You are here

Тбк,Рак?

Пол пациента: 
Методы исследования: 

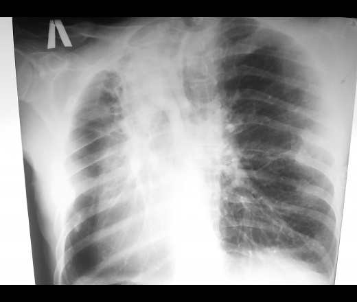
Мужчина 1962 г.р. жалобы слабость,потеря веса килограммов 12 за 2 месяца,температура  37.5 давно. Пьет водку и курит самосад с рождения. На вопрос болел ли тбк говорит не болел. Врет конечно,не знаю зачем. Выяснять не стал в птд отправил. Фиброателектаз это называется коллеги?

Огк

  • Рг огк
Рг огк ID:80060
Цель публикации: 
Сергей Кузьминов's picture
Offline
Last seen: 1 year 1 month ago
Joined: 06.10.2012 - 15:51
Posts: 11813

Цирроз, наверное.

Оськин С.В.'s picture
Offline
Last seen: 2 years 3 days ago
Joined: 07.04.2016 - 17:05
Posts: 1703

Туберкулез это. Фкт, если полость есть. Цирротический, если без распада.

Nikolas's picture
Offline
Last seen: 1 day 9 hours ago
Joined: 21.12.2010 - 20:37
Posts: 4560

Больной приезжий? Почему нет на него никаких данных?

Almo's picture
Offline
Last seen: 4 days 8 hours ago
Joined: 28.09.2008 - 18:50
Posts: 8281

Оськин С.В. wrote:

Туберкулез это. Фкт, если полость есть. Цирротический, если без распада.

+1. Да, картина похожа на цирротический туберкулёз, но для уверенности неплохо было бы сделать Rg-грамму в левой боковой проекции.

Nikolas's picture
Offline
Last seen: 1 day 9 hours ago
Joined: 21.12.2010 - 20:37
Posts: 4560

Жаль, что нет бокового.  Цирроз. Но, как писал великий патолог Карл Рокитанский, фиброз является ложем рака. Быстрая потеря массы тела на 12 кг - повод думать о развитии рака на фоне фиброза. Показана бронхоскопия. Жду конечных результатов исследований.

Сергей Кузьминов's picture
Offline
Last seen: 1 year 1 month ago
Joined: 06.10.2012 - 15:51
Posts: 11813

Nikolas wrote:

Больной приезжий? Почему нет на него никаких данных?

Предположу по рентгенограмме: приезжий из неотдаленных мест. Прямо чувствуется.

В.И.'s picture
Offline
Last seen: 2 months 3 weeks ago
Joined: 22.09.2015 - 17:55
Posts: 2321

Сергей Кузьминов wrote:

Цирроз, наверное.

+

m19varis's picture
Offline
Last seen: 4 years 10 months ago
Joined: 16.11.2015 - 20:27
Posts: 116

Цирротический tbc. 

Рёбра ломал справа.

сергеев николай's picture
Offline
Last seen: 1 day 21 hours ago
Joined: 22.06.2016 - 18:45
Posts: 4598

Сергей Кузьминов wrote:

Nikolas wrote:

Больной приезжий? Почему нет на него никаких данных?

Предположу по рентгенограмме: приезжий из неотдаленных мест. Прямо чувствуется.

Местный он,Красноярский,бродяга по жизни,прахом бытия подошв не оскверняет-на вредных производствах не трудился( думаю и трудовой у него нет:):))  Когда раздевался какие то наколки "старые" на теле-думаю бывал в местах!. Кожные покровы бледные-сразу как то в глаза бросается это.  

Будьте осторожны со своими мыслями они начало поступков.

сергеев николай's picture
Offline
Last seen: 1 day 21 hours ago
Joined: 22.06.2016 - 18:45
Posts: 4598

Almo wrote:

Оськин С.В. wrote:

Туберкулез это. Фкт, если полость есть. Цирротический, если без распада.

+1. Да, картина похожа на цирротический туберкулёз, но для уверенности неплохо было бы сделать Rg-грамму в левой боковой проекции.

Да боковой безусловно нужен,но на счёт уверенности от его наличия думаю..это ляжет на плечи ПТД:)

Будьте осторожны со своими мыслями они начало поступков.

сергеев николай's picture
Offline
Last seen: 1 day 21 hours ago
Joined: 22.06.2016 - 18:45
Posts: 4598

Всем большое спасибо за комментарии колеги! Не обещаю,но возможно ещё что то выяснется,сообщу. Я на счёт диагноза имею ввиду...

Будьте осторожны со своими мыслями они начало поступков.

Nikolas's picture
Offline
Last seen: 1 day 9 hours ago
Joined: 21.12.2010 - 20:37
Posts: 4560

Туберкулёз считается социально опасным заболеванием и давно вышел за рамки неблагополучных слоев населения. Хотя прямого отношения эта микобактерия к раку не имеет, но есть данные, что среди пациентов с туберкулёзом риск рака легкого увеличивается в 11 раз.
 

сергеев николай's picture
Offline
Last seen: 1 day 21 hours ago
Joined: 22.06.2016 - 18:45
Posts: 4598

Nikolas wrote:

Туберкулёз считается социально опасным заболеванием и давно вышел за рамки неблагополучных слоев населения. Хотя прямого отношения эта микобактерия к раку не имеет, но есть данные, что среди пациентов с туберкулёзом риск рака легкого увеличивается в 11 раз.

Полностью согласен с Вами коллега!!!

Будьте осторожны со своими мыслями они начало поступков.

Игорь Ким's picture
Offline
Last seen: 1 year 4 months ago
Joined: 17.10.2014 - 17:30
Posts: 4672

Считал и считаю, не микобактерия имеет отношение к раку, а пневмофиброз любой этиологии, как специфической, так и не спецефической этиологии: пневмококковой, стрептококковой,Клебсиеллезной и т.д.Отсюда и риск рака намного выше на фоне любого пневмофиброза( не сторонник по данному случаю). Рубец на коже, легком, желудке, печени, ... .

сергеев николай's picture
Offline
Last seen: 1 day 21 hours ago
Joined: 22.06.2016 - 18:45
Posts: 4598

Игорь Ким wrote:

Считал и считаю, не микобактерия имеет отношение к раку, а пневмофиброз любой этиологии, как специфической, так и не спецефической этиологии: пневмококковой, стрептококковой,Клебсиеллезной и т.д.Отсюда и риск рака намного выше на фоне любого пневмофиброза( не сторонник по данному случаю). Рубец на коже, легком, желудке, печени, ... .

 Да это и имел ввиду,так как фиброз-ткань измененная. По сути это травмированный участок. В данном случае фиброз на фиброзе и фиброзом погоняет,цирротический туберкулёз сразу не возникает,думаю затихший когда то процесс в этом "пожомканном" легком может и возобновился,но активность процесса за результатами обследований:мокрота,ЛТГ,КТ

Будьте осторожны со своими мыслями они начало поступков.

Almo's picture
Offline
Last seen: 4 days 8 hours ago
Joined: 28.09.2008 - 18:50
Posts: 8281

Игорь Ким wrote:

Считал и считаю, не микобактерия имеет отношение к раку, а пневмофиброз любой этиологии, как специфической, так и не спецефической этиологии: пневмококковой, стрептококковой,Клебсиеллезной и т.д.Отсюда и риск рака намного выше на фоне любого пневмофиброза( не сторонник по данному случаю). Рубец на коже, легком, желудке, печени, ... .

+1.Есть данные, что на фоне пневмофиброза рак лёгкого развивается в 286 раз чаще, чем на фоне интактной лёгочной ткани.