You are here

Девочка, 12 лет

Пол пациента: 
Тип патологии: 
Область исследования: 
Методы исследования: 

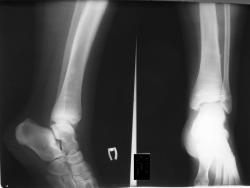
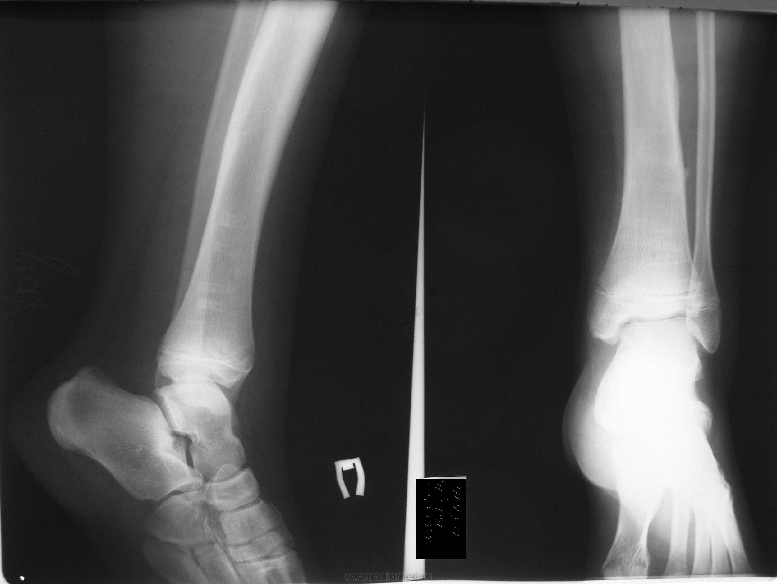
Девочка, 12 лет предъявляет жалобы на боли в правом голеностопном суставе при нагрузке. Два года назад был перелом нижней трети большеберцовой кости с фиксацией винтами. Ваше мнение?

ID:11293
Ola-la's picture
Offline
Last seen: 11 months 2 weeks ago
Joined: 06.12.2008 - 09:33
Posts: 1786

 А вам что не нравится? Вроде ничего плохого не видно, только эквинус стопы не нравится, или это такая укладка?

Zimyshka's picture
Offline
Last seen: 8 years 8 months ago
Joined: 13.11.2009 - 18:26
Posts: 53

это такая укладка. не нравится внутрений контур большеберцовой кости, или это такие последствия от винтов?

Ola-la's picture
Offline
Last seen: 11 months 2 weeks ago
Joined: 06.12.2008 - 09:33
Posts: 1786

Наверное, наружный контур? Я думаю, это от винтов.

Леонид's picture
Offline
Last seen: 9 years 1 month ago
Joined: 13.01.2011 - 19:33
Posts: 445

Кажется остеоид-остеома в пяточной кости

Zimyshka's picture
Offline
Last seen: 8 years 8 months ago
Joined: 13.11.2009 - 18:26
Posts: 53

Будьте любезны, укажите где вы это видете?

Zimyshka's picture
Offline
Last seen: 8 years 8 months ago
Joined: 13.11.2009 - 18:26
Posts: 53

Ola-la wrote:

Наверное, наружный контур? Я думаю, это от винтов.

правильно, наружный.

Леонид's picture
Offline
Last seen: 9 years 1 month ago
Joined: 13.01.2011 - 19:33
Posts: 445

Zimyshka wrote:

Будьте любезны, укажите где вы это видете?

В глубине кости просветление между шейкой и телом. Картинку с указателем транслировать не удалось

svet's picture
Offline
Last seen: 1 year 11 months ago
Joined: 07.05.2010 - 19:10
Posts: 201

в костях патологии не вижу (помимо того чего было) может стопу с нагрузкой на плоскостопие сделать если есть предпосылки (я имею в виду после консультации с ортопедом или травматологом).