You are here

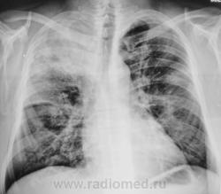
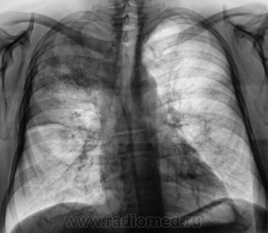
Пациент направлен на рентгенографию ОГК с подозрением на пневмонию.

Пол пациента: 
Методы исследования: 

Пациент направлен на рентгенографию ОГК с подозрением на пневмонию.

  • https://radiomed.ru/sites/default/files/styles/case_slider_image/public/user/12/12.pb190050a.jpg?itok=R9ymp-5H
  • https://radiomed.ru/sites/default/files/styles/case_slider_image/public/user/12/13.pb190050-1.jpg?itok=Fx4vYdgf
  • https://radiomed.ru/sites/default/files/styles/case_slider_image/public/user/12/14.pb190050-1a.jpg?itok=w9zqWUED
  • https://radiomed.ru/sites/default/files/styles/case_slider_image/public/user/12/15.pb190051.jpg?itok=JdQw-V1R
  • https://radiomed.ru/sites/default/files/styles/case_slider_image/public/user/12/16.pb190051a.jpg?itok=vDtPn7hk
  • https://radiomed.ru/sites/default/files/styles/case_slider_image/public/user/12/17.pb190051-1.jpg?itok=2QOGFuGa
  • https://radiomed.ru/sites/default/files/styles/case_slider_image/public/user/12/18.pb190051-1a.jpg?itok=HKxNlqVO
  • https://radiomed.ru/sites/default/files/styles/case_slider_image/public/user/12/19.pb190052.jpg?itok=2P_EQpUs
  • https://radiomed.ru/sites/default/files/styles/case_slider_image/public/user/12/20.pb190052a.jpg?itok=hD4bYZ2W
  • https://radiomed.ru/sites/default/files/styles/case_slider_image/public/user/12/21.pb190053.jpg?itok=1sHzRDHH
  • https://radiomed.ru/sites/default/files/styles/case_slider_image/public/user/12/22.pb190053a.jpg?itok=8hvODSfA
ID:9124
Helios's picture
Offline
Last seen: 10 months 23 hours ago
Joined: 06.08.2010 - 15:16
Posts: 4417

Валентин Львович и так все знает, что делать, поэтому советовать ничего не буду, только скажу, что пока я за пневмонию.Инфильтрация больше пневмоническую напоминает,междолевая плевра отреагировала, 

В клинике тоже,думаю, проявления неспецифического процесса преобладают.

Катенёв Валентин Львович's picture
Offline
Last seen: 7 years 2 months ago
Joined: 22.03.2008 - 22:15
Posts: 54876

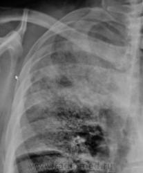
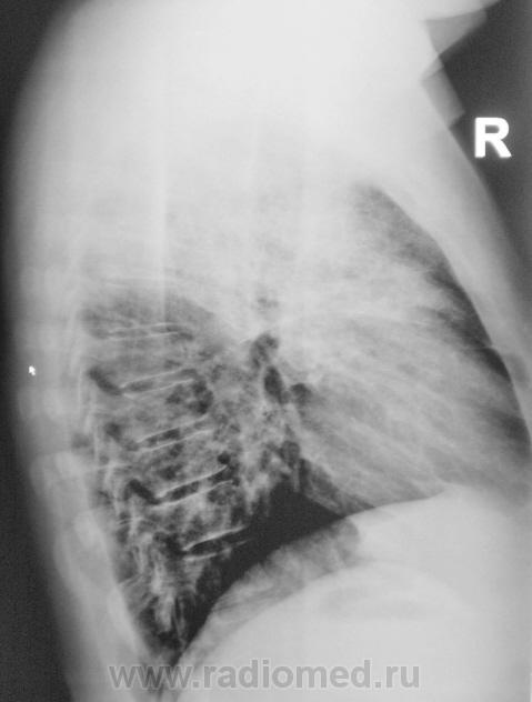
По прямой рентгенограмме в больших сомнениях пребывал - сомнения по поводу абсцедирования...

Катенёв Валентин Львович's picture
Offline
Last seen: 7 years 2 months ago
Joined: 22.03.2008 - 22:15
Posts: 54876

Клиника манифестная, на крупозную тянет, "мужик" здоровенный, вчера температура до 40.

Катенёв Валентин Львович's picture
Offline
Last seen: 7 years 2 months ago
Joined: 22.03.2008 - 22:15
Posts: 54876

Томограммы.

[[wysiwyg_imageupload:598:]][[wysiwyg_imageupload:599:]][[wysiwyg_imageupload:600:]][[wysiwyg_imageupload:601:]][[wysiwyg_imageupload:602:]][[wysiwyg_imageupload:603:]][[wysiwyg_imageupload:604:]]

Дарья's picture
Offline
Last seen: 15 years 2 months ago
Joined: 22.09.2010 - 22:33
Posts: 98

на абсцедирование наверно кровушка должна отреагировать

бронхи вышли

вот я заметила такую тенденцию-они всегда выходят(у меня по крайней мере )тогда, когда не надо)

а когда надо-сплошь корявые

Катенёв Валентин Львович's picture
Offline
Last seen: 7 years 2 months ago
Joined: 22.03.2008 - 22:15
Posts: 54876

Так, по поводу абсцедирования "рентгенологически" на кровь будем ориентироваться?

Сан Саныч1's picture
Offline
Last seen: 1 year 1 month ago
Joined: 07.06.2010 - 21:17
Posts: 2114

Лучше не надо.

Хочешь сделать что-то нормально - сделай это сам!

Катенёв Валентин Львович's picture
Offline
Last seen: 7 years 2 months ago
Joined: 22.03.2008 - 22:15
Posts: 54876

Сан Саныч1 wrote:

Лучше не надо.

Я тоже так думаю.

Здравствуйте Сан Саныч!

Дарья's picture
Offline
Last seen: 15 years 2 months ago
Joined: 22.09.2010 - 22:33
Posts: 98

ну если иначе не видно-то почему бы и нет))

Катенёв Валентин Львович's picture
Offline
Last seen: 7 years 2 months ago
Joined: 22.03.2008 - 22:15
Posts: 54876

Дарья wrote:

ну если иначе не видно-то почему бы и нет))

Не видно чего?

Сан Саныч1's picture
Offline
Last seen: 1 year 1 month ago
Joined: 07.06.2010 - 21:17
Posts: 2114

Добрый вечер, Валентин Львович.

Хочешь сделать что-то нормально - сделай это сам!

Дарья's picture
Offline
Last seen: 15 years 2 months ago
Joined: 22.09.2010 - 22:33
Posts: 98

не видно, по крайней мере мне, тут абсцедирования

Катенёв Валентин Львович's picture
Offline
Last seen: 7 years 2 months ago
Joined: 22.03.2008 - 22:15
Posts: 54876

А, я, наверно поспешил, абсцедирование в протокол забацал.

Дарья's picture
Offline
Last seen: 15 years 2 months ago
Joined: 22.09.2010 - 22:33
Posts: 98

думаю, да)