You are here

Просьба посмотреть снимки. Молодая женщина.

Пол пациента: 
Тип патологии: 
Область исследования: 
Методы исследования: 

Просьба посмотреть снимки.  Молодая женщина.

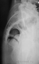
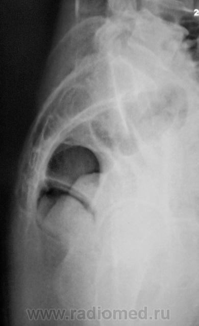
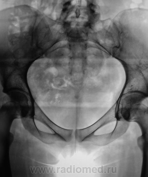
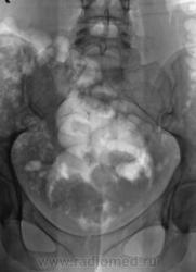
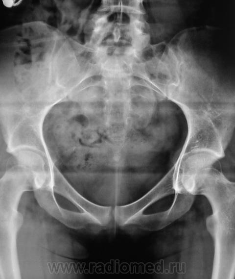
Из анамнеза известно, что примерно 2 месяца тому "летела" со сноутборга около 200 метров. Сейчас беспокоят боли в области спины, крестца и лонного сочленения. УЗИ было сделано всего, что только можно, везде - "норма". Хирурги, вроде-бы тоже ничего не находят. Но боли, видать значительные, походка вынужденная. На рентгенографию была направлена, как жест отчаяния, мол может быть, что-то найдут.

Огромная просьба, уважаемые коллеги, посмотрите, выскажите мнение.

Так как "содержимое кишечника" не способствовало анализу изображений, пациентке было предложено, посетить кабинет повторно.

Рентгенограмма в прямой проекции.


 

  • https://radiomed.ru/sites/default/files/styles/case_slider_image/public/user/12/2.p9030034_640x480.jpg?itok=xurHE03Y
  • https://radiomed.ru/sites/default/files/styles/case_slider_image/public/user/12/3.p9030034a_640x480.jpg?itok=EXna7Sw8
  • https://radiomed.ru/sites/default/files/styles/case_slider_image/public/user/12/4.p9030036_640x480.jpg?itok=7k5jO0j3
  • https://radiomed.ru/sites/default/files/styles/case_slider_image/public/user/12/5.p9030036ab_640x480.jpg?itok=xI-qbJv3
  • https://radiomed.ru/sites/default/files/styles/case_slider_image/public/user/12/6.p9030037_640x480.jpg?itok=WAUOi2O3
  • https://radiomed.ru/sites/default/files/styles/case_slider_image/public/user/12/7.p9030037a_640x480.jpg?itok=yu0bQI4M
  • https://radiomed.ru/sites/default/files/styles/case_slider_image/public/user/12/8.p9030038_640x480.jpg?itok=C7ZCiquI
  • https://radiomed.ru/sites/default/files/styles/case_slider_image/public/user/12/9.p9030038a_640x480.jpg?itok=DOELBJNP
  • https://radiomed.ru/sites/default/files/styles/case_slider_image/public/user/12/10.p9030038at_640x480.jpg?itok=RXcQeGct
  • https://radiomed.ru/sites/default/files/styles/case_slider_image/public/user/12/11.p9030039_640x480.jpg?itok=lA3ZywDs
  • https://radiomed.ru/sites/default/files/styles/case_slider_image/public/user/12/12.p9030039a_640x480.jpg?itok=svZNxyhx
  • https://radiomed.ru/sites/default/files/styles/case_slider_image/public/user/12/13.p9030040_640x480.jpg?itok=WmW1RMG8
  • https://radiomed.ru/sites/default/files/styles/case_slider_image/public/user/12/14.p9030040a_640x480.jpg?itok=amcaytBV
  • https://radiomed.ru/sites/default/files/styles/case_slider_image/public/user/12/1.p9030043_640x480.jpg?itok=LBJ8b5_X
  • https://radiomed.ru/sites/default/files/styles/case_slider_image/public/user/12/2.p9030044_640x480.jpg?itok=gi3oo35Z
  • https://radiomed.ru/sites/default/files/styles/case_slider_image/public/user/12/3.p9030043-1_640x480.jpg?itok=o2wjzMvP
  • https://radiomed.ru/sites/default/files/styles/case_slider_image/public/user/12/4.p9030044-1_640x480.jpg?itok=aVGVm-El
  • https://radiomed.ru/sites/default/files/styles/case_slider_image/public/user/12/5.p9030045_640x480.jpg?itok=VelMq0n-
  • https://radiomed.ru/sites/default/files/styles/case_slider_image/public/user/12/6.p9030045a_640x480.jpg?itok=gbeOZE5S
  • https://radiomed.ru/sites/default/files/styles/case_slider_image/public/user/12/7.p9030045e_640x480.jpg?itok=JytsRltn
  • https://radiomed.ru/sites/default/files/styles/case_slider_image/public/user/12/8.p9030045ea_640x480.jpg?itok=fL0iJIyw
  • https://radiomed.ru/sites/default/files/styles/case_slider_image/public/user/12/9.p9030046_640x480.jpg?itok=c232Fi_9
  • https://radiomed.ru/sites/default/files/styles/case_slider_image/public/user/12/10.p9030046a_640x480.jpg?itok=Db2tNUh_
  • https://radiomed.ru/sites/default/files/styles/case_slider_image/public/user/12/11.p9030046ab_640x480.jpg?itok=my2JjZXJ
ID:6358
stovbav's picture
Offline
Last seen: 2 years 5 months ago
Joined: 20.12.2009 - 17:28
Posts: 7066

1. Не исключаю поперечный перелом S5.

2. Лонное сочленение очевидно,подверглось значительному растяжению (имеется локальный вакуум-феномен слева), умеренно выраженые явления симфизита (опять же - постравматического).

Катенёв Валентин Львович's picture
Offline
Last seen: 7 years 3 months ago
Joined: 22.03.2008 - 22:15
Posts: 54876

Спасибо Виктор Григорьевич.

Принял к сведению.

Не убегайте. Еще снимки есть.

Катенёв Валентин Львович's picture
Offline
Last seen: 7 years 3 months ago
Joined: 22.03.2008 - 22:15
Posts: 54876

Томограмма.

 

Приложения: 
1.p9030047_640x480.jpg2.p9030047aa_640x480.jpg3.p9030048_640x480.jpg4.p9030048-1a_640x480.jpg5.p9030051_640x480.jpg6.p9030051ab_640x480.jpg7.p9030052_640x480.jpg8.p9030052a_640x480.jpg
Катенёв Валентин Львович's picture
Offline
Last seen: 7 years 3 months ago
Joined: 22.03.2008 - 22:15
Posts: 54876

Следующий срез.

 

Приложения: 
1.p9030053_640x480.jpg2.p9030053a_640x480.jpg3.p9030054_640x480.jpg4.p9030054a_640x480.jpg5.p9030054-2_640x480.jpg6.p9030054-2a_640x480.jpg7.p9030055_640x480.jpg8.p9030055a_640x480.jpg9.p9030056_640x480.jpg10.p9030056a_640x480.jpg
Катенёв Валентин Львович's picture
Offline
Last seen: 7 years 3 months ago
Joined: 22.03.2008 - 22:15
Posts: 54876

Боковая.

 

Приложения: 
1.p9030058_640x480.jpg2.p9030058a_640x480.jpg3.p9030059_640x480.jpg4.p9030059a_640x480.jpg5.p9030058-1_640x480.jpg6.p9030058-1a_640x480.jpg
Андрей Юрьевич's picture
Offline
Last seen: 1 month 3 weeks ago
Joined: 16.11.2008 - 22:16
Posts: 18101

Посттравматический симфизит - это такой медицинский диагноз есть? Тогда уж лучше - симфизопатияУлыбаюсь.  По поперечному перелому Л5 - тангенциальный эффект, сложение теней. По хорошему, надо бы доснять поясничный отдел позвоночника, в том числе в косых проекциях - на дугоотростчатые суставы, и грудо-поясничный переход.

П.С. Очень нравится такой афоризм: "Травма - прежде всего повреждение мягких тканей, при котором, случается, ломаются и кости" (с)

Андрей Юрьевич

stovbav's picture
Offline
Last seen: 2 years 5 months ago
Joined: 20.12.2009 - 17:28
Posts: 7066

Андрей Юрьевич wrote:

Посттравматический симфизит - это такой медицинский диагноз есть? Тогда уж лучше - симфизопатияУлыбаюсь.  По поперечному перелому Л5 - тангенциальный эффект, сложение теней. По хорошему, надо бы доснять поясничный отдел позвоночника, в том числе в косых проекциях - на дугоотростчатые суставы, ....

1. спорить по поводу симфизита (симфизопатии) не буду - хрен редьки не слаще.

2. по поводу тангенциального еффекта - согласен полностью, уверенности и не было.

3. По поводу дугоотростчатых суставов - согласен, тем более, не очень нравится их стостояние в L5.

Makcimalist's picture
Offline
Last seen: 11 years 12 months ago
Joined: 08.05.2010 - 14:28
Posts: 1994

СТРАННО, что "УЗИ было сделано всего, что только можно" - но КТ/МРТ и не думали (может пока ещё).

- подтвердить симфизит - УЗИ (к специалисту Суперрр);

- единственное что ещё увидел - п/травматический остеохондроз/остеоартроз Cs 2-Cs 3 (а, может, и до травмы так было?.. -

   травматологи рассудят п/е адекватного обследования Подмигиваю)!

--------------

"Просто, по видимости, не видеть логики в очевидных вещах - это тоже одно из свойств некоторых умов, наряду с грустными думами о свойствах ума других."  © Vega 08/10/2011

lupan's picture
Offline
Last seen: 7 years 1 month ago
Joined: 07.01.2010 - 17:17
Posts: 1406

1. По первым снимкам не отпускало впечатление о повреждении левого крестцово-подвздошного сочленения. После подготовки вроде-бы все нормально, но все равно что-то гложет.

2. А на боковой массе крестца справа разве не линия консолидирующегося перелома?

Великое преймущество врача заключается в том, что он не обязан следовать собственным советам. ( А. Кристи)

Катенёв Валентин Львович's picture
Offline
Last seen: 7 years 3 months ago
Joined: 22.03.2008 - 22:15
Posts: 54876

Возможно перелом остистого, все-же был?


Приложения: 
101.2.p9030047aa_640x480.jpg102.4.p9030048-1a_640x480.jpg
Катенёв Валентин Львович's picture
Offline
Last seen: 7 years 3 months ago
Joined: 22.03.2008 - 22:15
Posts: 54876

Возможно, перелом последнего копчикового тоже был?

 

Приложения: 
303.p9030043-1_640x480.jpg304.p9030044-1_640x480.jpg
Андрей Юрьевич's picture
Offline
Last seen: 1 month 3 weeks ago
Joined: 16.11.2008 - 22:16
Posts: 18101

Верятность перелома остистого отростка Л4 очень велика. Это находит подтвеждение и на боковом снимке.

Андрей Юрьевич

Vikkur's picture
Offline
Last seen: 4 years 11 months ago
Joined: 24.09.2009 - 14:34
Posts: 1749

Поздно заметил ветку.. увидел симфизит, перелом остистого L4, мазоль Co 5, и  конечно spina bifida S1 ))) глянуть бы межпозвоночные..

Виктор.

Катенёв Валентин Львович's picture
Offline
Last seen: 7 years 3 months ago
Joined: 22.03.2008 - 22:15
Posts: 54876

lupan wrote:

1. По первым снимкам не отпускало впечатление о повреждении левого крестцово-подвздошного сочленения. После подготовки вроде-бы все нормально, но все равно что-то гложет.

2. А на боковой массе крестца справа разве не линия консолидирующегося перелома?

Здравствуйте!

Меня тоже это-же самое гложет.