Пол пациента:
Тип патологии:
Область исследования:
Методы исследования:
- https://radiomed.ru/sites/default/files/styles/case_slider_image/public/user/12/2..p9030072_640x480.jpg?itok=grlkYzwH
- https://radiomed.ru/sites/default/files/styles/case_slider_image/public/user/12/3..p9030001_640x480.jpg?itok=Ypy97_jP
- https://radiomed.ru/sites/default/files/styles/case_slider_image/public/user/12/4..p9030002_640x480.jpg?itok=2YXwL6Lz
- https://radiomed.ru/sites/default/files/styles/case_slider_image/public/user/12/5..p9030003_640x480_0.jpg?itok=f7CBsM7C
- https://radiomed.ru/sites/default/files/styles/case_slider_image/public/user/12/6..p9030003a_640x480_0.jpg?itok=EweyvyTa
- https://radiomed.ru/sites/default/files/styles/case_slider_image/public/user/12/7..p9030004_640x480_0.jpg?itok=GnA9D4OD
- https://radiomed.ru/sites/default/files/styles/case_slider_image/public/user/12/8..p9030004a_640x480_0.jpg?itok=ngbcvThp
ID:6306
Т.е. представленные снимки - разных людей?..
--------------
"Просто, по видимости, не видеть логики в очевидных вещах - это тоже одно из свойств некоторых умов, наряду с грустными думами о свойствах ума других." © Vega 08/10/2011
Да, дети разные.
Это у меня нижняя группа снимков не загрузилась - решил верхние - двух человек...
--------------
"Просто, по видимости, не видеть логики в очевидных вещах - это тоже одно из свойств некоторых умов, наряду с грустными думами о свойствах ума других." © Vega 08/10/2011
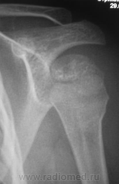
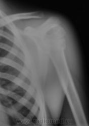
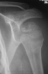
Но у первого пострадавшего помимо перелома и вывиха в плечевом ещё и надрыв/разрыв ключично-акромиального сочленения.
--------------
"Просто, по видимости, не видеть логики в очевидных вещах - это тоже одно из свойств некоторых умов, наряду с грустными думами о свойствах ума других." © Vega 08/10/2011
На мой взгляд, вывих спорный.
Великое преймущество врача заключается в том, что он не обязан следовать собственным советам. ( А. Кристи)
В обоих случаях перелом хирургической шейки плечевой кости. А почему только в одной проекции? Мы всегда снимаем в двух - в прямой и аксиальной.
https://www.instagram.com/pediatricradiology/