КСС. Эностоз. +

Эностоз.

Катенёв Валентин Львович's picture
Offline
Last seen: 7 years 5 months ago
Joined: 22.03.2008 - 22:15
Posts: 54876

Эностоз.  Bone island

http://emedicine.medscape.com/article/387758-overview

http://radiopaedia.org/articles/enostosis

http://www.orthopaedicsone.com/display/Images/Bone+Island+Radiographs

http://www.sarcomaimages.com/index.php?v=Bone-Island

http://radiopaedia.org/images/25066

http://rad.desk.nl/en/4bc9b15f76a78

http://www.orthopaedicsone.com/pages/viewpage.action?pageId=19071118

http://radiopaedia.org/images/551247

http://radiopaedia.org/images/551250

Случаи и цифры

  •  
    Дело 1
  • Остров костей Inci ...
     
    Случай 2
  • Остров костей
     
    Случай 3
  •  
    Случай 4
  •  
    Случай 5
  •  
    Случай 6
  •  
     Случай 7: МРТ
  •  
    Случай 8: в дальнем радиусе

Дифференциальная диагностика изображения

  •  
    Остеоидная остеома
Катенёв Валентин Львович's picture
Offline
Last seen: 7 years 5 months ago
Joined: 22.03.2008 - 22:15
Posts: 54876

 ENOSTOSIS. ISLOTE ÓSEO (Bone Island) (Enostosis. Îlot Osseux de la Vertèbre)

 
Una ENOSTOSIS o islote óseo es una neoformacion ósea benigna que se produce en el hueso esponjoso de los cuerpos vertebrales, la pelvis, las costillas o las metáfisis de los huesos largos de las personas mayores. Su nombre, que significa "hueso dentro del propio hueso" es un neologismo derivado de varias palabras griegas: (prefijo en: dentro de, osteon: hueso y sufijo isis: acción de formar). Es un hallazgo frecuente que se suele descubrir, de manera fortuita, en cualquiera de las modalidades de diagnostico por imagen actuales como la radiologia convencional, la TC o la TRM. Tiene unas características morfológicas muy definidas que la hacen inconfundible: localización en el hueso esponjoso, contornos nítidos, muy compacta y poco agresiva. Por eso no debe plantear dudas con una neoplasia ósea maligna o una metástasis.

Sin embargo, el incremento exponencial en el numero de exploraciones de TC y MRI que se ha producido en los últimos años, ha sido la causa de que los hallazgos también hayan aumentado y con ellos las dudas diagnósticas. No está justificado realizar más exploraciones, cuando se descubre una enostosis. Y hay que tener cuidado al emitir un juicio diagnóstico: "no hay que enfermar a los que están sanos". Desgraciadamente no siempre nos creen y es habitual que una enostosis, descubierta en una exploración de TRM de columna, se explore con TC y hasta con Tomografía por Emisión de Positrones (TEP, PET). A continuación se muestran algunos casos de enostosis.
 
Enostosis.png
 
(A enostosis is a benign  compact bone neoformation within cancellous bone. It is a common finding which is usually discovered, by chance, in any of the diagnostic imaging modalities, as conventional radiology, CT scan or MRI. It is a benign bone neoformation well known, with defined morphological characteristics. So do not be confused with a malignant bone tumor or a metastasis. The exponential increase in the number of CT scans and MRI that has occurred in recent years has been the cause of the findings have also increased and with them the diagnostic doubts. No further exploration is justified to perform, when we finds a enostosis).



 

Enos+1.png

FIGURA 1) Imagen FSE-T1. Lesión hipointensa, redondeada, de contornos bien delimitados, situada en el cuerpo vertebral L1. Enostosis
(A weigthed FSE-T1 MRI of lumbar spine. Hypointense lesion, rounded, with well-defined contours, located in the vertebral body of L1 Enostosis).
 

Enos+2.png

 FIGURA 2) La misma imagen FSE-T2. No se ha producido variación alguna con respecto a la potenciación en T1.
(The same image FSE-T2.There has been no change in the appearance of the lesion)

Enos+4.png
 
FIGURA 3) En esta imagen de TC lumbar con resconstrución multiplanar, MPR, la lesión aparece como una formación ósea densa. Parece una lesión benigna: bien delimitada, poco agresiva y compacta.
(In this lumbar CT imaging with multiplanar reconstruction, MPR, the lesion appears as a dense bone formation. It seems a benign lesion: well defined, not very aggressive and compact).

Enos+3.png

FIGURA 4) Vista de la lesión en proyección axial. Contorno nítido ligeramente espiculado. Diagnóstico: Enostosis.
(View of the lesion in axial projection. Well outlined: Diagnosis: Enostosis).
 

enos+12.png

 
FIGURA1) Hallazgo fortuito de un islote óseo (enostosis) hipointenso, en el cuerpo vertebral L5. 
(Incidental finding of a bone island (enostosis), hypointense, in the vertebral body of L5).

Enos+11.png

FIGURA 2) El islote óseo también se aprecia en una radiografía convencional de la columna.
(The bone island is also seen in a conventional radiography of the spine).



Enos+15.png

FIGURA 1) Imagen FSE-T1. Hallazgo incidental de una lesión hipointensa, redondeada, de contornos bien delimitados, situada en el cuerpo vertebral L5. 
(A weigthed FSE-T1 MRI of lumbar spine. Incidental finding of a hypointense lesion, rounded, with well-defined contours, located in the vertebral body of L5).
 
Enos+14.png
 
FIGURA 2) Imagen axial FSE-T1. Lesión hipointensa, redondeada, de contornos bien delimitados. 
(An axial weigthed FSE-T1 MRI. A rounded lesion, with well-defined contours).
 
Enos+16.png
 
FIGURA 3) Vista de la lesión, en proyección axial. Contorno nítido ligeramente espiculado. Diagnóstico: Enostosis.
(View of the lesion in axial projection. Well outlined: Diagnosis: Enostosis).

Enos+13.png

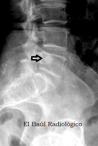
FIGURA 4) El islote óseo se aprecia en una radiografía convencional de la columna lumbar.
(The bone island is also seen in a conventional radiography of the spine).
Катенёв Валентин Львович's picture
Offline
Last seen: 7 years 5 months ago
Joined: 22.03.2008 - 22:15
Posts: 54876

Продолжение.

 

 

Приложения: 
0.slayd15.jpg0.zh_.slayd18.jpg0.zh_.slayd19.jpg0.zh_.slayd20.jpg0.zh_.slayd21.jpg0.zh_.slayd22.jpg0.zh_.slayd23.jpg0.zh_.slayd24.jpg0.zh_.slayd25.jpg0.zh_.slayd26.jpg0.zh_.slayd27.jpg0.zh_.slayd28.jpg