You are here

Травма. Пациент направлен на рентгенографию локтевого сустава.

Пол пациента: 
Тип патологии: 
Область исследования: 
Методы исследования: 

Травма.  Пациент направлен на рентгенографию локтевого сустава.

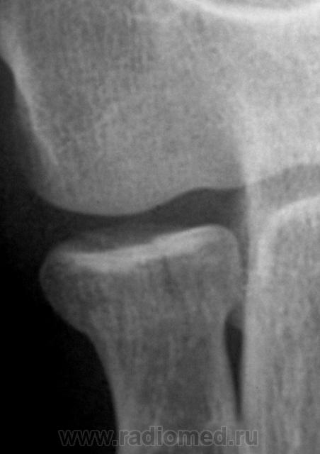
Рентгенограмма в прямой проекции.

Фрагменты с увеличением.

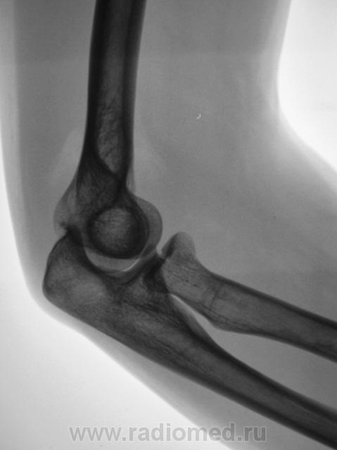
Боковая проекция.

Фрагменты с увеличением.

  • https://radiomed.ru/sites/default/files/styles/case_slider_image/public/user/12/2.pc090010.jpg?itok=qx-oOPIh
  • https://radiomed.ru/sites/default/files/styles/case_slider_image/public/user/12/3.pc090011.jpg?itok=9FYg48qe
  • https://radiomed.ru/sites/default/files/styles/case_slider_image/public/user/12/1.pc090010-1.jpg?itok=FXyJWhWT
  • https://radiomed.ru/sites/default/files/styles/case_slider_image/public/user/12/2.pc090010-1a.jpg?itok=BxZrSMit
  • https://radiomed.ru/sites/default/files/styles/case_slider_image/public/user/12/3.pc090010-1b.jpg?itok=4mZwucmf
  • https://radiomed.ru/sites/default/files/styles/case_slider_image/public/user/12/4.pc090011-2.jpg?itok=p3dWQ-Kp
  • https://radiomed.ru/sites/default/files/styles/case_slider_image/public/user/12/5.pc090011-2a.jpg?itok=EazhYuXP
  • https://radiomed.ru/sites/default/files/styles/case_slider_image/public/user/12/6.pc090011-2ab.jpg?itok=jp_tkKCL
  • https://radiomed.ru/sites/default/files/styles/case_slider_image/public/user/12/1.pc090014.jpg?itok=4Fs10__i
  • https://radiomed.ru/sites/default/files/styles/case_slider_image/public/user/12/2.pc090014a.jpg?itok=Fm6_WSyc
  • https://radiomed.ru/sites/default/files/styles/case_slider_image/public/user/12/3.pc090012.jpg?itok=tAAp_0dF
  • https://radiomed.ru/sites/default/files/styles/case_slider_image/public/user/12/4.pc090012a.jpg?itok=gYyDudUo
  • https://radiomed.ru/sites/default/files/styles/case_slider_image/public/user/12/5.pc090013.jpg?itok=3X0z92na
  • https://radiomed.ru/sites/default/files/styles/case_slider_image/public/user/12/6.pc090013a.jpg?itok=_s3IQ4BN
  • https://radiomed.ru/sites/default/files/styles/case_slider_image/public/user/12/1.pc090012-1.jpg?itok=FNEjAGjD
  • https://radiomed.ru/sites/default/files/styles/case_slider_image/public/user/12/2.pc090012-1a.jpg?itok=ZOScMO5R
  • https://radiomed.ru/sites/default/files/styles/case_slider_image/public/user/12/3.pc090012-1ab.jpg?itok=9d1CpQ3L
  • https://radiomed.ru/sites/default/files/styles/case_slider_image/public/user/12/4.pc090013-2.jpg?itok=uIZS6psi
  • https://radiomed.ru/sites/default/files/styles/case_slider_image/public/user/12/6.pc090013-2a.jpg?itok=wCe7hlc9
  • https://radiomed.ru/sites/default/files/styles/case_slider_image/public/user/12/7.pc090013-2ab.jpg?itok=yBzOhGSp
ID:10084
Helios's picture
Offline
Last seen: 11 months 2 weeks ago
Joined: 06.08.2010 - 15:16
Posts: 4417

Предположу продольный перелом головки луча с допустимым смещением.

Александр Викторович's picture
Offline
Last seen: 8 years 4 months ago
Joined: 31.07.2010 - 13:05
Posts: 639

Helios wrote:

Предположу продольный перелом головки луча с допустимым смещением.

Елена за Вами не успеешьwink

Анатолий Владимирович Шумаков's picture
Offline
Last seen: 8 years 1 month ago
Joined: 16.10.2009 - 21:16
Posts: 1941

Красивое наблюдение - нечастая локализация...

Helios's picture
Offline
Last seen: 11 months 2 weeks ago
Joined: 06.08.2010 - 15:16
Posts: 4417

Александр Викторович wrote:

Helios wrote:

Предположу продольный перелом головки луча с допустимым смещением.

Елена за Вами не успеешьwink

Кто рано встает..

Александр Викторович's picture
Offline
Last seen: 8 years 4 months ago
Joined: 31.07.2010 - 13:05
Posts: 639

Helios wrote:

Александр Викторович wrote:

Helios wrote:

Предположу продольный перелом головки луча с допустимым смещением.

Елена за Вами не успеешьwink

Кто рано встает..

раньше Вас встает только Канада с СШАwink

Helios's picture
Offline
Last seen: 11 months 2 weeks ago
Joined: 06.08.2010 - 15:16
Posts: 4417

Ну не знаю.Вчера 3 раза вызывали на работу, поэтому...

Катенёв Валентин Львович's picture
Offline
Last seen: 7 years 4 months ago
Joined: 22.03.2008 - 22:15
Posts: 54876

Хочется услышать мнение коллег по поводу "жировых подушечек". Как они, среагировали или нет?

Александр Викторович's picture
Offline
Last seen: 8 years 4 months ago
Joined: 31.07.2010 - 13:05
Posts: 639

Катенёв Валентин Львович wrote:

Хочется услышать мнение коллег по поводу "жировых подушечек". Как они, среагировали или нет?

Вот два Ваших случая Валентин Львович в первом случае внутрисуставной перелом с гемартрозом ну и соответственная картина, а во втором случае гемартроза нет. Поправьте меня, если я шось неправильно рисанулsmiley

Приложения: 
6.pc090013a.jpg18.pc090020.jpg
Анатолий Владимирович Шумаков's picture
Offline
Last seen: 8 years 1 month ago
Joined: 16.10.2009 - 21:16
Posts: 1941

Только думаю, что субстрат их все - таки гемартроз...

Катенёв Валентин Львович's picture
Offline
Last seen: 7 years 4 months ago
Joined: 22.03.2008 - 22:15
Posts: 54876

Александр Викторович wrote:

Катенёв Валентин Львович wrote:

Хочется услышать мнение коллег по поводу "жировых подушечек". Как они, среагировали или нет?

Вот два Ваших случая Валентин Львович в первом случае внутрисуставной перелом с гемартрозом ну и соответственная картина, а во втором случае гемартроза нет. Поправьте меня, если я шось неправильно рисанулsmiley

Следовательно, "отклонение" жировой ткани в виде образования "жировых подушечек", не свидетельствует, как утверждают многие, прямо, именно, о переломе, а свидетельствуют только о гемартрозе?

Катенёв Валентин Львович's picture
Offline
Last seen: 7 years 4 months ago
Joined: 22.03.2008 - 22:15
Posts: 54876

Анатолий Шумаков wrote:

Только думаю, что субстрат их все - таки гемартроз...

Здравствуйте уважаемый Анатолий Владимирович!

А, вот если, в полости сустава (гемартроз) будет не кровь, а другая жидкость, конечно, в достаточном количестве, получим мы на рентгеновском снимке феномен "жировых подушечек"?

Анатолий Владимирович Шумаков's picture
Offline
Last seen: 8 years 1 month ago
Joined: 16.10.2009 - 21:16
Posts: 1941

Здравствуйте Валентин Львович!

Мое заключение чисто логическое - думаю это уровень гравитационного расслоения крови. Если другая жидкость будет состоять из неоднородных фракций разного веса - будет расслоение... А феномен будет в любом случае жидкости в суставе

Катенёв Валентин Львович's picture
Offline
Last seen: 7 years 4 months ago
Joined: 22.03.2008 - 22:15
Posts: 54876

Анатолий Шумаков wrote:

Здравствуйте Валентин Львович!

Мое заключение чисто логическое - думаю это уровень гравитационного расслоения крови. Если другая жидкость будет состоять из неоднородных фракций разного веса - будет расслоение... А феномен будет в любом случае жидкости в суставе

Спасибо Анатолий Владимирович!

Я просто поинтересовался, именно, Вашим мнением.