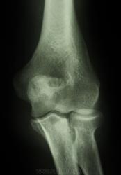
Пол пациента: Мужской пол Тип патологии: Травма Область исследования: Скелетно-мышечная система Методы исследования: Rg Мужчине 47 лет. Травма. Просьба помочь с оценкой диастаза и состояния спиц по отношению к суставной щели - удовлетворительно ли? https://radiomed.ru/sites/default/files/styles/case_slider_image/public/user/6152/2-l.jpg?itok=tUE8E8hs https://radiomed.ru/sites/default/files/styles/case_slider_image/public/user/6152/3-l.jpg?itok=PBUd5TE2 https://radiomed.ru/sites/default/files/styles/case_slider_image/public/user/6152/4-l.jpg?itok=5xNqf1J8 ID:7680 Wed, 06/10/2010 - 12:26 #1 Vega Offline Last seen: 4 months 3 weeks ago Joined: 22.01.2009 - 19:16 Posts: 1087 Удовлетворительно. Wed, 06/10/2010 - 12:32 #2 Александр Викторович Offline Last seen: 8 years 5 months ago Joined: 31.07.2010 - 13:05 Posts: 639 Ну, близко к удовлетворительному. Wed, 06/10/2010 - 13:27 #3 Medeа Offline Last seen: 15 years 2 months ago Joined: 10.09.2010 - 18:11 Posts: 152 Спасибо! Thu, 07/10/2010 - 13:41 #4 Vikkur Offline Last seen: 5 years 3 weeks ago Joined: 24.09.2009 - 14:34 Posts: 1749 и мозолька зреет.. Виктор.
Удовлетворительно.
Ну, близко к удовлетворительному.
Спасибо!
и мозолька зреет..
Виктор.