You are here

Как обычно-внутривенка!

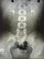
Молодой человек, 21 год.Гематурия, неясные боли в поясничной области.При УЗИ-конкремент в средней группе чашечек слева.

Исследование проводили в другом учреждении в связи с выходом из строя нашего аппарата.Прошу оценить изображения.

Каюсь-забыла 35 минуту сфотографировать, но она точь-в-точь повторяет 20.

 

 

 

  • https://radiomed.ru/sites/default/files/styles/case_slider_image/public/user/5662/7.jpg?itok=_FgYdJ2n
  • https://radiomed.ru/sites/default/files/styles/case_slider_image/public/user/5662/15.jpg?itok=oLLfowKo
  • https://radiomed.ru/sites/default/files/styles/case_slider_image/public/user/5662/20.jpg?itok=36R4oQgt
ID:54966
ЛГ's picture
Offline
Last seen: 9 years 2 months ago
Joined: 06.01.2010 - 12:31
Posts: 3523

А мне кажется, что дефект наполнения в нижней группе чашечек слева, да не суть важно. Отчего тогда гематурия - мне не ясно. Может, мелкий по мочеточнику уже прошел? 

У нас одно время была проблема - ранние внутривенки, пациентов с дневного стационара отпускали, не дождавшись рентгенолога, и отсроченные было не сделать - пациент уже ушел. Сейчас вроде и в урологии, и своих лаборантов приучили не отпускать. Это так, к слову)).

Almo's picture
Offline
Last seen: 20 hours 27 min ago
Joined: 28.09.2008 - 18:50
Posts: 8296

ИМХО: Признаков наличия конкрементов и  ретенции в коллеторных системах почек, а так же патологии со стороны мочеточников и мочевого пузыря,  на момент проведения экскреторной урографии не определяется.

По методическим дефектам: отсутствие подготовки, даже на момент проведения обзорного снимка- масса газов в толстой кишке.

Не понятно, сколько прошло времени между УЗ-исследованием и экскреторной урографией, можно предположить, что в этот временной промежуток, конкремент из левой почки мог выйти за пределы тела пациента.

Helios's picture
Offline
Last seen: 11 months 3 days ago
Joined: 06.08.2010 - 15:16
Posts: 4417

Спасибо за комментарии.

Людмила Григорьевна, Вы( как всегда!)все верно подмечаете и делаете правильные выводы !

Almo-для Вас.Промежуток между УЗИ и экскреторной урографией-3-4 дня.

 

 

Almo's picture
Offline
Last seen: 20 hours 27 min ago
Joined: 28.09.2008 - 18:50
Posts: 8296

Думаю, 3-4 дня немалый срок для того что бы камень "родился".

Helios's picture
Offline
Last seen: 11 months 3 days ago
Joined: 06.08.2010 - 15:16
Posts: 4417

Будем надеяться, что так и случилось.

lupan's picture
Offline
Last seen: 7 years 1 month ago
Joined: 07.01.2010 - 17:17
Posts: 1406

Стойкий дефект наполнения в нижней группе чашечек слева может оказаться и сгустком, а может и опухолью и локальным отеком вследствии воспалительного процесса или отхождения камня. В любом случае необходимо уточнение характера процесса либо субстрата дефекта. Странно, что на это не обратили должного внимания.

Великое преймущество врача заключается в том, что он не обязан следовать собственным советам. ( А. Кристи)

Helios's picture
Offline
Last seen: 11 months 3 days ago
Joined: 06.08.2010 - 15:16
Posts: 4417

Спасибо за комментарий, lupan.Сами понимаете, что, если бы мне все было так предельно ясно, то  не обратилась бы за помощью.

svet's picture
Offline
Last seen: 2 years 1 month ago
Joined: 07.05.2010 - 19:10
Posts: 201

в почках конкрементов не вижу а вот левый мочеточник не контрастируется

Helios's picture
Offline
Last seen: 11 months 3 days ago
Joined: 06.08.2010 - 15:16
Posts: 4417

svet wrote:
в почках конкрементов не вижу а вот левый мочеточник не контрастируется
Коллега svet,Вы тоже это заметили?И мне  так показалось, но пока Вы первый человек, кто на это обратил внимание.

Интересно бы услышать или увидеть мнение остальных уважаемых коллег.

svet's picture
Offline
Last seen: 2 years 1 month ago
Joined: 07.05.2010 - 19:10
Posts: 201

мне кажется тут было бы хорошо сразу вместе с узи-стом просмотреть участок.

Игорь Иванович's picture
Offline
Last seen: 4 years 4 weeks ago
Joined: 23.01.2010 - 14:56
Posts: 3695

Helios wrote:

svet wrote:
в почках конкрементов не вижу а вот левый мочеточник не контрастируется
Коллега svet,Вы тоже это заметили?И мне  так показалось, но пока Вы первый человек, кто на это обратил внимание.

Интересно бы услышать или увидеть мнение остальных уважаемых коллег.

Значит попали в спастическую фазу. Если бы была преграда - была бы гидронефротическая трансформация ЧЛС.

Helios's picture
Offline
Last seen: 11 months 3 days ago
Joined: 06.08.2010 - 15:16
Posts: 4417

А если  гидронефротическая трансформация  не успела развиться?

Катенёв Валентин Львович's picture
Offline
Last seen: 7 years 4 months ago
Joined: 22.03.2008 - 22:15
Posts: 54876

Helios wrote:

А если  гидронефротическая трансформация  не успела развиться?

И, какой-же вердикт автора случая?

Helios's picture
Offline
Last seen: 11 months 3 days ago
Joined: 06.08.2010 - 15:16
Posts: 4417

Валентин Львович, вердикт за меня уже выдан-норма.Даже не знаю, что и думать-столько мнений, только Вашего не услышала!

Катенёв Валентин Львович's picture
Offline
Last seen: 7 years 4 months ago
Joined: 22.03.2008 - 22:15
Posts: 54876

Helios wrote:
Валентин Львович, вердикт за меня уже выдан-норма.Даже не знаю, что и думать-столько мнений, только Вашего не услышала!

Хорошее заключение - "норма"...

svet's picture
Offline
Last seen: 2 years 1 month ago
Joined: 07.05.2010 - 19:10
Posts: 201

[Значит попали в спастическую фазу. Если бы была преграда - была бы гидронефротическая трансформация ЧЛС.

[/quote]

А я и не утверждаю что в мочеточнике если он не законтрастировался то там 100% преграда. Просто в этом случае Узисту на размышление более тщательно просмотреть этот участок

Almo's picture
Offline
Last seen: 20 hours 27 min ago
Joined: 28.09.2008 - 18:50
Posts: 8296

Дело в том, что на УЗИ не очень хорошо видны мочеточники( предел возможностей метода) особенно в средней его трети.

svet's picture
Offline
Last seen: 2 years 1 month ago
Joined: 07.05.2010 - 19:10
Posts: 201

согласна. у нас так же не могли найти камень т.к. узи делали у не подготовленного больного. на в\в подозрение на блок в средней трети .сразу после в\в пошли с урологом и со снимками на узи .узист сориентировался и нашел.камень был ро-негативным. Думаю что на контрольной узи шансов  пропустить меньше. Ну и если урологу будет нужно сделают ретроградную.

А ещё тогда один вопрос специалистам узи-стам;видела новые модели узи работающие в 3д формате их возможности в данной патологии (я имею ввиду камень в мочеточнике) высоки? или их применяют только в акушерстве-гинекологии? И насчет контрастов для УЗИ -исследований,их стали применять в России? 

Катенёв Валентин Львович's picture
Offline
Last seen: 7 years 4 months ago
Joined: 22.03.2008 - 22:15
Posts: 54876

По обзорной рентгенограмме почек и мочевыводящих путей, вроде придраться не к чему.

На следующем снимке, справа, и чашечно-лоханочная система, и правый мочеточник, на мой взгляд, без особого криминала.

Приложения: 
1.obz_.obzor_.jpg2.obz_.obzora.jpg1.sprava7.jpg2.sprava.7b.jpg3.sprava.7-1.jpg4.sprava.7-1a.jpg5.sprava.7-1ab.jpg
Катенёв Валентин Львович's picture
Offline
Last seen: 7 years 4 months ago
Joined: 22.03.2008 - 22:15
Posts: 54876

Но, вот слева? По всей видимости, необходимо согласиться с коллегой lupan, по поводу «недостаточно тугого» контрастирования нижней группы чашечек. Что это конкременты? По всей видмости, с большей степенью вероятности можно допустить наличие чего-то «мягкотканого» - сгустки, воспалительный процесс, возможно, и стелюшийся опухолевый рост. Но, в данном конкретном случае, по всей видимости, мы натыкаемся на естественные пределы – возможности внутривенной урографии.

Приложения: 
11.ur_.15.jpg12.ur_.15a.jpg13.ur_.15b.jpg14.ur_.15b1.jpg15.ur_.15b1a.jpg
Катенёв Валентин Львович's picture
Offline
Last seen: 7 years 4 months ago
Joined: 22.03.2008 - 22:15
Posts: 54876

На мой взгляд, препятствие в мочеточнике есть, и складывается впечатление, что оно, хоть и мало, но обтекаемо.

Приложения: 
1.sled_..jpg2.sled_..jpg
Катенёв Валентин Львович's picture
Offline
Last seen: 7 years 4 months ago
Joined: 22.03.2008 - 22:15
Posts: 54876

Субстрат препятствия в левом мочеточнике, в данном конкретном случае, тоже за границами-пределами внутривенной урографии, может быть и камешек, может быть и сгусток, может быть всякое. Была надежда на УЗИ, но УЗИ надежд не оправдало…

Приложения: 
1.nad_.20.jpg2.nad_.20a.jpg3.nad_.201.jpg4.nad_.201a.jpg5.nad_.201ab.jpg
Helios's picture
Offline
Last seen: 11 months 3 days ago
Joined: 06.08.2010 - 15:16
Posts: 4417

Валентин Львович, я тоже "грешу" на кровяной сгусток.

Катенёв Валентин Львович's picture
Offline
Last seen: 7 years 4 months ago
Joined: 22.03.2008 - 22:15
Posts: 54876

Значит мысли сходятся...