined: 13.07.2010 - 22:49
Posts: 1370

Андрей Попов wrote:

Складывается впечатление о раке сигмовидной кишки с инвазией в брюшную стенку. Редко, конечно, но такое бывает.

Небольшой вопрос коллеге, проводившему исследование: Сколько миллиампер вы давали? Шум очень большой, изображения брюшной полости должны быть качественнее.

а мне показалось, что просто тонко порезано (1.2мм)

С уважением, С.Н. Нагорный

Андрей Попов's picture
Offline
Last seen: 14 years 6 months ago
Joined: 24.11.2009 - 15:32
Posts: 67

Сергей Николаевич wrote:

Андрей Попов wrote:

Складывается впечатление о раке сигмовидной кишки с инвазией в брюшную стенку. Редко, конечно, но такое бывает.

Небольшой вопрос коллеге, проводившему исследование: Сколько миллиампер вы давали? Шум очень большой, изображения брюшной полости должны быть качественнее.

а мне показалось, что просто тонко порезано (1.2мм)

Да не, порезано, кажется, нормально - по 2,5-3 мм.

v1tal's picture
Offline
Last seen: 4 years 11 months ago
Joined: 07.06.2008 - 19:41
Posts: 1779

Качество проведенного исследования отличное, предположу тоже о наличие "cr сигмы" с инфильтрацией прямой мышцы живота и канцероматозом малого таза+лимфоаденопатия.

"Знаешь, у некоторых врачей есть комплекс мессии — им необходимо спасать мир. А у тебя комплекс Рубика — тебе необходимо решать головоломки."

Сергей Нагорный's picture
Offline
Last seen: 9 years 10 months ago
Joined: 13.07.2010 - 22:49
Posts: 1370

на канцер сигмы не думаю по причине отсутствия клиники, нетипичном выраженном прорастании мышц брюшной стенки... А так, конечно, что куда прорасло сложно сказать. Исследование проведено грамотно и качественно, спору нет. Большого шума не вижу. Не нравится шум - можно увеличить толщину среза и усреднить..., но и так все отлично видно

С уважением, С.Н. Нагорный

v1tal's picture
Offline
Last seen: 4 years 11 months ago
Joined: 07.06.2008 - 19:41
Posts: 1779

Но ведь согласитесь Сергей Николаевич, стенка сигмы инфильтрирована, к сожеленью я не могу просмотреть dicom-файл, на дежурстве нахожусь.

"Знаешь, у некоторых врачей есть комплекс мессии — им необходимо спасать мир. А у тебя комплекс Рубика — тебе необходимо решать головоломки."

Катенёв Валентин Львович's picture
Offline
Last seen: 7 years 2 months ago
Joined: 22.03.2008 - 22:15
Posts: 54876

Автор случая молчит...

Интрига затягивается...

Сергей Нагорный's picture
Offline
Last seen: 9 years 10 months ago
Joined: 13.07.2010 - 22:49
Posts: 1370

я тоже не смотрел. Согласен про стенку, она находится в опухолевой массе и канцер сигмы здесь может быть на все сто... Но настораживает отсутствие клиники обтурации просвета, что является классикой. А тут жалобы на припухлость... Ну и такое прорастание серьезное...

С уважением, С.Н. Нагорный

v1tal's picture
Offline
Last seen: 4 years 11 months ago
Joined: 07.06.2008 - 19:41
Posts: 1779

А при эндоскопических операциях троакары проекционно ни там устанавливают?

"Знаешь, у некоторых врачей есть комплекс мессии — им необходимо спасать мир. А у тебя комплекс Рубика — тебе необходимо решать головоломки."

Сергей Нагорный's picture
Offline
Last seen: 9 years 10 months ago
Joined: 13.07.2010 - 22:49
Posts: 1370

дык по-разному ставят, в зависимости от операции... Автор рассказал коротко анамнез, вряд ли что-то умолчал.

С уважением, С.Н. Нагорный

Катенёв Валентин Львович's picture
Offline
Last seen: 7 years 2 months ago
Joined: 22.03.2008 - 22:15
Posts: 54876

Кстати, в упомянутом мною случае, пациентке тоже было, где-то около 40 лет.

v1tal's picture
Offline
Last seen: 4 years 11 months ago
Joined: 07.06.2008 - 19:41
Posts: 1779

Я к тому, что это может быть малигнизация эндометриоза, визуально образование отлично накапливает конрастное вещество, а может эндометриойдная карцинома яичника-фантазия вслухСмешно. А в матке спираль?

"Знаешь, у некоторых врачей есть комплекс мессии — им необходимо спасать мир. А у тебя комплекс Рубика — тебе необходимо решать головоломки."

Андрей Попов's picture
Offline
Last seen: 14 years 6 months ago
Joined: 24.11.2009 - 15:32
Posts: 67

Извините, что еще раз затрагиваю тему качества изображений, но все же.

Шум большой, посмотрите, например, на структуру печени: маленькие очаговые образования рискуют быть пропущенными. Скорее всего это происходит вот почему. Дело в том, что на всех стандартных спиральных протоколах по умолчанию стоит автоматический выбор величины силы тока: то есть, сначала по топограмме аппарат "оценивает", сколько нужно дать мА на тот или иной срез, а потом уже сканирует "так, как нужно": для толстых пациентов побольше, для худых поменьше, для срезов печени побольше, для легких поменьше, и т.д. Проблема, однако, заключается в том, что аппарат почему-то решает, что худые пациенты "обойдутся" величиной где-то в 150-160 мА; а этого оказывается недостаточно для получения нормального качества изображения. Мы в нашем учреждении решаем эту проблему так, что, исследуя худых пациентов, просто предлагаем аппарату не "умничать", а просто ставим вручную фиксированную величину силы тока на все исследование. Практика показывает, что удовлетворительного качества картинку можно получить, устанавливая 250-270 мА.

Попробуйте, вам понравится))

Катенёв Валентин Львович's picture
Offline
Last seen: 7 years 2 months ago
Joined: 22.03.2008 - 22:15
Posts: 54876

Все-таки выскажусь за хронический воспалительный процесс передней брюшной стенки.

 

Приложения: 
111.video-thumb-for--1.jpg
Сергей Нагорный's picture
Offline
Last seen: 9 years 10 months ago
Joined: 13.07.2010 - 22:49
Posts: 1370

Нужно подумать за счет чего происходит интенсивное накопление контрастного вещества? вариантов немного... либо это реактивный неовазогенез, который долже выглядеть по моим прелставлениям не так, либо патологическая сосудистая сеть новообразования. Намекните, если еще есть варианты. Для эндометриоза место вполне логичное... Насчет шумов - убежден, что тут всего лишь тонкие срезы, обратите внимание как видны мелкие сосуды. Если утолщить и усреднить, намека на шумы не будет. Про милиамперы попробую ради интереса...

С уважением, С.Н. Нагорный

v1tal's picture
Offline
Last seen: 4 years 11 months ago
Joined: 07.06.2008 - 19:41
Posts: 1779

А что с клиникой? В малом тазу жидкость с ограничением, какие то отдельные кисты, плотность только смущает до 24HU, а ещё имеется солидный компонент накапливающий контраст, стенки кальнированые, в данном случае все наводит на мысль о злокачественном новообразовании, хоть и дела давние, только что первично. Ждем автора.

 

Приложения: 
ca.jpgcfa.jpg

"Знаешь, у некоторых врачей есть комплекс мессии — им необходимо спасать мир. А у тебя комплекс Рубика — тебе необходимо решать головоломки."

Сергей Нагорный's picture
Offline
Last seen: 9 years 10 months ago
Joined: 13.07.2010 - 22:49
Posts: 1370

Согласен, тут что-то есть, но не понятно тогда почему на УЗИ пишут, что без особенностей... Как раз область яичника. Это может оказаться образованием яичника (Ex: эндометриоидной кистой, карциномой - много неправильных кист), они могут и по брюшине так же распространяться с вовлечением кишок. При эндометриоидной кисте долна быть хотя какая-то связь с циклом, но автор об этом не пишет, это один из важных диагностических признаков. Еще бы натив посмотреть на плотность..., оценить, есть ли геморрагичеакий компонент, но смущает брюшная стенка... Кстати, нельзя забывать, что примерно в четверти процентах случаев зла яичников - мтс и чаще всего жкт...

С уважением, С.Н. Нагорный

Сергей Нагорный's picture
Offline
Last seen: 9 years 10 months ago
Joined: 13.07.2010 - 22:49
Posts: 1370

Автор, придите скажите правду, а то так бесконочно гадать буду Рву и мечу! Хотелось бы узнать и вынести хороший наглядный урок.

С уважением, С.Н. Нагорный

dok-a's picture
Offline
Last seen: 11 months 2 weeks ago
Joined: 14.02.2009 - 19:31
Posts: 623

  Пациентка амбулаторная, а потому верификации пока ждать не приходится, если смогу проследить - сообщу гистологию. Моё мнение, что имеется опухолевое поражение передней брюшной стенки исходящее из прямой мышцы живота с распространением в брюшную полость, инфильтрацией большого сальника и передней стенки сигмовидной кишки на ограниченном участке. Сигма прослежена на всём протяжении, просвет визуализирован. Сама пациентка на активные распросы по поводу проблем с кишечником говорит, что всё ОК. Плотность образования в нативном исследовании 42 ед.Х., в артериальную 80, в портальную ещё подкопило до 89 ед.Х. Подкожножировая клетчатка в месте прилежания опухоли тоже инфильтрирована. В Дугласе жидкость есть и кистозное образование левого яичника, тоже был удивлён заключением гинекологического УЗИ. По поводу шумов, режем по 2 мм, реконструирую по 3 мм, всё гладенько.