You are here

КТ. Мужчина 33 лет. Поступал с подозрением на инсульт.

 

Болен в течение 3-х месяцев, постепенно нарастала клиника; лечился 2 недели у невролога амбулаторно с вялым гемипарезом. Привезен по "скорой помощи" с диагнозом при поступлении: ишемический инсульт в бассейне левой СМА. Предполагаю глиобластому. Прошу высказать коллег свое мнение!

 

 

Отсроченная фаза:

  • https://radiomed.ru/sites/default/files/styles/case_slider_image/public/user/7926/gb_bez_kontrasta_2.jpg?itok=UVfzw0cF
  • https://radiomed.ru/sites/default/files/styles/case_slider_image/public/user/7926/gb_bez_kontrasta_3.jpg?itok=UP5LO7gU
  • https://radiomed.ru/sites/default/files/styles/case_slider_image/public/user/7926/gb_bez_kontrasta_4.jpg?itok=cjl4VO-g
  • https://radiomed.ru/sites/default/files/styles/case_slider_image/public/user/7926/gb_bez_kontrasta_5.jpg?itok=2BnZqW1r
  • https://radiomed.ru/sites/default/files/styles/case_slider_image/public/user/7926/gb_bez_kontrasta_6.jpg?itok=CvNXpNSH
  • https://radiomed.ru/sites/default/files/styles/case_slider_image/public/user/7926/gb_bez_kontrasta_7.jpg?itok=gx22FPXC
  • https://radiomed.ru/sites/default/files/styles/case_slider_image/public/user/7926/gb_bez_kontrasta_8.jpg?itok=DTfVG7_u
  • https://radiomed.ru/sites/default/files/styles/case_slider_image/public/user/7926/gb_bez_kontrasta_9.jpg?itok=l6igBB9H
  • https://radiomed.ru/sites/default/files/styles/case_slider_image/public/user/7926/gb_bez_kontrasta_10.jpg?itok=jqnGZED5
  • https://radiomed.ru/sites/default/files/styles/case_slider_image/public/user/7926/gb_bez_kontrasta_11.jpg?itok=hFTSzhez
  • https://radiomed.ru/sites/default/files/styles/case_slider_image/public/user/7926/gb_bez_kontrasta_12.jpg?itok=isnfWjNo
  • https://radiomed.ru/sites/default/files/styles/case_slider_image/public/user/7926/gb_bez_kontrasta_13.jpg?itok=K6ZBqC-n
  • https://radiomed.ru/sites/default/files/styles/case_slider_image/public/user/7926/gb_bez_kontrasta_14.jpg?itok=hqi-aJ2q
  • https://radiomed.ru/sites/default/files/styles/case_slider_image/public/user/7926/gb_bez_kontrasta_15.jpg?itok=og0zW0fN
  • https://radiomed.ru/sites/default/files/styles/case_slider_image/public/user/7926/gb_bez_kontrasta_16.jpg?itok=GaQJPPrH
  • https://radiomed.ru/sites/default/files/styles/case_slider_image/public/user/7926/gb_bez_kontrasta_17.jpg?itok=Etr-fv2k
  • https://radiomed.ru/sites/default/files/styles/case_slider_image/public/user/7926/gb_bez_kontrasta_18.jpg?itok=fbSwblal
  • https://radiomed.ru/sites/default/files/styles/case_slider_image/public/user/7926/gb_bez_kontrasta_19.jpg?itok=8ACCu4ID
  • https://radiomed.ru/sites/default/files/styles/case_slider_image/public/user/7926/gb_bez_kontrasta_20.jpg?itok=Qn5qsRC6
  • https://radiomed.ru/sites/default/files/styles/case_slider_image/public/user/7926/gb_bez_kontrasta_21.jpg?itok=z86h3Q8Z
  • https://radiomed.ru/sites/default/files/styles/case_slider_image/public/user/7926/gb_bez_kontrasta_22.jpg?itok=q9JmXh0K
  • https://radiomed.ru/sites/default/files/styles/case_slider_image/public/user/7926/gb_bez_kontrasta_23.jpg?itok=y3fQZrt4
  • https://radiomed.ru/sites/default/files/styles/case_slider_image/public/user/7926/gb_bez_kontrasta.jpg?itok=0aFhjD3Z
  • https://radiomed.ru/sites/default/files/styles/case_slider_image/public/user/7926/gb_120_sek.jpg?itok=fGIfRp_b
  • https://radiomed.ru/sites/default/files/styles/case_slider_image/public/user/7926/gb_120_sek_1.jpg?itok=hNzG6aEb
  • https://radiomed.ru/sites/default/files/styles/case_slider_image/public/user/7926/gb_120_sek_2.jpg?itok=lV-Slpy3
  • https://radiomed.ru/sites/default/files/styles/case_slider_image/public/user/7926/gb_120_sek_4.jpg?itok=c3JXsg7O
  • https://radiomed.ru/sites/default/files/styles/case_slider_image/public/user/7926/gb_120_sek_6.jpg?itok=urwuGonY
  • https://radiomed.ru/sites/default/files/styles/case_slider_image/public/user/7926/gb_120_sek_8.jpg?itok=2-WLGt7C
  • https://radiomed.ru/sites/default/files/styles/case_slider_image/public/user/7926/gb_120_sek_10.jpg?itok=ctNmxxr-
  • https://radiomed.ru/sites/default/files/styles/case_slider_image/public/user/7926/gb_120_sek_11.jpg?itok=u-mHwF1F
  • https://radiomed.ru/sites/default/files/styles/case_slider_image/public/user/7926/gb_120_sek_12.jpg?itok=glZGYsHe
  • https://radiomed.ru/sites/default/files/styles/case_slider_image/public/user/7926/gb_120_sek_13.jpg?itok=OF2Mv4yZ
  • https://radiomed.ru/sites/default/files/styles/case_slider_image/public/user/7926/gb_120_sek_16.jpg?itok=w9GZKfrQ
  • https://radiomed.ru/sites/default/files/styles/case_slider_image/public/user/7926/gb_120_sek_17.jpg?itok=iE6tpEt8
  • https://radiomed.ru/sites/default/files/styles/case_slider_image/public/user/7926/gb_120_sek_18.jpg?itok=SnC6p8dX
  • https://radiomed.ru/sites/default/files/styles/case_slider_image/public/user/7926/gb_120_sek_19.jpg?itok=GTjOuCjI
  • https://radiomed.ru/sites/default/files/styles/case_slider_image/public/user/7926/gb_120_sek_20.jpg?itok=grJMg0Ya
  • https://radiomed.ru/sites/default/files/styles/case_slider_image/public/user/7926/gb_120_sek_21.jpg?itok=smeBINj5
  • https://radiomed.ru/sites/default/files/styles/case_slider_image/public/user/7926/gb_120_sek_22.jpg?itok=Q6msPWQ7
  • https://radiomed.ru/sites/default/files/styles/case_slider_image/public/user/7926/gb_120_sek_23.jpg?itok=nh4_HYPQ
  • https://radiomed.ru/sites/default/files/styles/case_slider_image/public/user/7926/gb_120_sek_24.jpg?itok=-i-xFU9u
  • https://radiomed.ru/sites/default/files/styles/case_slider_image/public/user/7926/gb_120_sek_25.jpg?itok=ox2V3DtV
  • https://radiomed.ru/sites/default/files/styles/case_slider_image/public/user/7926/gb_120_sek_26.jpg?itok=y_xlbHMU
  • https://radiomed.ru/sites/default/files/styles/case_slider_image/public/user/7926/gb_120_sek_27.jpg?itok=8OP_5WP5
  • https://radiomed.ru/sites/default/files/styles/case_slider_image/public/user/7926/gb_120_sek_28.jpg?itok=m9bX8zZn
  • https://radiomed.ru/sites/default/files/styles/case_slider_image/public/user/7926/gb_120_sek_29.jpg?itok=Ova3Ebkg
  • https://radiomed.ru/sites/default/files/styles/case_slider_image/public/user/7926/gb_120_sek_30.jpg?itok=d3QpXRx1
ID:54432
gar70's picture
Offline
Last seen: 10 years 1 week ago
Joined: 16.02.2011 - 21:49
Posts: 43

Согласен с Вами на счет глиобластомы,однако нельзя забывать и о возможности солитарного МТС.Абсцесс можно исключить,учитывая тот факт,что околоносовые пазухи воздушны.

Nela's picture
Offline
Last seen: 6 years 5 months ago
Joined: 12.05.2009 - 20:43
Posts: 1847

На метастаз очень похоже. Да и болеет всего 3 месяца.

Popovpavel's picture
Offline
Last seen: 7 years 7 months ago
Joined: 08.06.2009 - 00:23
Posts: 649

gar70 wrote:
Согласен с Вами на счет глиобластомы,однако нельзя забывать и о возможности солитарного МТС.Абсцесс можно исключить,учитывая тот факт,что околоносовые пазухи воздушны.

А что, абсцесс мозга имеет исключительно риногенное происхождение?

Я бы сказал, что это образование как раз больше похоже на абсцесс, чем на опухоль.

Любовь С.'s picture
Offline
Last seen: 9 years 10 months ago
Joined: 23.12.2010 - 01:58
Posts: 2324

Спасибо за Ваши мнения. Пациент не температурил, кровь спокойная. Завтра посмотрю рентгенографию легких. Павел, Неля, Вы и МРТ владеете, подскажите, насколько будет информативна МР-томография? 

"Предоставляя весь смысл и совершенство в распоряжение одного только Бога, вы избавляете себя от бездны хлопот." Джон Уитборн.

Nela's picture
Offline
Last seen: 6 years 5 months ago
Joined: 12.05.2009 - 20:43
Posts: 1847

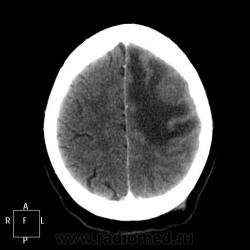
Я в МРТ новичок. Так что мое мнение можно и не учитывать. Но теоритечески знаю, что если сделать DWI и карту диффузии, то абсцесс от опухоли можно отличить. Может Евгений нам что-то подскажет? На абсцесс конечно похоже: тонкие, ровные стенки, но на одной из них какое-то утолщение - мягкотканный компонент, как мне кажется.

Любовь С.'s picture
Offline
Last seen: 9 years 10 months ago
Joined: 23.12.2010 - 01:58
Posts: 2324

пожалуйста, возможности дифференцировки абсцесса и опухоли на МРТ.

Там два узелка, копящие контраст. Именно поэтому остановилась на глиобластоме. Клиника противоречит классической картине абсцесса. Взяла у жены пациента телефон, надеюсь, что дальнейшую судьбу удастся проследить.

Приложения: 
gb_120_sek_119.jpggb_120_sek_122.jpg

"Предоставляя весь смысл и совершенство в распоряжение одного только Бога, вы избавляете себя от бездны хлопот." Джон Уитборн.

Nela's picture
Offline
Last seen: 6 years 5 months ago
Joined: 12.05.2009 - 20:43
Posts: 1847

Если законтрастировать на МРТ могут еще мелкие метастазы "вылезти". А в принципе здесь все равно надо оперировать хоть опухоль, хоть единичный метастаз, хоть абсцесс. А у вас нет нейрохирургии, как я поняла. Будут новости, сообщите, пожалуйста.

Любовь С.'s picture
Offline
Last seen: 9 years 10 months ago
Joined: 23.12.2010 - 01:58
Posts: 2324

Нейрохирургия есть, на травму. Опухоли не оперируют. Тут и невролог, и нейрохирург сошлись, что клинических признаков за абсцесс нет (хотя, кто знает?). Пациента отправляют в нейрохирургию выше по инстанции. Надеюсь, что не потеряется.

"Предоставляя весь смысл и совершенство в распоряжение одного только Бога, вы избавляете себя от бездны хлопот." Джон Уитборн.

Любовь С.'s picture
Offline
Last seen: 9 years 10 months ago
Joined: 23.12.2010 - 01:58
Posts: 2324

Забыла про этот случай, а тут нейрохирург напомнил. С моим заключением "глиобластома", пациент был направлен в онкоцентр, где выполнена МРТ с заключением "объёмное образование головного мозга"... 

Интересное в другом: пациенту через какое-то время сделан анализ крови на ВИЧ, который оказался положительным. Были пересмотрены все данные и назначено пробное лечение против токсоплазмоза, которое дало выраженную положительную клиническую динамику. Не оперировался. На контроль пациент ко мне не поступал, всё со слов нейрохирурга, но история показалась очень интересной).

"Предоставляя весь смысл и совершенство в распоряжение одного только Бога, вы избавляете себя от бездны хлопот." Джон Уитборн.

Катенёв Валентин Львович's picture
Offline
Last seen: 7 years 5 months ago
Joined: 22.03.2008 - 22:15
Posts: 54876

Любовь С. wrote:

Интересное в другом: пациенту через какое-то время сделан анализ крови на ВИЧ, который оказался положительным. Были пересмотрены все данные и назначено пробное лечение против токсоплазмоза, которое дало выраженную положительную клиническую динамику. Не оперировался. 

И, какое Ваше мнение сейчас по поводу предполагаемой патологии?

Любовь С.'s picture
Offline
Last seen: 9 years 10 months ago
Joined: 23.12.2010 - 01:58
Posts: 2324

Думаю, что тогда вполне могла и ошибиться. Пациента и контроля не видела, но если самочувствие лучше на фоне специфической терапии, то волей-неволей признаешь возможность токсоплазмоза.

"Предоставляя весь смысл и совершенство в распоряжение одного только Бога, вы избавляете себя от бездны хлопот." Джон Уитборн.

koriatus's picture
Offline
Last seen: 3 years 5 months ago
Joined: 14.06.2010 - 01:49
Posts: 452

Молодой мужчина. Неправльной формы с неровынми контурами тонкостенное образование. Очень важный признак - небольшой узелок пристеночно. Все эти признаки могут навести на мысль что тут возможен ВИЧ и токсоплазмоз. Пробное лечение - если возникают характерные кровоизлияния в полости - показатель того что это именно токсоплазмоз (положительная динамика от лечения).