You are here

Вариант развития суставов дужки в сегменте Л2-Л3.

Пол пациента: 
Тип патологии: 
Область исследования: 
Методы исследования: 

Пациент направлен из районного военного комиссариата с целью определения степени сколиотической деформации. Произведены рентгенограммы поясничного отдела позвоночника в стандартных проекциях в положении стоя.

01.
01.
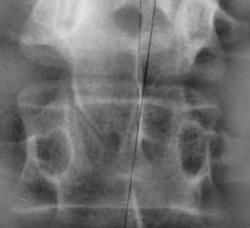
02.
02.

 

 

Иллюстрации 1, 2. Определяется деформация поясничного отдела позвоночника во фронтальной плоскости в виде правостороннего сколиоза. Произведена разметка – расчерчивание рентгенограммы по методу Фергюссона. Определяется ротация тел Л1, Л2, Л3, Л4 позвонков. При детальном изучении определяется вариант развития нижнего суставного отростка тела Л2 справа и верхнего суставного отростка Л3 справа в виде «скошенности».

03.
03.

 

 

Иллюстрация 3. Фрагмент с увеличением. Ранее, мы с таким вариантом развития не встречались.

AttachmentSize
Image icon 01.81.59 KB
Image icon 02.100.49 KB
Image icon 03.69.2 KB