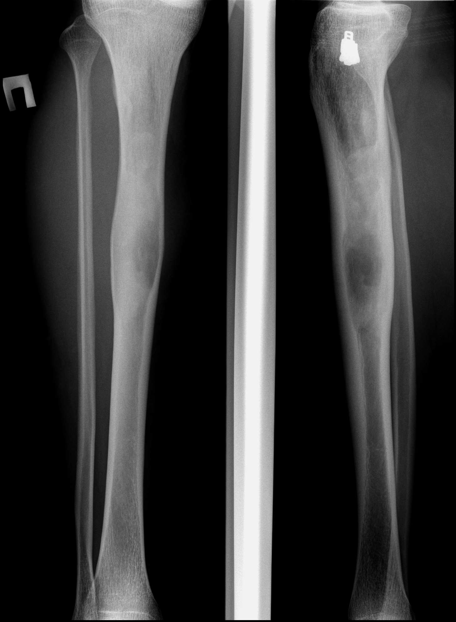
27.02.2011 Рентгенография и КТ-исследования костей голени.
Молодой человек 29 лет, направлен травматологом в наше отделение на дообследования, с жалобами на болезненность в/3 б/берцовой кости справа и некоторую препухлость.
По рентгенограммам я подумала о фиброзной дисплазии, но КТ-картина отлична - есть периостоз, я бы сказала в виде спикул. Для остеомиелита не характерно вздутие. По-видимому надо делать биопсию и исключать зло
Я когда КТ-исследование провел у меня тоже сомнения закрались, но в дальнейшем данному пациенту провели биопсию с оперативным вмешательством, т.е. пластикой, и дважды подтвердилась фиброзная дисплазия, но ведь бывает же так, по рентген-картине вроде без сомнений а чуть повышенная информативность и сразу множество сомнений.
"Знаешь, у некоторых врачей есть комплекс мессии — им необходимо спасать мир. А у тебя комплекс Рубика — тебе необходимо решать головоломки."
Бывает, это в "Радиологических перлах": "если вы сделаете очень много исследований, то найдете то, что не хотели бы найти или то, что не сможете объяснить"
Однако, только вчера переводила для ликбеза на работе статью по диф. диагнозу заболеваний костей с Radiology Assistant так там черным по белому: "если не было переломов и есть периостальная реакция, то кисту и фиброзную дисплазию из диф. ряда следует исключить"
Периостоз здесь нехороший, на небольшом участке, не факт, что он попал в биоптат, а вторичная остеосаркома на фоне фиброзной дисплазии может быть. Возьмите парня на короткий КТ-контроль месяца через 3
КТ-исследования я проводил 26.01.11г. далее они взяли предворительную биопсию и уже сразу 4.02. оперировали выскаблив полость и заполнив её аллотрансплантантом "Биоматрикс", сейчас взглянул в амбулаторную карту, он наблюдается у травматолога но контроля пока не назначали, даже послеперационного не было.
"Знаешь, у некоторых врачей есть комплекс мессии — им необходимо спасать мир. А у тебя комплекс Рубика — тебе необходимо решать головоломки."
По рентгенограммам я подумала о фиброзной дисплазии, но КТ-картина отлична - есть периостоз, я бы сказала в виде спикул. Для остеомиелита не характерно вздутие. По-видимому надо делать биопсию и исключать зло
"самоуверенность дилетантов - предмет зависти профессионалов"
Я когда КТ-исследование провел у меня тоже сомнения закрались, но в дальнейшем данному пациенту провели биопсию с оперативным вмешательством, т.е. пластикой, и дважды подтвердилась фиброзная дисплазия, но ведь бывает же так, по рентген-картине вроде без сомнений а чуть повышенная информативность и сразу множество сомнений.
"Знаешь, у некоторых врачей есть комплекс мессии — им необходимо спасать мир. А у тебя комплекс Рубика — тебе необходимо решать головоломки."
Бывает, это в "Радиологических перлах": "если вы сделаете очень много исследований, то найдете то, что не хотели бы найти или то, что не сможете объяснить"
Однако, только вчера переводила для ликбеза на работе статью по диф. диагнозу заболеваний костей с Radiology Assistant так там черным по белому: "если не было переломов и есть периостальная реакция, то кисту и фиброзную дисплазию из диф. ряда следует исключить"
Периостоз здесь нехороший, на небольшом участке, не факт, что он попал в биоптат, а вторичная остеосаркома на фоне фиброзной дисплазии может быть. Возьмите парня на короткий КТ-контроль месяца через 3
"самоуверенность дилетантов - предмет зависти профессионалов"
Так ведь они после операционный материал в прямом смысле шинкуют, но контроль конечно будет.
"Знаешь, у некоторых врачей есть комплекс мессии — им необходимо спасать мир. А у тебя комплекс Рубика — тебе необходимо решать головоломки."
Виталий, тогда ж подробнее: когда была операция и когда КТ? Попал ли периостоз в зону операции? Был ли послеоперационный КТ-контроль?
"самоуверенность дилетантов - предмет зависти профессионалов"
КТ-исследования я проводил 26.01.11г. далее они взяли предворительную биопсию и уже сразу 4.02. оперировали выскаблив полость и заполнив её аллотрансплантантом "Биоматрикс", сейчас взглянул в амбулаторную карту, он наблюдается у травматолога но контроля пока не назначали, даже послеперационного не было.
"Знаешь, у некоторых врачей есть комплекс мессии — им необходимо спасать мир. А у тебя комплекс Рубика — тебе необходимо решать головоломки."
Сделаете - покажете?
"самоуверенность дилетантов - предмет зависти профессионалов"
Обязательно
"Знаешь, у некоторых врачей есть комплекс мессии — им необходимо спасать мир. А у тебя комплекс Рубика — тебе необходимо решать головоломки."
Согласна с Татьяной, периостоз очень некрасивый.
https://www.instagram.com/pediatricradiology/