Пол пациента:
Тип патологии:
Область исследования:
Методы исследования:
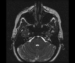
Пациентка, 33 года. Обратилась к ЛОР-врачу с жалобами на прогрессирующую левостороннюю тугоухость, эпизоды вертиго. Было рекомендовано проведение МРТ.
На стандартных аксиальных срезах сразу привлек внимание расширенный вестибулокохлеарный нерв слева:
Были выполнены тонкие 3D срезы в режимах Fiesta и 3D SPGR:
И, наконец, постконтрастные изображения:
На FIESTA здорово получилось.
С уважением, С.Н. Нагорный
Спасибо, очень красиво.
через сколько времени после вв ведения контраста проводится исследование?
Не ограничивайте свою мысль
Живешь пока учишься
Ecrasez l’infame
Невриномы копят сразу. Сейчас наблюдаю аналогичную интраканальную в динамике после гамма-ножа.
насколько вероятен пропуск невриномы без выполнения контрастирования при размерах менее 15мм?
Не ограничивайте свою мысль
Живешь пока учишься
Ecrasez l’infame
На нормальном аппарате и... без отягчающих обстоятельств 15 мм - это ооочень много. Хотя находил однажды менингиому примерно 15х10 мм в мостомозжечковом углу при контрольном обследовании, предыдущее проводилось на 0,3 магфиндере в другом центре, у пациентки был РС, видимо поэтому внимание доктора было... отвлечено. Отправили на гамма-нож, не помню, приходила ли на контроль.
Ясно, спасибо). Опыта у меня мало. На Flair я так понимаю образования не смотрят? Зацепился вчера глаз на нескольких срезах, но на Т2, Т1 подтвеждения не нашел достоверных. Вот и думаю, а мог ли я упустить из-за небольшого размера и без контрастирования...
Не ограничивайте свою мысль
Живешь пока учишься
Ecrasez l’infame
У пациентки пожилого возраста снижение слуха с одной стороны.
Не ограничивайте свою мысль
Живешь пока учишься
Ecrasez l’infame
МРТ с контрастированием гадодиамидом. Видна небольшая внутриканальцевая невринома правого слухового нерва (указана стрелкой).
Невриномы в этой стадии обычно не вызывают сдавления или смещения ствола либо их влияние на мост мозга, продолговатый мозг и мозжечок минимально. Гипертензионные и стволовые симптомы отсутствуют или выражены слабо. Наиболее частыми локальными симптомами являются поражения ЧН в мостомозжечковом углу с наиболее частым ранним вовлечением слухового нерва. В связи с этим у пациентов с односторонним снижением слуха следует подозревать невриному VIII нерва до тех пор, пока она не будет исключена. Все больные с односторонним нарушением слуха должны наблюдаться в динамике у отоневролога
Не ограничивайте свою мысль
Живешь пока учишься
Ecrasez l’infame
"Невриномы в этой стадии" не всегда четко м.б. невриномы. Но интересно об этом подумать