You are here

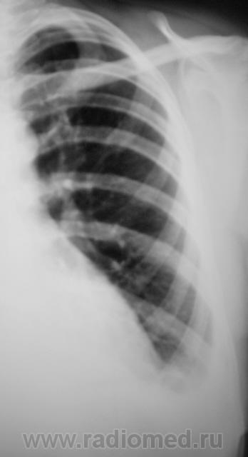
Пациент направлен на рентгенографию ОГК с диагнозом "пневмония".

Пол пациента: 
Методы исследования: 

Пациент направлен на рентгенографию ОГК с диагнозом "пневмония".

  • https://radiomed.ru/sites/default/files/styles/case_slider_image/public/user/12/2.p2070037a.jpg?itok=l-PhCGlu
  • https://radiomed.ru/sites/default/files/styles/case_slider_image/public/user/12/3.p2070038a.jpg?itok=_qouCAAC
  • https://radiomed.ru/sites/default/files/styles/case_slider_image/public/user/12/4.p2070039.jpg?itok=C_GzQCFe
  • https://radiomed.ru/sites/default/files/styles/case_slider_image/public/user/12/6.p2070040.jpg?itok=VUVbKo4p
  • https://radiomed.ru/sites/default/files/styles/case_slider_image/public/user/12/7.p2070040a.jpg?itok=hJQW1te0
  • https://radiomed.ru/sites/default/files/styles/case_slider_image/public/user/12/8.p2070041.jpg?itok=EGsZvBVX
ID:12018
Глазков Игорь Артурович's picture
Offline
Last seen: 10 months 3 weeks ago
Joined: 19.12.2008 - 20:41
Posts: 1597

на плевральный выпот в левом заднем синусе.

Прийди к Себе

Фаина's picture
Offline
Last seen: 3 years 1 week ago
Joined: 14.12.2008 - 16:51
Posts: 323

да, похоже на левосторонний экссудативный плеврит. Причина?