You are here

О якобы жесткости цифровых снимков

Пол пациента: 
Методы исследования: 

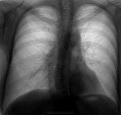
"Читая" вчера флюорограф, при просмотре данного случая опять вспомнил высказывания кого-то из коллег о якобы перебитых цифровых флгр. ОГК, мол позвоночник виден - значит потеряны детали легочного рисунка. Доброкачественное образование левого легкого, подтв. КТ, на протяжении 5 лет без динамики (столько работает у нас цифр.флгр.). Судя по всему давнее, но обратили внимание с первой цифровой флгр. Поднимали пленочный архив - там на фоне сердечной тени оно не диф.

ID:9754
Игорь Иванович's picture
Offline
Last seen: 3 years 11 months ago
Joined: 23.01.2010 - 14:56
Posts: 3695

?

Приложения: 
1965g.r._03.12.2010g..jpg
Helios's picture
Offline
Last seen: 9 months 4 days ago
Joined: 06.08.2010 - 15:16
Posts: 4417

У нас "Ренекс-флюоро".Снимки хорошие получаются.Обзорки делаем только когда направляем в другое учреждение ( ООД.ПТД).

Приложения: 
flyu.jpgvnutrivenka_044.jpgvnutrivenka_046.jpgvnutrivenka_042.jpgvnutrivenka_043.jpg
Катенёв Валентин Львович's picture
Offline
Last seen: 7 years 2 months ago
Joined: 22.03.2008 - 22:15
Posts: 54876

Хотелось-бы услышать мнение коллег по факту, как-бы лучшего видения легочного рисунка и других мелких деталей на рентгенограмме, по сравнению с цифрой. Бытует такое мнение, что рентгенограмма лучше...

Катенёв Валентин Львович's picture
Offline
Last seen: 7 years 2 months ago
Joined: 22.03.2008 - 22:15
Posts: 54876

А, почему позвоночник на рентгенограмме (хорошей рентгенограмме) в прямой проекции не виден?. Все-ли дело в "жесткости"?

Helios's picture
Offline
Last seen: 9 months 4 days ago
Joined: 06.08.2010 - 15:16
Posts: 4417

 

 Мы делаем на одном режиме вне зависимости от комплекции.Это нам инженер  завода-изготовителя порекомендовал.

Ермолаев's picture
Offline
Last seen: 8 years 12 months ago
Joined: 07.02.2009 - 16:33
Posts: 670

Уважаемый Игорь Иванович! Абсолютно согласен с Вами, что на "цифре" не бывает "перебитых снимков". Низкая разрешающая способность (1,2 Мп) камеры, компенсируется возможностью редактирования снимков. С помощью программы можно увеличить (уменьшить) яркость, контрастность, резкость, размеры. Соглашусь с коллегой Helios, в свое время (бытность зав рентгенотделения) полность заменил пленочную рентгенографию легких цифровой флюорографией. Флюорограф "Ренекс- Флюоро ФЦБМ-1" "Вымпел" Москва. Один в один, как на фото коллеги Helios. Министерство одно!

dok

Helios's picture
Offline
Last seen: 9 months 4 days ago
Joined: 06.08.2010 - 15:16
Posts: 4417

Владимир Васильевич, полковник Баранович еще служит?Он наш бывший начальник .

Ермолаев's picture
Offline
Last seen: 8 years 12 months ago
Joined: 07.02.2009 - 16:33
Posts: 670

Виктор Николаевич уже на пенсии! Вместе с Броницким отвечает за экологию Нижегородской области! К сожалению, стал вдовцом. Не смогли спасти его супругу от онкологии яичников и матки. Ковалев продолжает служить начальником аптеки!

dok

ren_gen's picture
Offline
Last seen: 11 years 2 months ago
Joined: 30.10.2010 - 19:17
Posts: 285

здравствуйте! рентгенограмма конечно лучше только если она выполнена на правильных режимах. цифровые флюро особено на ренекс-флюро могут дать информацию только о наличии или отсутствии патологии и то не всегда (даже на не очень качественных Рг-ах легочный рисунок видно лучше). хорошие цифровые рентгеновские аппараты и CR системы дают возможность работы с изображением и они на мной взгляд лучше.

ren_gen's picture
Offline
Last seen: 11 years 2 months ago
Joined: 30.10.2010 - 19:17
Posts: 285

На автоматическом режиме флюшки вообще не информативны!я конечно о своем аппарате говорю...

Ермолаев's picture
Offline
Last seen: 8 years 12 months ago
Joined: 07.02.2009 - 16:33
Posts: 670

Как говорили мои учителя (Кишковский, Давыденко, Ищенко и др) качество лучевой диагностики на 20% зависит от техники и на 80% от той прокладки, которая сидит между аппаратом и пациентом. Это же касается УЗД, КТ, МРТ.

dok

ren_gen's picture
Offline
Last seen: 11 years 2 months ago
Joined: 30.10.2010 - 19:17
Posts: 285

мои учителя (Линденбратен, Задгенидэе, Александрова и др.) говорили не описывать не качественные рентгенограммы. Ну а если кто то сидит между аппаратом и пациентом так это вообще не пойми что! не информативно!!!!!!!

Helios's picture
Offline
Last seen: 9 months 4 days ago
Joined: 06.08.2010 - 15:16
Posts: 4417

Да, жена Виктора Николаевича  была светлым добрым человеком.

Константину Николаевичу  и Наталье Михайловне Яуровой( если знаете)привет.

Генерал Броницкий был у нас командиром корпуса.Плохого не скажу.

Катенёв Валентин Львович's picture
Offline
Last seen: 7 years 2 months ago
Joined: 22.03.2008 - 22:15
Posts: 54876

Хотелось-бы услышать мнение коллег по факту, как-бы лучшего видения легочного рисунка и других мелких деталей на рентгенограмме, по сравнению с цифрой. Бытует такое мнение, что рентгенограмма лучше...

 

А, почему позвоночник на рентгенограмме (хорошей рентгенограмме) в прямой проекции не виден?. Все-ли дело в "жесткости"?

 

ren_gen

«здравствуйте! рентгенограмма конечно лучше только если она выполнена на правильных режимах. цифровые флюро особено на ренекс-флюро могут дать информацию только о наличии или отсутствии патологии и то не всегда (даже на не очень качественных Рг-ах легочный рисунок видно лучше). хорошие цифровые рентгеновские аппараты и CR системы дают возможность работы с изображением и они на мной взгляд лучше.»

Вопрос был, что лучше (цифра или аналог) для анализа, именно, изображения грудной полости.

Игорь Иванович's picture
Offline
Last seen: 3 years 11 months ago
Joined: 23.01.2010 - 14:56
Posts: 3695

Я может компъютерно не сильно подкован, имею смутное представление о пикселе, СR система мне вообще не известна и, допустим, высказывания DR.DRUGа о монохромности и гетерохромности снимков посылают в нокдаун, но я помню те флюшки, которые получались на вконцекрахасоюза сделанном флюорографе - врагу не пожелаю. Да он с самого нова не давал удобоваримую картинку. Что интересно, что его списали раньше, чем проработавший до него 12 лет "немец". Конечно я за сегодняшнюю цифру. Конечно, качественная рентгенограмма - это хорошо. Но если я работаю на морально и физически изношенном оборудовании, которое с трудом ремонитуется, не говоря о профилактике, где много субъективности (на глаз напряжение, ток, фокусное расстояние, старый-новый проявитель, и достаточно ли теплый, кассеты, и соответствуют ли пленке, которая от закупки до закупки разная) - какого качества можно ожидать. Хотя я видел (повторяюсь) Лондонский 35*35 снимок ОГК - брррр. Может быть на тех аппаратах, где сняты эти вопросы качество и лучше. Яркий пример ( для тех кто занимался давно фотографией ) с т.н. мыльницами - все стандартизировано, и , практически, не нужно особого умения, что бы получить качественную, да еще цветную фотографию.

Катенёв Валентин Львович's picture
Offline
Last seen: 7 years 2 months ago
Joined: 22.03.2008 - 22:15
Posts: 54876

Хорошую тему открыли Вы, уважаемый Игорь Иванович!

Может быть дождемся высказываний коллег, и по поводу должен-ли быть виден позвоночник (на цифре), и почему он не виден (считается, как стандарт "правильно выполненной рентгенограммы в прямой стандартной проекции") на обзорной рентгенограмме ОГК, и где (на цифре или на аналоге) объективно лучше видны структурные элементы ОГК.

stovbav's picture
Offline
Last seen: 2 years 4 months ago
Joined: 20.12.2009 - 17:28
Posts: 7066

1. С цифровой ФГ работаю с 2004 года.

2. Никакой аналоговый снимок выполненый в пределах города и области не в состоянии (на мой взгляд) конкурировать (на сегодняшний день) с очень посредственной (2,2 п. л. мм) цифрой, которой оснащены кабинеты города.

3.Причины перечислять не буду, Игорь Иванович их  указал.

4. Критери, которые относятся к качеству аналоговых рентгенограмм (на мой взгляд) не могут быть автоматически перенесены на цифровые.

Ермолаев's picture
Offline
Last seen: 8 years 12 months ago
Joined: 07.02.2009 - 16:33
Posts: 670

Абсолютно согласен с постом уважаемого Виктора Григорьевича! Аналоговую и цифровую ФЛГ нельзя сравнивать. Разные физические способы их получения. Еще раз повторюсь, что несколько низкая разрешающяя способность цифры (по сравнению с аналоговой)  легко компенсируется возможностью редактирования цифрового снимка. Из обычной "стандартной" ФЛГ можно сделать очень жесткую, будет виден один позвоночник. И наоборот из достаточно загубленной ФЛГ можно сделать достаточно читаемый снимок. И главное, что исключен фотопроцесс (где бывало загублено много флюшек), время получения снимка исчисляется секундами, врач способен оценить результат сразу и при необходимости назначить дополнительные исследования (боковые, прицельные и т.д.) еще и пациент не успеет одеться.

dok

Катенёв Валентин Львович's picture
Offline
Last seen: 7 years 2 months ago
Joined: 22.03.2008 - 22:15
Posts: 54876

ren_gen

«здравствуйте! рентгенограмма конечно лучше только если она выполнена на правильных режимах. цифровые флюро особено на ренекс-флюро могут дать информацию только о наличии или отсутствии патологии и то не всегда (даже на не очень качественных Рг-ах легочный рисунок видно лучше). хорошие цифровые рентгеновские аппараты и CR системы дают возможность работы с изображением и они на мной взгляд лучше».

ren_gen

«мои учителя (Линденбратен, Задгенидэе, Александрова и др.) говорили не описывать не качественные рентгенограммы. Ну а если кто то сидит между аппаратом и пациентом так это вообще не пойми что! не информативно!!!!!!!»

Ермолаев

«Как говорили мои учителя (Кишковский, Давыденко, Ищенко и др) качество лучевой диагностики на 20% зависит от техники и на 80% от той прокладки, которая сидит между аппаратом и пациентом. Это же касается УЗД, КТ, МРТ.»

Конечно, были правы, перечисленные ученые по поводу качества снимков, порой и правильно журили нас, по поводу качества «пленочной продукции» на курсах, не зная, или не желая знать, на какой аппаратуре работает практическое здравоохранение (они уже тогда работали на импорте), какую плёнку использует это практическое здравоохранение, экраны, кассеты и пр. и пр. А, экраны и кассеты использовали – пока не развалятся, а проявитель – пока не станет черным, да еще и добавим восстановителя, такая песня и с фиксажем, да и баки - танки были не у всех, некоторые и в ванночках бултыхались в начале 21 века, а проявочные машины, тогда уже «там были», для обычных практиков - это была сладостная мечта.

Даже сейчас, при наличии CR-систем, многие ратуют за аналоговую (пленочную) рентгенографию, особенно коллеги клиницисты и консультанты, и это объяснимо, ибо, выработался определенный «скиалогический» стереотип.

Конечно, при желании «цифру» тоже можно запороть.

Конечно, то, что всунули нам по нац. проекту – «Ренекс-Флюоро», так, то, желает быть много лучше, но в сравнении с тем, что имели – раздолбанными пленочными флюорографами, так то большой прогресс. Просканы, как-бы лучше по качеству, но стоят много дороже, а экспозиция – не каждый выдержит, здоровые-то мужики говорят, что задохнулся. Будем ждать новых, более совершенных цифровых флюорографов, ведь деньги даденные в здравоохранение, как-то надо-же высосать «аппаратурным Боссам».

Катенёв Валентин Львович's picture
Offline
Last seen: 7 years 2 months ago
Joined: 22.03.2008 - 22:15
Posts: 54876

А, сейчас по поводу – «цифры – аналога», с маленьким «Па» в сторону…

Мне вспомнился метод электрорентгенографии (ксерорентгенографии), который, в настоящее время полностью забыт, но применяется кое-где до сих пор, а забыт был, по всей видимости, в результате технических недоработок самого аппарата.

Помню, во время «пленочной эры», мы получили в режиме обычной рентгенографии первую электрорентгенограмму ОГК. Обалдели и зубры, и молодежь, обалдели от богатства деталей и четкости этих деталей, хорошей видимости «этих деталей», по сравнению с пленкой. Тогда, этот «эффект четкости» был назван «краевым эффектом», и этот термин переходил из статей в монографии и считался одним из преимуществ электрорентгенографии. Кстати, многими авторами было отмечено, что электрорентгенограмма соединяет в себе свойства обычной рентгенограммы и суперэкспонированного снимка. Позвоночник, кстати, на электрорентгенограммах, был довольно хорошо виден на фоне сердечной тени, но все было списано на «краевой эффект», что в последствии было подкреплено и монографией тогдашнего главного рентгенолога СССР – Иосифа Хаимовича Рабкина.

На мой взгляд, возможно ошибочный, никакой это не «краевой эффект», а более реальное изображение, так как использовалась не пленка, а селеновая пластина, и был исключен один из факторов, влияющих на качество получаемого изображения на пленке – экранная нерезкость. Но тогда «солистом № 1» была, именно, двусторонняя рентгеновская пленка. А, кто работал с односторонней, прекрасно помнят, что на односторонней пленке, изображение получалось намного четче. Почему?

Просто никто, в те времена не задумывался, другого, кроме пленки не было. Но, по всей видимости, при аналоговой рентгенографии, кроме динамической, геометрической и экранной нерезкостей, существовал еще один вид нерезкости – пленочная, именно обусловленная двусторонним эмульсионным покрытием.

По всей видимости, и «цифра», генетически не завися от экранной и пленочной нерезкости, предоставляет нам более реальное (по сравнению с аналогом) изображение.