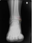
Пол пациента: Мужской пол Тип патологии: Травма Область исследования: Скелетно-мышечная система Методы исследования: Rg Мальчик 9 лет упал с самоката 3 недели назад. Жалобы на болезненность в голеностопном суставе. Ходить может, но испытывает дискомфорт. рентгенография правого голеностопного сустава в двух проекциях 21-06 рентгенограммы правого голеностопного сустава в двух проекциях ID:92476 Цель публикации: Консультация Wed, 21/06/2023 - 15:42 #1 Анастасия33 Offline Last seen: 2 years 4 months ago Joined: 23.12.2016 - 19:21 Posts: 91 вопросы к медиальной лодыжке Wed, 21/06/2023 - 16:16 #2 NIL Offline Last seen: 3 days 17 hours ago Joined: 25.11.2013 - 20:50 Posts: 18208 Анастасия33 wrote: вопросы к медиальной лодыжке За краевой перелом. При апофизе контуры более чёткие и гладкие. Впрочем,могу быть не права. Можно сравнить с противополижным суставом. "Слушай всех, прислушивайся к немногим, решай сам".© Wed, 21/06/2023 - 16:26 #3 Анастасия33 Offline Last seen: 2 years 4 months ago Joined: 23.12.2016 - 19:21 Posts: 91 Где желтым место обведено меня тоже смутило. Не вижу только сам апофиз или отломок. Но меня ещё место смутило, которое красным обвела. Тут как Вы думаете есть ли в нём травматические изменения? Приложения: Wed, 21/06/2023 - 17:53 #4 NIL Offline Last seen: 3 days 17 hours ago Joined: 25.11.2013 - 20:50 Posts: 18208 Анастасия33 wrote: Где желтым место обведено меня тоже смутило. Не вижу только сам апофиз или отломок. Меня тоже Анастасия33 wrote: Но меня ещё место смутило, которое красным обвела. Тут как Вы думаете есть ли в нём травматические изменения? Это ростковая пластина. Она не строго горизонтальна. Может выглядеть и так. "Слушай всех, прислушивайся к немногим, решай сам".© Thu, 29/06/2023 - 15:44 #5 сергеев николай Offline Last seen: 2 days 2 hours ago Joined: 22.06.2016 - 18:45 Posts: 4598 [/quote]Это ростковая пластина. Она не строго горизонтальна. Может выглядеть и так. [/quote] Но может оказаться и остеоэпифезеолизом? Или при нем клиника "ярче"? Нет нет,да тоже приходится детей описывать. Всегда боюсь пропусков( Будьте осторожны со своими мыслями они начало поступков.
вопросы к медиальной лодыжке
"Слушай всех, прислушивайся к немногим, решай сам".©
Где желтым место обведено меня тоже смутило. Не вижу только сам апофиз или отломок. Но меня ещё место смутило, которое красным обвела. Тут как Вы думаете есть ли в нём травматические изменения?
"Слушай всех, прислушивайся к немногим, решай сам".©
[/quote]Это ростковая пластина. Она не строго горизонтальна. Может выглядеть и так.
[/quote]
Но может оказаться и остеоэпифезеолизом? Или при нем клиника "ярче"? Нет нет,да тоже приходится детей описывать. Всегда боюсь пропусков(
Будьте осторожны со своими мыслями они начало поступков.