Пол пациента:
Тип патологии:
Область исследования:
Методы исследования:
- https://radiomed.ru/sites/default/files/styles/case_slider_image/public/user/12/2.pc060042b.jpg?itok=b3A0wgkL
- https://radiomed.ru/sites/default/files/styles/case_slider_image/public/user/12/3.pc060043.jpg?itok=bavrRAdM
- https://radiomed.ru/sites/default/files/styles/case_slider_image/public/user/12/4.pc060043b.jpg?itok=ZgRd0orm
- https://radiomed.ru/sites/default/files/styles/case_slider_image/public/user/12/5.pc060043bv.jpg?itok=rCPCX104
- https://radiomed.ru/sites/default/files/styles/case_slider_image/public/user/12/6.pc060044.jpg?itok=Aawbgh5C
- https://radiomed.ru/sites/default/files/styles/case_slider_image/public/user/12/7.pc060044a.jpg?itok=igZpwXsb
ID:9865
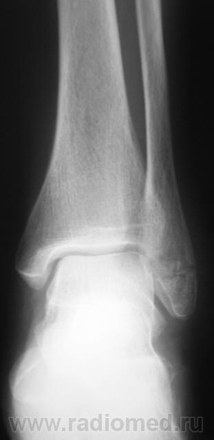
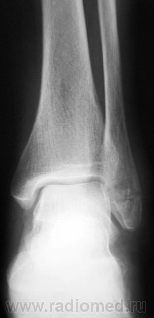
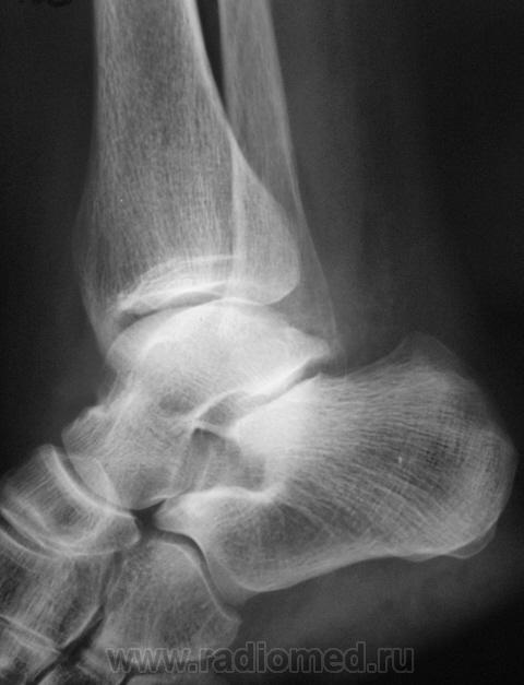
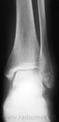
Рискну предположить, что сломана.
ведь сломана.
Прийди к Себе
Значит перелом без смещения отломков?
перелом наружной лодыжки без смещения отломков.
Прийди к Себе
Похоже на перелом лодыжки, есть все признаки, но где то подвох, ведь Валентин Львович банальный перелом лодыжки, которые десятки в день проходят, на сайт бы не выставил
Ну, что Вы? Ну какой подвох?
Сам в раздумье...