You are here

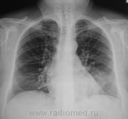
Пациент направлен на рентгенографию ОГК с диагнозом – «левосторонняя пневмония».

Пол пациента: 
Методы исследования: 

Пациент направлен на рентгенографию ОГК с диагнозом – «левосторонняя пневмония».

  • https://radiomed.ru/sites/default/files/styles/case_slider_image/public/user/12/2.pc150014.jpg?itok=tAr2pkK_
  • https://radiomed.ru/sites/default/files/styles/case_slider_image/public/user/12/3.pc150015.jpg?itok=EcTT7alO
  • https://radiomed.ru/sites/default/files/styles/case_slider_image/public/user/12/4.pc150015a.jpg?itok=3iBJFRnR
  • https://radiomed.ru/sites/default/files/styles/case_slider_image/public/user/12/5.pc150015-1.jpg?itok=lnMNMNQM
  • https://radiomed.ru/sites/default/files/styles/case_slider_image/public/user/12/6.pc150015-1ad.jpg?itok=yszE83Fd
  • https://radiomed.ru/sites/default/files/styles/case_slider_image/public/user/12/7.pc150016.jpg?itok=LkadaFhe
  • https://radiomed.ru/sites/default/files/styles/case_slider_image/public/user/12/8.pc150017.jpg?itok=iHI-Prur
  • https://radiomed.ru/sites/default/files/styles/case_slider_image/public/user/12/9.pc150018.jpg?itok=9vQe7BkI
  • https://radiomed.ru/sites/default/files/styles/case_slider_image/public/user/12/10.pc150018a.jpg?itok=pgTvUaIM
  • https://radiomed.ru/sites/default/files/styles/case_slider_image/public/user/12/11.pc150019.jpg?itok=_cWRT4c3
  • https://radiomed.ru/sites/default/files/styles/case_slider_image/public/user/12/12.pc150019a.jpg?itok=DOq7e_7j
ID:10200
Вячеслав's picture
Offline
Last seen: 5 years 11 months ago
Joined: 01.04.2010 - 19:56
Posts: 209

Мне этот кругляк мерещится?

Приложения: 
bezymyannyy.jpg
Катенёв Валентин Львович's picture
Offline
Last seen: 7 years 5 months ago
Joined: 22.03.2008 - 22:15
Posts: 54876

Так еще один кругляк, на прямой рентгенограмме, слева в третьем межреберье визуализируется.