You are here

Динамика...

Пол пациента: 
Тип патологии: 
Методы исследования: 

Динамика...

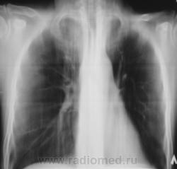
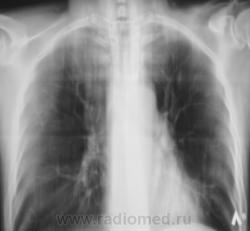
Контроль после флюорографии.

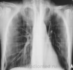
После курса лечения.

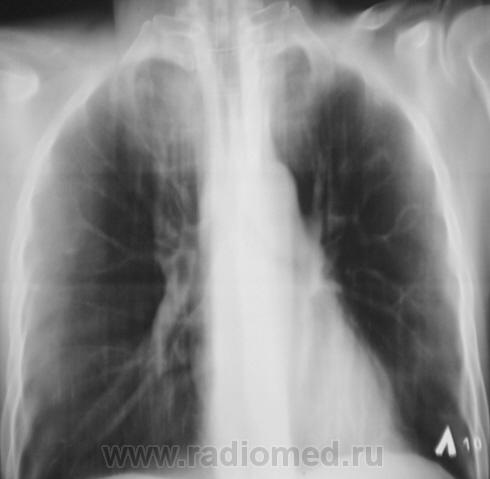
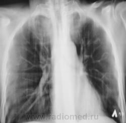
Следущий "контроль".

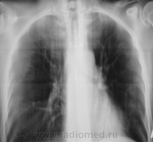
Следущий контроль (сегодня).

 

  • https://radiomed.ru/sites/default/files/styles/case_slider_image/public/user/12/12.p9290028.jpg?itok=T0toEinF
  • https://radiomed.ru/sites/default/files/styles/case_slider_image/public/user/12/13.p9290029.jpg?itok=oHrVFuyJ
  • https://radiomed.ru/sites/default/files/styles/case_slider_image/public/user/12/14.p9290029a_0.jpg?itok=oiOz2XFy
  • https://radiomed.ru/sites/default/files/styles/case_slider_image/public/user/12/15.p9290030_0.jpg?itok=S8J2jwQB
  • https://radiomed.ru/sites/default/files/styles/case_slider_image/public/user/12/16.p9290030a_0.jpg?itok=MFZM1Lio
  • https://radiomed.ru/sites/default/files/styles/case_slider_image/public/user/12/11.p9290031.jpg?itok=SbI8sHs7
  • https://radiomed.ru/sites/default/files/styles/case_slider_image/public/user/12/12.p9290032.jpg?itok=ejZRbVBd
  • https://radiomed.ru/sites/default/files/styles/case_slider_image/public/user/12/13.p9290033.jpg?itok=gnt2jbBB
  • https://radiomed.ru/sites/default/files/styles/case_slider_image/public/user/12/11.p9290034.jpg?itok=Qed7H5Ws
  • https://radiomed.ru/sites/default/files/styles/case_slider_image/public/user/12/12.p9290035.jpg?itok=eYIlBk3A
  • https://radiomed.ru/sites/default/files/styles/case_slider_image/public/user/12/13.p9290035a.jpg?itok=HZdz_nYp
  • https://radiomed.ru/sites/default/files/styles/case_slider_image/public/user/12/14.p9290036.jpg?itok=EDYx02ko
  • https://radiomed.ru/sites/default/files/styles/case_slider_image/public/user/12/15.p9290037.jpg?itok=COJa3bVN
  • https://radiomed.ru/sites/default/files/styles/case_slider_image/public/user/12/11.p9290038.jpg?itok=tN0Ab5Zo
  • https://radiomed.ru/sites/default/files/styles/case_slider_image/public/user/12/12.p9290039.jpg?itok=8R73rrrM
  • https://radiomed.ru/sites/default/files/styles/case_slider_image/public/user/12/13.p9290040.jpg?itok=a7UMQRBf
  • https://radiomed.ru/sites/default/files/styles/case_slider_image/public/user/12/14.p9290041.jpg?itok=ZcpgzSK-
  • https://radiomed.ru/sites/default/files/styles/case_slider_image/public/user/12/15.p9290042.jpg?itok=BYdMZS3T
  • https://radiomed.ru/sites/default/files/styles/case_slider_image/public/user/12/16.p9290042a.jpg?itok=SjlRym5d
ID:7579
Medeа's picture
Offline
Last seen: 15 years 1 month ago
Joined: 10.09.2010 - 18:11
Posts: 152

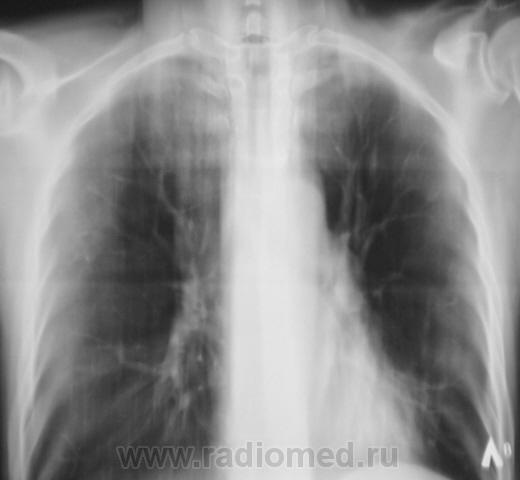
После лечения динамика очень хорошая.

А сейчас, если не ошибаюсь, есть свежие очаги слева?

Катенёв Валентин Львович's picture
Offline
Last seen: 7 years 3 months ago
Joined: 22.03.2008 - 22:15
Posts: 54876

Medeа wrote:

После лечения динамика очень хорошая.

А сейчас, если не ошибаюсь, есть свежие очаги слева?

Я тоже отметил "свежие" очаги, но они появились на "фоне" курса лечения.

Vikkur's picture
Offline
Last seen: 4 years 11 months ago
Joined: 24.09.2009 - 14:34
Posts: 1749

А на томограмме это очаги?

Приложения: 
13.p9290040.jpg

Виктор.

Катенёв Валентин Львович's picture
Offline
Last seen: 7 years 3 months ago
Joined: 22.03.2008 - 22:15
Posts: 54876

Мы трактовали это как крупноочаговые тени.

Грицько Виталий's picture
Offline
Last seen: 9 years 2 months ago
Joined: 05.01.2010 - 14:06
Posts: 1058

Осенне-весеннее обострение...

DR.RAD's picture
Offline
Last seen: 11 years 11 months ago
Joined: 25.03.2009 - 18:22
Posts: 805

подождите, а курса лечения то чем?антибиотиками или специфического у фтизиатров?

Катенёв Валентин Львович's picture
Offline
Last seen: 7 years 3 months ago
Joined: 22.03.2008 - 22:15
Posts: 54876

У фтизиатров лечение, у них, родимых.