Пол пациента:
Тип патологии:
Область исследования:
Методы исследования:
- https://radiomed.ru/sites/default/files/styles/case_slider_image/public/user/12/22.p1110009.jpg?itok=IY2lkoJn
- https://radiomed.ru/sites/default/files/styles/case_slider_image/public/user/12/23.p1110009a.jpg?itok=V2Yn88JD
- https://radiomed.ru/sites/default/files/styles/case_slider_image/public/user/12/24.p1110009ab.jpg?itok=BepErr8m
- https://radiomed.ru/sites/default/files/styles/case_slider_image/public/user/12/21.p1110010.jpg?itok=XJRnlYEi
- https://radiomed.ru/sites/default/files/styles/case_slider_image/public/user/12/22.p1110010a.jpg?itok=2e0ksZ86
- https://radiomed.ru/sites/default/files/styles/case_slider_image/public/user/12/23.p1110010ab.jpg?itok=ZEP1hIhe
- https://radiomed.ru/sites/default/files/styles/case_slider_image/public/user/12/24.p1110010-1.jpg?itok=QOpAX_JE
- https://radiomed.ru/sites/default/files/styles/case_slider_image/public/user/12/25.p1110010-1v.jpg?itok=6DkFUmIP
- https://radiomed.ru/sites/default/files/styles/case_slider_image/public/user/12/26.p1110011.jpg?itok=E_rmOIEI
- https://radiomed.ru/sites/default/files/styles/case_slider_image/public/user/12/27.p1110011-1.jpg?itok=6O-so8b2
- https://radiomed.ru/sites/default/files/styles/case_slider_image/public/user/12/28.p1110011-1a.jpg?itok=Y73v0Frz
ID:11059
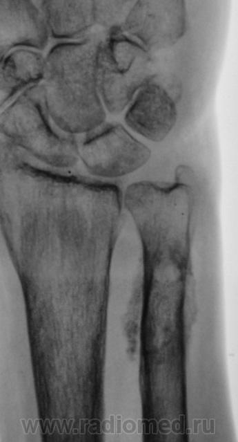
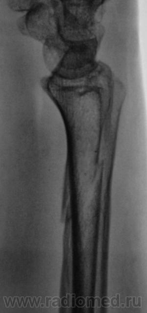
патологический перелом н\3 предплечья. Действительно без боковой проекции просто никуда!
Прийди к Себе
Консолидированный нормальный перелом ))))))))))))))))) Просто гематома обызвествилась.
Хочешь сделать что-то нормально - сделай это сам!
Что за причины быть ему патологическим? нормальный перелом, удовлетворительная консолидация
что имеется полость в проекции диафиза локтевой кости.
Прийди к Себе
"Полость" - это игра теней.
Болезни ног: виды, симптомы, причины, профилактика и лечение
Согласен, что перелом не патологический, скорее "геронтологический".