You are here

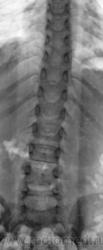
Травма. Ребенок направлен на рентгенографию поясничного отдела позвоночника.

Пол пациента: 
Тип патологии: 
Область исследования: 
Методы исследования: 

Травма. Ребенок направлен на рентгенографию поясничного отдела позвоночника.

  • https://radiomed.ru/sites/default/files/styles/case_slider_image/public/user/12/2.pb110011a.jpg?itok=oHgN7WWX
  • https://radiomed.ru/sites/default/files/styles/case_slider_image/public/user/12/3.pb110012_0.jpg?itok=8w9jfpBx
  • https://radiomed.ru/sites/default/files/styles/case_slider_image/public/user/12/4.pb110012a.jpg?itok=Ah25aTAB
  • https://radiomed.ru/sites/default/files/styles/case_slider_image/public/user/12/5.pb110007.jpg?itok=DssipIOK
  • https://radiomed.ru/sites/default/files/styles/case_slider_image/public/user/12/6.pb110007a.jpg?itok=LmJbKWi_
  • https://radiomed.ru/sites/default/files/styles/case_slider_image/public/user/12/7.pb110010.jpg?itok=1laSo_M5
  • https://radiomed.ru/sites/default/files/styles/case_slider_image/public/user/12/8.pb110010a.jpg?itok=paW8WeEN
ID:8731
stovbav's picture
Offline
Last seen: 2 years 7 months ago
Joined: 20.12.2009 - 17:28
Posts: 7066

Добрый вечер, Валентин Львович!

Д12, 1-я ст компрессии....

Катенёв Валентин Львович's picture
Offline
Last seen: 7 years 5 months ago
Joined: 22.03.2008 - 22:15
Posts: 54876

Добрый вечер Виктор Григорьевич!

Александр Викторович's picture
Offline
Last seen: 8 years 5 months ago
Joined: 31.07.2010 - 13:05
Posts: 639

ТН12, нужно бы сделать и грудной повыше, может быть компрессия нескольких позвонков, и не обязательно подряд.

Катенёв Валентин Львович's picture
Offline
Last seen: 7 years 5 months ago
Joined: 22.03.2008 - 22:15
Posts: 54876

Сделали и повыше. Нет. Только один. Я просто "боковуху" при обработке обрезал.

Александр Викторович's picture
Offline
Last seen: 8 years 5 months ago
Joined: 31.07.2010 - 13:05
Posts: 639

Ну и слава Богу!

Катенёв Валентин Львович's picture
Offline
Last seen: 7 years 5 months ago
Joined: 22.03.2008 - 22:15
Posts: 54876

Богу - то слава, то беспорно. Но, вот мамочки, оставляющие таких маленьких деток на высоких местах, а сами уходящие, черт - те куда...

Александр Викторович's picture
Offline
Last seen: 8 years 5 months ago
Joined: 31.07.2010 - 13:05
Posts: 639

Ну проработать нужно, к сожалению за всем не уследишь от судьбы не уйдешь....

Анатолий Владимирович Шумаков's picture
Offline
Last seen: 8 years 3 months ago
Joined: 16.10.2009 - 21:16
Posts: 1941

Смутило увеличение размеров позвоночного канала в нижнепоясничном отделе - увеличение расстояния между корнями дужек в прямой проекции и вдавленность задних контуров позвонков в боковой. Нет ли у ребенка признаков неврологических расстройств - это может быть опухоль позвоночного канала, я подобное встречал, привожу снимок, тоже думали о переломе тел, здесь конечно все более запущено, чем в Вашем наблюдении...

http://www.google.com.ua/imgres?imgurl=http://img.medscape.com/fullsize/migrated/557/903/nf557903.fig4.gif&imgrefurl=http://www.medscape.com/viewarticle/557903_5&usg=__V3HEgK_y3YTJwGfgPxZEPNIFaaQ=&h=208&w=450&sz=56&hl=ru&start=31&zoom=1&tbnid=9d8tcg0LP-LrRM:&tbnh=86&tbnw=187&prev=/images%3Fq%3Delsberg%2Bdike%26um%3D1%26hl%3Dru%26sa%3DN%26biw%3D1673%26bih%3D782%26tbs%3Disch:11%2C539&um=1&itbs=1&iact=hc&vpx=866&vpy=261&dur=69&hovh=152&hovw=330&tx=212&ty=66&ei=uMzcTLD1JorzsgbVvvHCCw&oei=qczcTPr8NsqFswbM2OjYCw&esq=8&page=2&ndsp=33&ved=1t:429,r:4,s:31&biw=1673&bih=782

http://www.ncbi.nlm.nih.gov/pmc/articles/PMC1390354/pdf/annsurg00534-0082.pdf

elsberg dike ключевые слова

Это подобные наблюдения

Приложения: 
dc15.jpg