You are here

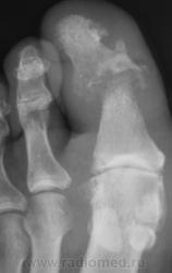
Пациент направлен на рентгенографию первого пальца.

Пол пациента: 
Область исследования: 
Методы исследования: 

Пациент направлен на рентгенографию первого пальца.

  • https://radiomed.ru/sites/default/files/styles/case_slider_image/public/user/12/2.pa260063a.jpg?itok=U6_XVhXh
  • https://radiomed.ru/sites/default/files/styles/case_slider_image/public/user/12/3.pa260063b.jpg?itok=GiQXtCGM
  • https://radiomed.ru/sites/default/files/styles/case_slider_image/public/user/12/4.pa260063bv.jpg?itok=rt1uVrsp
  • https://radiomed.ru/sites/default/files/styles/case_slider_image/public/user/12/5.pa260064.jpg?itok=_aWBwmVM
  • https://radiomed.ru/sites/default/files/styles/case_slider_image/public/user/12/6.pa260064a.jpg?itok=c0gdTupC
  • https://radiomed.ru/sites/default/files/styles/case_slider_image/public/user/12/7.pa260064b.jpg?itok=RGlal1Ew
  • https://radiomed.ru/sites/default/files/styles/case_slider_image/public/user/12/8.pa260064ba.jpg?itok=xhh48X7e
  • https://radiomed.ru/sites/default/files/styles/case_slider_image/public/user/12/9.pa260065.jpg?itok=kEHSOQUu
  • https://radiomed.ru/sites/default/files/styles/case_slider_image/public/user/12/10.pa260066.jpg?itok=eM-QFD2E
  • https://radiomed.ru/sites/default/files/styles/case_slider_image/public/user/12/11.pa260066b.jpg?itok=E2KaLrup
ID:8282
Виктор ВК's picture
Offline
Last seen: 14 years 12 months ago
Joined: 01.10.2010 - 15:34
Posts: 114

и при таком лизисе..нет клиники?

Виктор Владимирович К.

Катенёв Валентин Львович's picture
Offline
Last seen: 7 years 4 months ago
Joined: 22.03.2008 - 22:15
Posts: 54876

Виктор ВК wrote:

и при таком лизисе..нет клиники?

Клиника есть, клиника остеомиелита.

Виктор ВК's picture
Offline
Last seen: 14 years 12 months ago
Joined: 01.10.2010 - 15:34
Posts: 114

мне увиделось что мягкие ткани не сильно отреагировали..

Виктор Владимирович К.