You are here

Выявленный при профилактической флюорографии ателектаз верхней доли правого лёгкого, как следствие эндобронхиального объёмного процесса.

Пол пациента: 
Методы исследования: 

Катенёв В.Л.

Случай из практики «Выявленный при профилактической флюорографии ателектаз верхней доли правого лёгкого, как следствие эндобронхиального объёмного процесса».

 

(Рентгенологическое отделение МУЗ «Красногвардейская центральная районная больница» Белгородской области).

Пациент направлен для прохождения профилактической флюорографии регистратурой поликлиники с учетом того, что он в течение последних 3 лет данного исследования не проходил, жалоб не предъявляет.

1.
1.

 

 

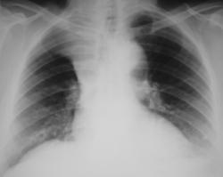
Иллюстрация 1. Цифровая флюорограмма, произведенная в прямой стандартной проекции. Справа определяется снижение прозрачности легочной ткани в области верхней части легочного поля с косой вогнутой границей, контур, которой довольно ровный и чёткий. Определяется некоторое расширение тени верхнего средостения вправо и некоторое увеличение интенсивности тени на уровне головки правого корня паратрахеально, возможно, за счет гиперплазированных лимфатических узлов. Пациент «взят на контроль», дообследован.

2.
2.
3.
3.

 

 

Иллюстрации 2, 3. Рентгенограмма в прямой стандартной проекции и фрагмент её с увеличением изображения. Теневые данные такие же, как и на флюорограмме, отмечается некоторое смещение трахеи вправо.

4.
4.
5.
5.

 

 

Иллюстрации 4 и 5. Рентгенограмма, и её фрагмент с увеличением в правой боковой проекции.

6.
6.
7.
7.

 

 

Иллюстрации 6, 7, 8. Томографический срез и его фрагменты. Снижение прозрачности легочной ткани справа на верхушке за счет ателектазированной верхней доли, некоторое расширение верхнего средостения вправо. Трахея смещена вправо, по всей видимости, гиперплазированными лимфатическими узлами. Справа в корне дифференцируются увеличенные лимфатические узлы. Определяется резкая деформация просвета правого главного бронха и некоторое смещение его медиально. На фоне просвета бронха по латеральному контуру определяются два объёмных образования на довольно широком основании. Контур верхнего образования довольно ровный, четкий. Контур более дистально расположенного образования нечеткий, на этом уровне дифференцируется уплотнение, некоторая локальная деформация бронха, что по всей видимости является свидетельством инфильтративного роста или присоединением «парапроцесса». Несколько ниже просвета измененного бронха визуализируются гиперплазированные лимфатические узлы.

8.
8.
9.
9.

 

 

Иллюстрация 9. Следующий срез. Четко дифференцируется разрастание, «верхнего образования», с распространение его в просвет трахеи. Контуры данного образования нечеткие, неровные.

 

Иллюстрацией данного наблюдения из практики, мы также хотели показать, что рано списывать «классическую рентгенологию» в архив, ибо её возможности, по всей видимости, до конца не ведомы никому.

AttachmentSize
Image icon 1.63.96 KB
Image icon 2.57.92 KB
Image icon 3.57.03 KB
Image icon 4.60.4 KB
Image icon 5.86.02 KB
Image icon 6.60.1 KB
Image icon 7.53.86 KB
Image icon 8.43.71 KB
Image icon 9.55.29 KB