You are here

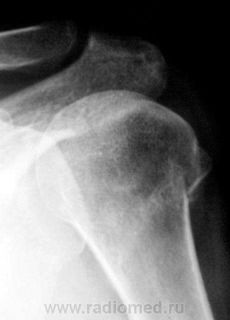
Есть перелом, или нет перелома?

Пол пациента: 
Тип патологии: 
Область исследования: 
Методы исследования: 

Есть перелом, или нет перелома?

  • https://radiomed.ru/sites/default/files/styles/case_slider_image/public/user/12/2.p1270031a.jpg?itok=t4Bgqs-9
  • https://radiomed.ru/sites/default/files/styles/case_slider_image/public/user/12/3.p1270033.jpg?itok=8xND7w7P
  • https://radiomed.ru/sites/default/files/styles/case_slider_image/public/user/12/4.p1270032ab.jpg?itok=rw8zWyDv
  • https://radiomed.ru/sites/default/files/styles/case_slider_image/public/user/12/5.p1270033a.jpg?itok=ujFP7EJQ
  • https://radiomed.ru/sites/default/files/styles/case_slider_image/public/user/12/6.p1270033ab.jpg?itok=Y4wvz3YQ
ID:11592
Игорь Иванович's picture
Offline
Last seen: 4 years 3 months ago
Joined: 23.01.2010 - 14:56
Posts: 3695

Есть, возм. патологический.

Vega's picture
Offline
Last seen: 5 months 2 weeks ago
Joined: 22.01.2009 - 19:16
Posts: 1087

Есть.

Александр Викторович's picture
Offline
Last seen: 8 years 5 months ago
Joined: 31.07.2010 - 13:05
Posts: 639

перелом шейки, не обязательно патологический.

iozefi's picture
Offline
Last seen: 11 years 8 months ago
Joined: 25.08.2010 - 09:54
Posts: 170

есть метастаз рака почки, либо меланомы, это к патологическому перелому.

с уважением. Иозефи Д.

Vega's picture
Offline
Last seen: 5 months 2 weeks ago
Joined: 22.01.2009 - 19:16
Posts: 1087

Честно говоря, явно "патологического" характера перелома не вижу. Коллеги, поделитесь, пожалуйста, аргументами - откуда такая уверенность в онкологии? 

brother's picture
Offline
Last seen: 13 years 11 months ago
Joined: 26.09.2010 - 12:36
Posts: 16

оскольчатый внутрисуставной перелом проксимального эпиметафиза левой плечевой кости, с фрагментацией большого бугорка, либо изолированный внутрисуставной перелом большого бугорка. так  же интересно было бы узнать аргументы за патологический перелом

bro

lupan's picture
Offline
Last seen: 7 years 3 months ago
Joined: 07.01.2010 - 17:17
Posts: 1406

Вколоченный перелом х/шейки плечевой кости. Возможно, не свежий.

Великое преймущество врача заключается в том, что он не обязан следовать собственным советам. ( А. Кристи)

Игорь Иванович's picture
Offline
Last seen: 4 years 3 months ago
Joined: 23.01.2010 - 14:56
Posts: 3695

Vega wrote:

Честно говоря, явно "патологического" характера перелома не вижу. Коллеги, поделитесь, пожалуйста, аргументами - откуда такая уверенность в онкологии? 

Но мы не знаем и анамнеза. По крайней мере если не деструкция, то остеопороз есть. Возможно не свежая травма, что отметил lupan?

Катенёв Валентин Львович's picture
Offline
Last seen: 7 years 6 months ago
Joined: 22.03.2008 - 22:15
Posts: 54876

Травма 2 суток тому.

lupan's picture
Offline
Last seen: 7 years 3 months ago
Joined: 07.01.2010 - 17:17
Posts: 1406

Вот эта штука уж очень похожа на молодую костную мозоль.

Приложения: 
4.p1270032ab1.jpg

Великое преймущество врача заключается в том, что он не обязан следовать собственным советам. ( А. Кристи)

Фаина's picture
Offline
Last seen: 3 years 4 months ago
Joined: 14.12.2008 - 16:51
Posts: 323

lupan wrote:
Вот эта штука уж очень похожа на молодую костную мозоль.

Мне кажется, что это не мозоль, а "смятая" костная ткань за счет вколочения 

Катенёв Валентин Львович's picture
Offline
Last seen: 7 years 6 months ago
Joined: 22.03.2008 - 22:15
Posts: 54876

Фаина wrote:

lupan wrote:
Вот эта штука уж очень похожа на молодую костную мозоль.

Мне кажется, что это не мозоль, а "смятая" костная ткань за счет вколочения 

Мы, тоже склонились к вколоченному (сколоченному) перелому.

iozefi's picture
Offline
Last seen: 11 years 8 months ago
Joined: 25.08.2010 - 09:54
Posts: 170

Валентин Львович, сколько ему лет?

с уважением. Иозефи Д.

Катенёв Валентин Львович's picture
Offline
Last seen: 7 years 6 months ago
Joined: 22.03.2008 - 22:15
Posts: 54876

18 лет.

iozefi's picture
Offline
Last seen: 11 years 8 months ago
Joined: 25.08.2010 - 09:54
Posts: 170

Всё равно мне не очень понятно, что в костно-мозговом канале от в/тр диафиза до головки, не маленькая зона нарушения трофики, это и смутило. Моя ошибка, что возраст не узнал. А метастаз будет выглядеть аналогично. Травма не смущает, у 90% патологических переломов травма в анамнезе. Много таких было, очень много, поэтому и смущает всё и всегда.

с уважением. Иозефи Д.