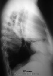
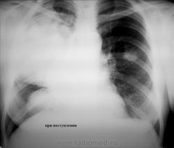
Больная, молодая женщина, алкогольного поведения, поступила в стационар 1 неделю назад, с признаками интоксикации, фебрильной температурой, дыхательной недостаточностью, кровохарканьем в ОАК лейкоцитоз, СОЭ, сдвиг формулы влево, состояние на момент поступления было тяжелое, госпитализирована в хирургическое отделение, с диагнозом тумор правого легкого, легочное кровотечение, по УЗИ печень увеличена-цирротические изменения. Больной проводилась консервативная терапия, массивная антибиотикотерапия, через несколько дней переведена в терапевтическое отделение, состояние больной несколько улучшилось, температура субфебрильная, кашель с мокротой слизисто-гнойного характера, много. Произведена контрольная рентгенография ОГК, планируется проведение ЛТ. Уважаемые коллеги помогите разобраться со снимками, абсцедирующая пневмония в верхней доле правого легкого, может ли здесь иметь место и тумор правого легкого? есть и инфильтративная тень и в верхней доле левого легкого? что это? Простите за качество снимков.
в комментах грузится быстрее
Александр Викторович, не буду повторяться, свое мнение высказала,.
Здесь не так просто разобраться.Но, думаю, что уважаемые коллеги помогут Вам.
Инфильтрация явно не пневмоническая-гомогенность и четкость контуров говорит против нее.
Кстати, про средостение тоже не забывайте-не исключено, что процесс оттуда идет.Справа формируется уровень жидкости, но не совсем понятный.Второй снимок жестковатый, поэтому тень слева не видна четко.
ЛТ в прямой и боковой( обязательно!) проекциях.Если есть возможность сделать УЗИ-не упускайте ее.
Простите за сумбурность-спешу.
На мой взгляд, пока данные за абсцедирующую пневмонию. Есть слабоположительная динамика (частичное рассасывание инфильтрата слева). Надо продолжать массивную неспециф. терапию с последующими контролями. DDS с TBC. За онко пока сомнительно, все укладывается в пневмению.
Великое преймущество врача заключается в том, что он не обязан следовать собственным советам. ( А. Кристи)
Полисегментарная инфильтративная пневмония с 2-х сторон,с абсцедированием справа в верхнем поле;справа, можно предположить междолевой плеврит с локализацией по главной междолевой щели в базальных отделах( чёткие, очерченные контуры затенения,что нехарактерно для пневмонии).С учётом всей информации, необходимо дифференцироватьс эмпиемой плевры.Данных за патологию средостения не нахожу.
А, где боковая "спустя неделю"
Не исключено, что завтра картина будет иная.Хотелось бы посмотреть.
Валентин Львович, слово за Вами.
Но в голове бы держала и саркому. Из-за интенсивности и гомогенности. Кроме того, одно другому не мешает. Контроль через 7-10 дней, если не будет динамики - ТГ, бронхоскопия, КТ.
https://www.youtube.com/channel/UCBGxoBUOqUT_bFhSeUgtWEw
Все что получилось....
Пока вопросов больше, чем ответов.
Людмила Григорьевна, мне тоже мысль о саркоме приходила в голову, но пока я ее на время оставила.
а можно еще сделать 3-4 среза, кзади по 1 см от имеющегося?
https://www.youtube.com/channel/UCBGxoBUOqUT_bFhSeUgtWEw
Вопрос - у больной есть СПИД?
Болезни ног: виды, симптомы, причины, профилактика и лечение
Пока, как рабочая версия, скиалогически билобарная вневмония по типу крупозной с полость деструкции в верхней доле.
С верхнедолевой справа - без вопросов, как и с деструкцией. А вот базально...мне больше импонирует мысль АЛМО по поводу осумкованого плеврита, и знаете, что наводит на эту мысль - полоска просветления между нижним краем затемненной в\доли с затемнением в передне-базальном отделе. если бы это была инфильтрация легочной ткани - этой полоски бы не было, а вот если это коллабированая средняя доля - тогда другое дело и она, эта светлая полоска, вполне обьяснима. Слева - отсев пневмонии в виде овального инфильтрата. Как такое предположение?
Болезни ног: виды, симптомы, причины, профилактика и лечение
Спасибо коллеги, больную переводят в край, в ЦГХ где КТ, МРТ и т.п о результатах обязуюсь отчитаться