You are here

Случайная находка – маленький периферический рак левого лёгкого.

Пол пациента: 
Методы исследования: 

Катенёв В.Л.

 

Случай из практики «Случайная находка – маленький периферический рак левого лёгкого».

 

(Рентгенологическое отделение МУЗ «Красногвардейская центральная районная больница» Белгородской области).

 

 

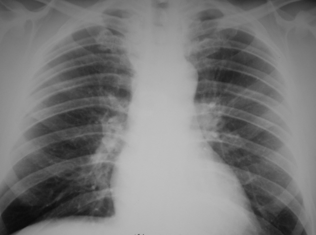
Пациент 52 лет направлен на рентгенологическое исследование органов грудной полости с подозрением на пневмонию. Жалобы неопределенные – субфебрильная температура, подкашливание, недомогание. На обзорной рентгенограмме определяется некоторое усиление и обогащение легочного рисунка в базальных отделах с обеих сторон, В остальном со стороны органов грудной полости без особенностей.

 

Пациент лечился у терапевта, по поводу бронхита. После проведенного лечения чувствует себя хорошо, однако, лечащий врач, позвонив в рентгеновский кабинет, проинформировал, что у больного «некоторая анемия», и повышение СОЭ до 35 мм., хотя «вроде-бы, все нормально и хорошо».

 

Проведено рентгенологическое исследование.

1.JPG
1.JPG
2.JPG
2.JPG

 

 

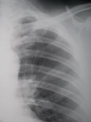
Иллюстрации 1, 2. Рентгенограмма в прямой стандартной проекции и фрагмент её с увеличением. Чисто субъективно, с учетом информации полученной от лечащего врача «придрались» к левому корню, «заметили» тяжистость кверху, хотя такая – же определяется и справа.

3.JPG
3.JPG

 

 

Линейная томография в прямой проекции через 1 см.

4.JPG
4.JPG
5.JPG
5.JPG

 

 

Иллюстрации 3, 4, 5. «Вырисовывается» очаговоподобная тень слева на уровне 1 ребра.

6.JPG
6.JPG
7.JPG
7.JPG

 

 

Иллюстрации 6, 7. Очаговая тень средней интенсивности, средних размеров, довольно однородной структуры, с нечеткими контурами, от которой чётко к корню лёгкого дифференцируется тень сосуда. Намечаются коротенькие тяжики по контуру.

8.JPG
8.JPG
9.JPG
9.JPG

 

 

Иллюстрации 8, 9. Срез через 1 см. Четко дифференцируются тяжики в окружающую легочную ткань и в сторону костальной плевры.

 

Высказано предположении о наличии «маленького» периферического рака верхней доли левого лёгкого.

AttachmentSize
Image icon 1.JPG69.26 KB
Image icon 2.JPG67.81 KB
Image icon 3.JPG55.26 KB
Image icon 4.JPG52.64 KB
Image icon 5.JPG54.87 KB
Image icon 6.JPG53.73 KB
Image icon 7.JPG55.4 KB
Image icon 8.JPG54.74 KB
Image icon 9.JPG53.36 KB