You are here

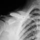
«Заблудший» шуруп…

Пол пациента: 
Тип патологии: 
Область исследования: 
Методы исследования: 

«Заблудший» шуруп…

  • https://radiomed.ru/sites/default/files/styles/case_slider_image/public/user/12/2.p3040041.jpg?itok=yoRV3XzC
  • https://radiomed.ru/sites/default/files/styles/case_slider_image/public/user/12/3.p3040041a.jpg?itok=ZkVRCfIV
  • https://radiomed.ru/sites/default/files/styles/case_slider_image/public/user/12/4.p3040042.jpg?itok=biy2C8Ah
  • https://radiomed.ru/sites/default/files/styles/case_slider_image/public/user/12/5.p3040043_0.jpg?itok=b9qS9CfW
  • https://radiomed.ru/sites/default/files/styles/case_slider_image/public/user/12/6.p3040043a.jpg?itok=cyi1KwYd
ID:12372
Евгений1313's picture
Offline
Last seen: 13 years 5 months ago
Joined: 15.10.2010 - 19:13
Posts: 808

Травматолог шуруп не законтрил-всё и расползлось.

Александр Викторович's picture
Offline
Last seen: 8 years 5 months ago
Joined: 31.07.2010 - 13:05
Posts: 639

зачем такие сложности с синтезом ключицы....