You are here

Периферическое образование...

Пол пациента: 
Методы исследования: 

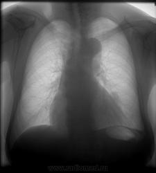
Пациентка 1932 года рождения, год назад у нее было обнаруженно периферическое образование верхней доли левого легкого. Пациентка была направленна на консультацию к онкологу. Ей было проведенно ФГДС,ФКС,ММГ,УЗИ органов бр.полости и малого таза, ничего не нашли...онколог написал заключение: СА периферического бронха? доброкачественное образование? Сегодня ровно через 10 месяцев женщина пришла ко мне на ЦФЛГ...В сравнении отмечаю незначительное увеличение образование было 1,8см х 2,0см, стало 1,8см х 2,5 см...контуры были четкими и ровными...теперь намечается вырезка по верхнему краю образования - место вхождения в образование сосуда....Хочу порекомендовать женщине КТ...КТ пока не занимаюсь, хочу спросить, отдифферинцирует ли КТ зло- от доброкачественного образования...или это необходимо сделать, для поиска источника, например в средостении? ...Почему онколог не назначил КТ легких?

  • https://radiomed.ru/sites/default/files/styles/case_slider_image/public/user/6151/68572_0.jpg?itok=vxHbyggK
  • https://radiomed.ru/sites/default/files/styles/case_slider_image/public/user/6151/68573_0.jpg?itok=3W7TgpSY
ID:7924
Андрей Юрьевич's picture
Offline
Last seen: 1 month 1 day ago
Joined: 16.11.2008 - 22:16
Posts: 18101

poly wrote:

1. отдифферинцирует ли КТ зло- от доброкачественного образования... 2.Почему онколог не назначил КТ легких?

1. При таких размерах ,скорее всего, да. 2. Да Хто Его Знает-то

Андрей Юрьевич

Helios's picture
Offline
Last seen: 10 months 11 hours ago
Joined: 06.08.2010 - 15:16
Posts: 4417

Даже если и нет, то все равно делать надо.ФБС делали?

Виктор ВК's picture
Offline
Last seen: 14 years 11 months ago
Joined: 01.10.2010 - 15:34
Posts: 114

А не могли бы Вы выставит архив?

Виктор Владимирович К.

poly's picture
Offline
Last seen: 10 years 2 months ago
Joined: 10.09.2010 - 17:09
Posts: 84

хорошо архивные снимки завтра выставлю...

бронхоскопию не делали, в том то и дело не понятно как-то у онколога женшина понаблюдалась