You are here

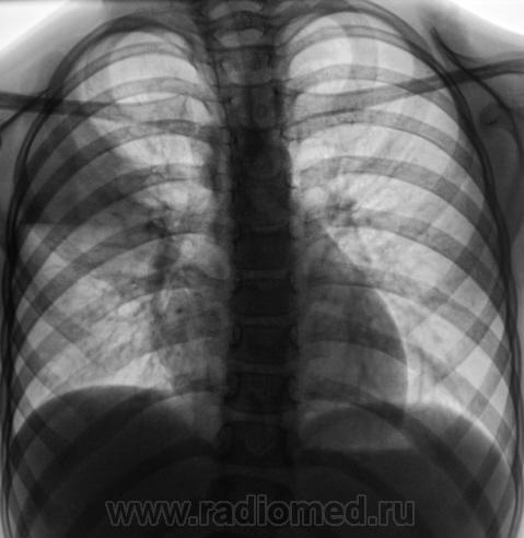
Ребёнок направлен на рентгенографию ОГК с диагнозом "Правосторонняя пневмония". ДИНАМИКА...

Пол пациента: 
Тип патологии: 
Методы исследования: 

Ребёнок направлен на рентгенографию ОГК с диагнозом "Правосторонняя пневмония".

  • https://radiomed.ru/sites/default/files/styles/case_slider_image/public/user/12/2.pa040010_0.jpg?itok=3Uu4NMi7
  • https://radiomed.ru/sites/default/files/styles/case_slider_image/public/user/12/3.pa040012.jpg?itok=P4dxB_SC
  • https://radiomed.ru/sites/default/files/styles/case_slider_image/public/user/12/4.pa040011.jpg?itok=Cqopg1sF
  • https://radiomed.ru/sites/default/files/styles/case_slider_image/public/user/12/5.pa040014.jpg?itok=-3B5SzfU
  • https://radiomed.ru/sites/default/files/styles/case_slider_image/public/user/12/6.pa040013.jpg?itok=gBmKvEx4
ID:7673
Makcimalist's picture
Offline
Last seen: 12 years 2 weeks ago
Joined: 08.05.2010 - 14:28
Posts: 1994

Согласен : в S2, S3 в/доли справа - инфильтрация в паренхиме; возможно, осумкование жидкости в м/долевой щели... 

--------------

"Просто, по видимости, не видеть логики в очевидных вещах - это тоже одно из свойств некоторых умов, наряду с грустными думами о свойствах ума других."  © Vega 08/10/2011

stovbav's picture
Offline
Last seen: 2 years 6 months ago
Joined: 20.12.2009 - 17:28
Posts: 7066

Как по мне, так и добавить больше нечего, инфильтрация распространяется на С3 и частично на  С2. Классическая пневмония. Лечим дней 10-14 и делаем контроль в двух пр.

Vikkur's picture
Offline
Last seen: 4 years 11 months ago
Joined: 24.09.2009 - 14:34
Posts: 1749

Makcimalist wrote:

в S2, S3 в/доли справа - инфильтрация в паренхиме; возможно, осумкование жидкости в м/долевой щели... 

или просто реакция плевры?

Виктор.

Катенёв Валентин Львович's picture
Offline
Last seen: 7 years 4 months ago
Joined: 22.03.2008 - 22:15
Posts: 54876

stovbav wrote:

Как по мне, так и добавить больше нечего, инфильтрация распространяется на С3 и частично на  С2. Классическая пневмония. Лечим дней 10-14 и делаем контроль в двух пр.

Спасибо коллеги за высказанные мнения.

Катенёв Валентин Львович's picture
Offline
Last seen: 7 years 4 months ago
Joined: 22.03.2008 - 22:15
Posts: 54876

Динамика через 20 дней после проведения интенсивнейшей терапии в детской соматике.

 

Приложения: 
11.pa040015.jpg12.pa040016.jpg13.pa040018.jpg14.pa040017.jpg15.pa040019.jpg16.pa040020.jpg
stovbav's picture
Offline
Last seen: 2 years 6 months ago
Joined: 20.12.2009 - 17:28
Posts: 7066

Неплохо, но судя по всему, локальный фиброз останется, необходим отдаленный контроль.

Катенёв Валентин Львович's picture
Offline
Last seen: 7 years 4 months ago
Joined: 22.03.2008 - 22:15
Posts: 54876

stovbav wrote:

Неплохо, но судя по всему, локальный фиброз останется, необходим отдаленный контроль.

Такой фиброз после пневмонии?

stovbav's picture
Offline
Last seen: 2 years 6 months ago
Joined: 20.12.2009 - 17:28
Posts: 7066

Катенёв Валентин Львович wrote:

stovbav wrote:

Неплохо, но судя по всему, локальный фиброз останется, необходим отдаленный контроль.

Такой фиброз после пневмонии?

А почему нет? бывает...

Катенёв Валентин Львович's picture
Offline
Last seen: 7 years 4 months ago
Joined: 22.03.2008 - 22:15
Posts: 54876

И, еще через месяц томограммы.

 

Приложения: 
1.pa040021.jpg2.pa040022.jpg3.pa040023.jpg4.pa040023a.jpg6.pa040025.jpg7.pa040025a.jpg
stovbav's picture
Offline
Last seen: 2 years 6 months ago
Joined: 20.12.2009 - 17:28
Posts: 7066

Вы хотите сказать, Валентин Львович, что на фоне пневмонии скрывался Его Величество?

Катенёв Валентин Львович's picture
Offline
Last seen: 7 years 4 months ago
Joined: 22.03.2008 - 22:15
Posts: 54876

Случай был довольно трудный для диагностики, но такая вероятность была "допущена".

stovbav's picture
Offline
Last seen: 2 years 6 months ago
Joined: 20.12.2009 - 17:28
Posts: 7066

Чем же все дело закончилось? Был ли подтвержден туберкулез?

Катенёв Валентин Львович's picture
Offline
Last seen: 7 years 4 months ago
Joined: 22.03.2008 - 22:15
Posts: 54876

Много было споров и за и против, тем более, что найти палки при такой форме вообще проблемно, их легче, эти палки, найти при раке (статистика указывает 25% +). Но решено было "подключить туберкулостатические препараты. Динамику выложу. Сейчас, что-то Интернет хромает с выкладкой картинок. Прораваться удалось только на Опере.

stovbav's picture
Offline
Last seen: 2 years 6 months ago
Joined: 20.12.2009 - 17:28
Posts: 7066

Будем ждать....

Катенёв Валентин Львович's picture
Offline
Last seen: 7 years 4 months ago
Joined: 22.03.2008 - 22:15
Posts: 54876

Ребенок консультирован в области (ПТД), взят на учет, пролечен полным курсом. После проведенного лечения направлен на плановый контроль.

 

Приложения: 
21.pa040026.jpg22.pa040027.jpg23.pa040028.jpg24.pa040028a.jpg25.pa040030.jpg26.pa040030a.jpg27.pa040032.jpg28.pa040032a.jpg29.pa040034.jpg30.pa040034a.jpg31.pa040035.jpg32.pa040035a.jpg
stovbav's picture
Offline
Last seen: 2 years 6 months ago
Joined: 20.12.2009 - 17:28
Posts: 7066

Значит можно сделать вывод, что пневмония как бы "присела" на уже имеющийся туберкулез, динамика неплохая, а оставшийся фиброз теперь вполне объяснимПодмигиваю. Что же, не случись так, то неизвестно к чему бы все привело и когда бы этот утберкулез "вылез" и в каком виде.

Катенёв Валентин Львович's picture
Offline
Last seen: 7 years 4 months ago
Joined: 22.03.2008 - 22:15
Posts: 54876

Фтизиатры в инфильтративном туберкулёзе различиют виды в виде лобита, полисегментита, перисциссурита.

stovbav's picture
Offline
Last seen: 2 years 6 months ago
Joined: 20.12.2009 - 17:28
Posts: 7066

Катенёв Валентин Львович wrote:

Фтизиатры в инфильтративном туберкулёзе различиют виды в виде лобита, полисегментита, перисциссурита.

Да, мне это известно, но лечение - если вкратце, с какого этапа была подключена специфическая терапия? Или она была с самого начала?

Катенёв Валентин Львович's picture
Offline
Last seen: 7 years 4 months ago
Joined: 22.03.2008 - 22:15
Posts: 54876

Нет, где-то в течение месяца, терапия была "неспецифической", а уже затем, подключичлся фтизиатр. Этот случай я "выковырял", так как ребенок 3 дня тому был направлен на плановый контроль, по всей видимости для перевода в другую группу или для снятия с учета точно не знаю.

Катенёв Валентин Львович's picture
Offline
Last seen: 7 years 4 months ago
Joined: 22.03.2008 - 22:15
Posts: 54876

Вот последние снимки.

 

Приложения: 
21.pa040039.jpg22.pa040038.jpg23.pa040038a.jpg
Катенёв Валентин Львович's picture
Offline
Last seen: 7 years 4 months ago
Joined: 22.03.2008 - 22:15
Posts: 54876

А, вот "фрагмент" среза.

 

Приложения: 
31.pa040041.jpg32.pa040042a.jpg
stovbav's picture
Offline
Last seen: 2 years 6 months ago
Joined: 20.12.2009 - 17:28
Posts: 7066

Вывод - все таки на неспецифическую массивную терапию была значительная положительная рентгенологическая динамика, что никак не исключает сочетание двух патологий, т.е. туберкулеза и перифокального неспецифического воспаления.

Катенёв Валентин Львович's picture
Offline
Last seen: 7 years 4 months ago
Joined: 22.03.2008 - 22:15
Posts: 54876

Полностью согласен с Вами уважаемый Виктор Григорьевич. "Парапроцесс" около "специфического очага", а также "опухолевого узла" почти постоянная и обязательная "композиция".

Катенёв Валентин Львович's picture
Offline
Last seen: 7 years 4 months ago
Joined: 22.03.2008 - 22:15
Posts: 54876

Вот, почти аналогичный случай инфильтративного туберкулёза в виде "лобита".

 

Приложения: 
101.lobit_.jpg102.uchastok_linieinogho_fibroza..jpg
Катенёв Валентин Львович's picture
Offline
Last seen: 7 years 4 months ago
Joined: 22.03.2008 - 22:15
Posts: 54876

Решил "оживить" веточку...

Сергей Кузьминов's picture
Offline
Last seen: 1 year 4 months ago
Joined: 06.10.2012 - 15:51
Posts: 11813

Да, Валентин Львович, я тут. По мне-не очень убедительный туберкулёз. Но мы не знаем , какие подробности были у фтизиатров.

Катенёв Валентин Львович's picture
Offline
Last seen: 7 years 4 months ago
Joined: 22.03.2008 - 22:15
Posts: 54876

Интересно мнение Галины Анатольевны.

Миргалина's picture
Offline
Last seen: 2 months 3 weeks ago
Joined: 06.08.2015 - 20:04
Posts: 2882

Ну если интерес есть, почему же и не поговорить?wink Итак, по первому случаю у меня такие мысли: изменения по типу перисциссурита, -это факт. Но! Обратите внимание, коллеги, на совершеннейшее спокойствие корня! У детей при такой массивной инфильтрации лимфоузлы должны реагировать хоть небольшим, но увеличением. Конечно, я не знаю клиники, контактов ребёнка, анализов, проведённых тестов на твс, я достоверно говорить , следовательно, не могу. Но мы видим прекрасную R-динамику от неспецифического лечения. Да, потом подключились фтизиатры, но издавна ведь известно, что и противотуберкулёзные препараты могут подавлять чувствительную к ним неспецифическую флору. В остатке имеем малые изменения в виде локального фиброза( и то с натяжкой). И ретроспективно сказать, было ли сочетание малых форм твс с пневмонией просто по динамике на снимках сложно. Но группа R+ однозначно.

Сергей Кузьминов's picture
Offline
Last seen: 1 year 4 months ago
Joined: 06.10.2012 - 15:51
Posts: 11813

Да, Галина Анатольевна, также мыслю.