- https://radiomed.ru/sites/default/files/styles/case_slider_image/public/user/2841/7-min-11.02.2011g.jpg?itok=7XLpogpU
- https://radiomed.ru/sites/default/files/styles/case_slider_image/public/user/2841/15-min-11.02.2011g.jpg?itok=DPJRc9yD
- https://radiomed.ru/sites/default/files/styles/case_slider_image/public/user/2841/30-min-11.02.2011g.jpg?itok=l6dR9mS1
- https://radiomed.ru/sites/default/files/styles/case_slider_image/public/user/2841/60-min-11.02.2011g.jpg?itok=hERY3dUU
- https://radiomed.ru/sites/default/files/styles/case_slider_image/public/user/2841/120-min-11.02.2011g.jpg?itok=LTzQZkVP
- https://radiomed.ru/sites/default/files/styles/case_slider_image/public/user/2841/pr0001.jpg?itok=3njug_Mu
- https://radiomed.ru/sites/default/files/styles/case_slider_image/public/user/2841/pr0002.jpg?itok=StxRypBk
- https://radiomed.ru/sites/default/files/styles/case_slider_image/public/user/2841/pr0003.jpg?itok=FKudptyr
ID:55238
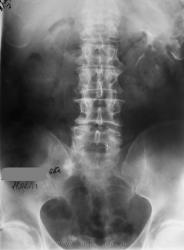
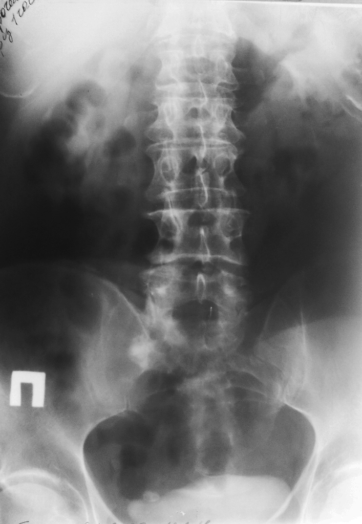
А Вы сделайте последний снимок через 12-24 часа от момента начала исследования...да с небольшим поворотом (левый бок чуть приподнять), вот тогда и посмотрим, то ли это тот "ежик" на уровне нижнего края S1 или та тень, что в малом тазу....то что камень в мочеточнике сомнений нет...но на что идти урологу...вот в чем вопрос.
Болезни ног: виды, симптомы, причины, профилактика и лечение
Мне кажется, неоднородный камень или группа камней находится в устье правого мочеточника. Осталось неясным почему "оно" померкло на последнем снимке. Но Людмила Григорьевна умеет создать проблему на ровном месте, сама того не желая)). А в крестце вижу только очаг остеосклероза.
Неоднозначно всё
Спасибо за комментарии!
Виктор Григорьевич, проблема в том, что не факт, что через 12-24 часа поймаем контрастирование дистальной трети мочеточника. А КТ в нашем же отделении. Так что не стала выдумывать велосипед. Пациент получил диск, поедет в Тверь дробить руду
Петрович, Вы правы, но уже обжегшись, дую на кости - а вдруг там каменюка, а я за костные дела принимаю...
https://www.youtube.com/channel/UCBGxoBUOqUT_bFhSeUgtWEw
Вы меня и порадовали...и расстроили....и я хочу такую игрушку

Болезни ног: виды, симптомы, причины, профилактика и лечение
Петрович - пять баллов, снимаю шляпу!!!!!
Болезни ног: виды, симптомы, причины, профилактика и лечение
Видео загрузилось
https://www.youtube.com/channel/UCBGxoBUOqUT_bFhSeUgtWEw
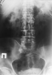
Я бы еще разобралась с очагом остеосклероза в крестце поподробнее, выглядит подозрительно, учитывая возраст пациента
УЗИ простаты сделана - хр.простатит. Завтра постараюсь выложить картинки крестца в костном окне.
https://www.youtube.com/channel/UCBGxoBUOqUT_bFhSeUgtWEw
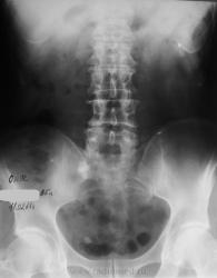
Обещанное.
https://www.youtube.com/channel/UCBGxoBUOqUT_bFhSeUgtWEw