You are here

Постпневмонический фиброз?

Пол пациента: 
Методы исследования: 

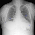
Пациента 70 лет. Две недели назад была температура , перенесла на ногах , что на снимке? 

ID:94134

Поствоспалительные фиброзные измененя в легких, более похоже на последствия перенесенной пневмонии? 

Цель публикации: 
перчик's picture
Offline
Last seen: 4 months 1 week ago
Joined: 06.03.2014 - 12:16
Posts: 721

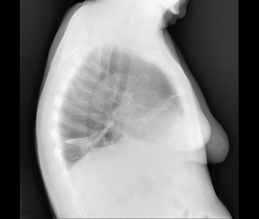
прямую досылаю проекцию

Приложения: 
front_1.jpg
NIL's picture
NIL
Offline
Last seen: 17 hours 44 min ago
Joined: 25.11.2013 - 20:50
Posts: 18210

Хорошо бы свриться с архивом. Фиброз, как вариант, возражений не вызывает.


"Слушай всех, прислушивайся к немногим, решай сам".©

перчик's picture
Offline
Last seen: 4 months 1 week ago
Joined: 06.03.2014 - 12:16
Posts: 721

NIL wrote:

Хорошо бы свриться с архивом. Фиброз, как вариант, возражений не вызывает.

год назад не было фиброзных изменений . Есть ли признаки гидроторакса , или все-таки синусы свободны, затемнений нет?

NIL's picture
NIL
Offline
Last seen: 17 hours 44 min ago
Joined: 25.11.2013 - 20:50
Posts: 18210

Синусы свободны, диафрагма уплощена. Справа не исключу реактивные субсегментарные ателектазы. Контроль в динамике.


"Слушай всех, прислушивайся к немногим, решай сам".©

Игорь Ким 2's picture
Offline
Last seen: 10 hours 7 min ago
Joined: 02.03.2021 - 09:53
Posts: 726

С учетом того, что " 2 недели назад была температура" и " год назад не было фиброзных изменений" можно предположить в лучшем случае течение нижнедолевой 10сегмент пневмонии ( генез?) м.б. с некоторым уменьшением об' ема, в худшем случае обтурацию сегментарного бронха. О двухнедельном фиброзе говорить рано. Согласен " контроль в динамике". 

В.Б. Серов's picture
Offline
Last seen: 2 months 17 hours ago
Joined: 16.07.2008 - 10:15
Posts: 1375

Обозвал бы это дисковидными ателектазами.

Зри в корень!

NIL's picture
NIL
Offline
Last seen: 17 hours 44 min ago
Joined: 25.11.2013 - 20:50
Posts: 18210

В.Б. Серов wrote:

Обозвал бы это дисковидными ателектазами.

А разница?

Морфологически выделяют

  • дисковидный (пластинчатый, субсегментарный) ателектаз- в основном наблюдается в базальных отделах и представляет собой несколько спавшихся долек легкого
  • сегментарный ателектаз -спадение одного или нескольких отдельных сегментов легких
  • долевой (лобарный) ателектаз -спадение одного или нескольких долей легкого


"Слушай всех, прислушивайся к немногим, решай сам".©

Almo's picture
Offline
Last seen: 3 days 22 hours ago
Joined: 28.09.2008 - 18:50
Posts: 8295

А болевого синдром нет, со стороны органов грудной клетки или верхнего этажа брюшной полости? Правда, картина похожа на дисковидные ателектазы.