You are here

Левосторонняя абсцедирующая пневмония, паракостальный и интерлобарный осумкованный плевриты.

Пол пациента: 
Методы исследования: 

Катенёв В.Л.

Случай из практики «Левосторонняя абсцедирующая пневмония, паракостальный и интерлобарный осумкованный плевриты».

(Рентгенологическое отделение МУЗ «Красногвардейская центральная районная больница» Белгородской области).

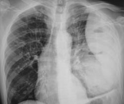
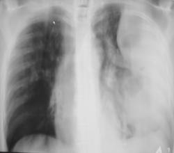
Пациент мужчина преклонного возраста в «критическом состоянии» доставлен машиной скорой помощи «прямо в рентгеновский кабинет». Температура, разлитые сильные боли слева в грудной клетке, интоксикация. Сделана рентгенограмма только в прямой стандартной проекции (иллюстрация 1). Решено назначить противовоспалительную и дезинтоксинационную терапию и после улучшения состояния провести рентгенологическое исследование. Через 1 неделю пациенту субъективно «стало лучше» доставлен в рентгеновский кабинет.


1..jpg
1..jpg
2.JPG
2.JPG

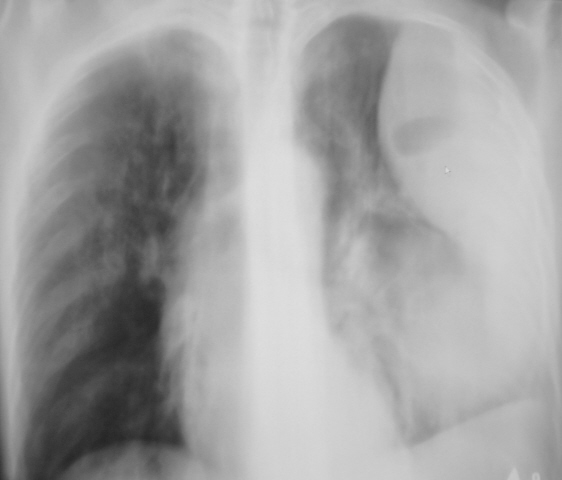
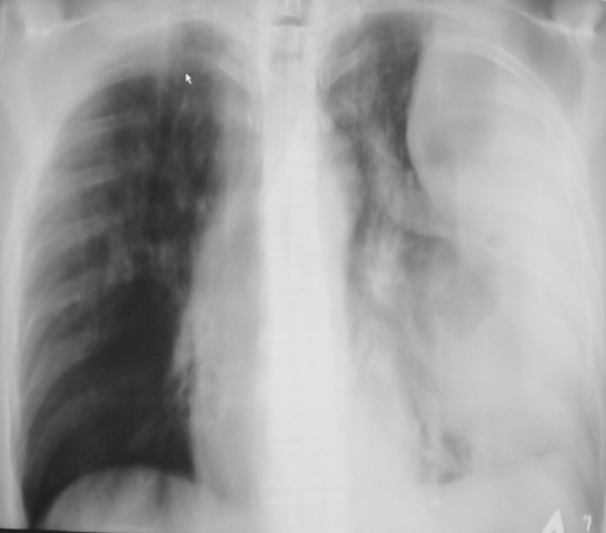
Иллюстрация 2. Слева определяется субтотальное снижение прозрачности легочного поля за счет наличия значительных размеров паракостального осумкованного выпота, имеющего чёткий и ровный контур. На фоне инфильтративно измененной легочной ткани в верхнем, среднем и нижнем легочных полях четко определяются две структуры — просветления с горизонтальными уровнями жидкости. Слева купол диафрагмы подтянут, фиксирован. Тень средостения резко смещена вправо.


3.JPG
3.JPG
4.JPG
4.JPG

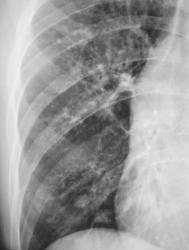
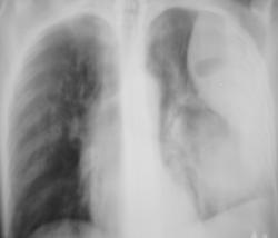
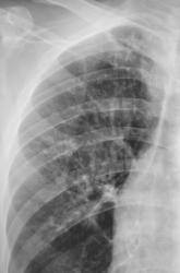
Иллюстрации 3, 4. Справа определяется почти диффузное усиление, обогащение и деформация легочного рисунка, на фоне чего дифференцируются очаговоподобные тени, округлые мелкие просветления. Тень правого корня полностью нивелирована, смещенным вправо средостением.


5.JPG
5.JPG
6.JPG
6.JPG

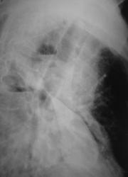
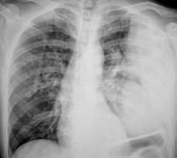
Иллюстрации 5, 6. Базо-медиально, на фоне инфильтративно измененной легочной ткани определяются несколько округлых просветлений, аналогичные, более мелкие просветления визуализируются, на фоне инфильтративно измененной легочной ткани на уровне тела корня.


7.JPG
7.JPG
8.JPG
8.JPG

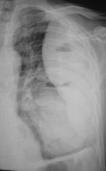
Иллюстрации 7, 8. На левой боковой рентгенограмме четко дифференцируются полости деструкции, расположенные в заднем сегменте верхней доли и в 6 сегменте нижней доли, с четко обозначенными горизонтальными уровнями — абсцедирование. «По ходу» главной междолевой щели четко определяется тень однородной структуры, средней интенсивности, грушевидной формы, с чёткими, ровными контурами — тень интерлобарного осумкованного выпота.


9.JPG
9.JPG
10.jpg
10.jpg

Иллюстрации 9, 10. В заднем сегменте верхней доли определяются более мелкие просветления — формирующиеся абсцессы. Аналогичная картина — множественные мелкие просветления дифференцируются также в нижней доле.


11.JPG
11.JPG
12.JPG
12.JPG

Иллюстрации 11, 12. Томограмма и фрагмент среза. Справа в верхней доле определяются множественные мелкие округлые просветления, на фоне чего определяются участки лобулярной инфильтрации.


13.JPG
13.JPG
14.JPG
14.JPG

Иллюстрации 13, 14, 15. Другие томографические срезы.


15.JPG
15.JPG

 

Ниже представлены снимки в динамике - через 2,5 недели.

AttachmentSize
Image icon 1..jpg79.34 KB
Image icon 2.JPG79.64 KB
Image icon 3.JPG79.1 KB
Image icon 4.JPG88.21 KB
Image icon 5.JPG67.77 KB
Image icon 6.JPG71.22 KB
Image icon 7.JPG79.55 KB
Image icon 8.JPG93.27 KB
Image icon 9.JPG86.18 KB
Image icon 10.jpg69.06 KB
Image icon 11.JPG55.9 KB
Image icon 12.JPG73.27 KB
Image icon 13.JPG52.83 KB
Image icon 14.JPG59.35 KB
Image icon 15.JPG55.18 KB