Пол пациента:
Тип патологии:
Область исследования:
Методы исследования:
- https://radiomed.ru/sites/default/files/styles/case_slider_image/public/user/12/2..p9010010ab_0.jpg?itok=_Dk7H13H
- https://radiomed.ru/sites/default/files/styles/case_slider_image/public/user/12/3..p9010011_0.jpg?itok=DtbeMUCv
- https://radiomed.ru/sites/default/files/styles/case_slider_image/public/user/12/4..p9010011ab_0.jpg?itok=snZl_qgo
- https://radiomed.ru/sites/default/files/styles/case_slider_image/public/user/12/5..p9010012.jpg?itok=n2uwi8iU
- https://radiomed.ru/sites/default/files/styles/case_slider_image/public/user/12/6..p9010012ab.jpg?itok=EICfwH7i
ID:6251
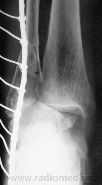
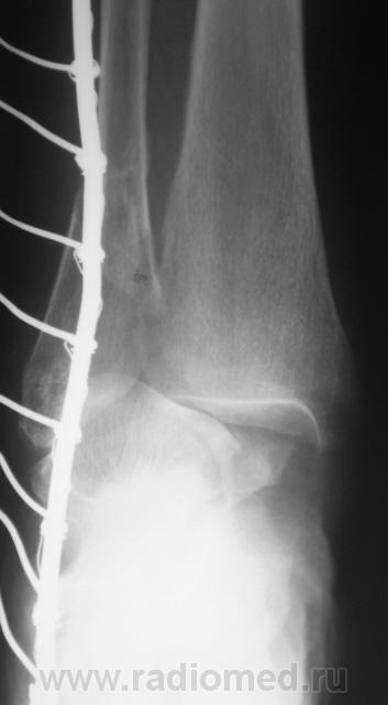
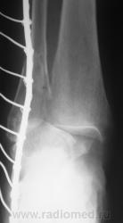
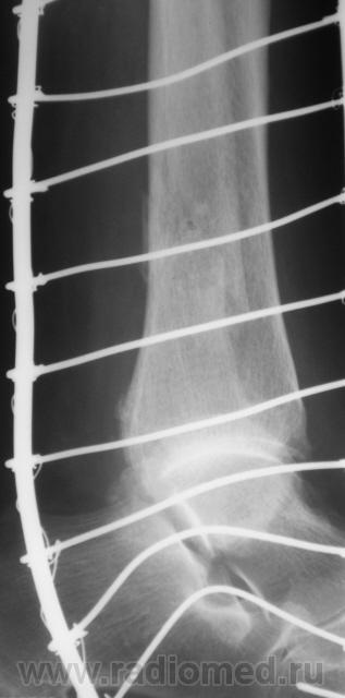
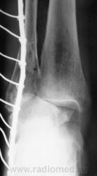
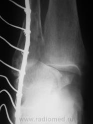
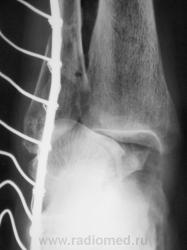
Перелом наружной и задней лодыжек. Подвывих в голеностопном суставе кнутри. Подвывих в тараннопяточном суставе. Разрыв дистального межберцового сочленения.
подвывих кнаружи
А, вообще то, в данном случае...вывих чего? отностиельно чего?- костей голени по отношению к таранной кости-тогда вывих кнутри...
Вы шутите?....Как может вывихиваться то, что расположено проксимальнее сустава (для конечностей, естественно)?.....что то изменилось в трактовке?
Болезни ног: виды, симптомы, причины, профилактика и лечение
Переломы латеральной и медиальной лодыжек, пронационный подвывих в голеностопном суставе, латеральный подвывих в таранно-пяточном, разрыв межберцового синдесмоза.
Удивлюсь, если нет перелома таранной...
--------------
"Просто, по видимости, не видеть логики в очевидных вещах - это тоже одно из свойств некоторых умов, наряду с грустными думами о свойствах ума других." © Vega 08/10/2011
Almo правильно задал вопрос, это касается терминологии. Про вывих стопы говорят, когда имеется вывих в г/ст суставе, а подтаранный N. Если имеется вывих в голенностопе и в подтаранном в противоположные стороны, т.е. смещается только таранная кость, говорят о вывихе таранной кости. Данный случай относится именно к последнему.
Великое преймущество врача заключается в том, что он не обязан следовать собственным советам. ( А. Кристи)
+1
Коллеги, что-то я уж совсем запутался...Кто- нибуь может внятно дать ответ, какой же вывих в данном случае?
Almo, не переживайте так...в травматологии есть понятие комбинированых вывихов; конечно, в первую очередь, это вывихи сразу в двух плоскостях, но, в том числе, это и несколько вывихов (как правило при сложных повреждениях стопы и кисти), очевидно как в данном случае, хотя, как по мне, нижний и не весьма показателен.
"МЕЖДУНАРОДНАЯ КЛАССИФИКАЦИЯ БОЛЕЗНЕЙ МКБ-10"
Болезни ног: виды, симптомы, причины, профилактика и лечение