КоржА.А., Дедух Н.В. Институт патологии позвоночника и суставов им. проф. М.И. Ситенко АМН Украины, Харьков
Гетеротопическая оссификация относится к нарушениям, которые гистологически и рентгенологически характеризуются формированием кости (остеоиндукция) в мягких тканях, в норме не имеющих остеогенных свойств. Внескелетная оссификация не может быть отнесена к физиологической и представляет собой патологический процесс [1, 2, 6].
Морфология гетеротопических оссификатов
Гетеротопическое костеобразование привлекает. внимание как клиницистов, так и исследователей. По мнению А.В. Русакова [7], основным условием для возникновения гетеротопической кости является формирование в тканях очага обызвествления. Возле такого очага образуется грануляционная ткань, включающая остеокласты, фибробласты и остеобласты. А.В. Русаков [7] отмечал, что мезенхима содержит клетки, способные к костно-хрящевому образованию. На основе клинико-экспериментальных разработок детальное описание структуры гетеротопических оссификатов было представлено А.А. Коржом [1,2]. Различные формы гетеротопических оссификатов описаны с учетом той материнской ткани, в которой образуется новая кость: оссификация мышцы, сухожилия, связки или суставной капсулы. Прослежено, что обширные оссификаты развиваются в участках формирования гематомы. Во внекостных оссификатах в зависимости от срока развития обнаруживают незрелую волокнистую кость, пластинчатую кость, имеющую характерную остеонную структуру, хондроид.
Наиболее ранние гистологические наблюдения структуры формирующихся оссификатов описаны на 20-й день после травматического повреждения [1,2]. В оссификате обнаруживалась грануляционная ткань, перемежающаяся с остеоидом и молодыми костными трабекулами. Обызвествления костной ткани не отмечено. Это наблюдение свидетельствует о том, что костеобразование может рассматриваться как результат активизации остеогенных потенций клеток грануляционной ткани.
Зачастую на более поздние сроки (2-3 мес.) среди зрелых костных трабекул можно обнаружить очаги хондроида. Отсутствие между ними четких границ свидетельствует о сходных механизмах метаплазии. Наряду с участками остеогенеза, обнаруживаются деструктивные костные трабекулы. Имеют место их атрофия и лизис, остеокластическая резорбция. По поверхности оссификата могут формироваться капсула или очаги склероза, в то время как внутри оссификат представлен губчатой костной тканью. Обычно в длительно существующих оссификатах межтрабекулярные пространства выполнены в основном жировой или ретикулофиброзной тканью, содержащей единичные кровеносные сосуды и клетки.
Экспериментальные исследования на животных по моделированию формирования посттравматических оссификатов, углубленный морфологический анализ материала позволили выделить шесть стадий их развития [2]:
Стадия катаболизма поврежденных тканей.
Стадия накопления пула клеток за счет пролиферации соединительнотканных клеток, а также заноса плюрипотентных клеток стволовых пространств; формирование соединительной ткани.
Стадия образования остеоида.
Стадия минерализации остеоида и образование губчатой костной ткани.
Стадия перестройки и созревания новообразованной кости.
Рентгеновские методы исследования позволяют определить локализацию, величину, форму, структуру, зрелость и взаимоотношения очагов внескелетного гетеротопического образования с прилежащими тканями.
При травмах, сопровождающихся формированием выраженной гематомы, признаки оссификации появляются на 20-30 день, иногда позже. На рентгенограмме определяется едва заметная облачковидная тень оссификата в виде одиночного островка или нескольких неясно очерченных бесформенных, бесструктурных пятен. С течением времени тень становится более плотной, островки, сливаясь, формируют бесструктурные, но очерченные контуры оссификата. К 6-8 неделе после травмы оссификат имеет структурный рисунок костной ткани. Участки обызвествления характеризуются тем, что костная ткань в них формируется медленно, постепенно, в течение нескольких месяцев и лет. Течение и интенсивность процессов перестройки оссификата зависят от величины оссификата, его участия в передаче силовых напряжений и нагрузок при функции конечности, его взаимоотношений с близлежащей костью. Характерным для всех видов травматических оссификатов является формирование на их поверхности склеротической зоны-тонкого слоя более плотной кости. Формирование этой зоны свидетельствует, что оссификат «созрел». «Созревание» оссификата обычно заканчивается не раньше 3-6 месяцев после травмы. Рентгенологически проявляется четкая костная структура, склеротические зоны утолщаются по поверхности. Может иметь место сращение оссификата с костью. Вблизи основного участка гетеротопического остеогенеза могут наблюдаться добавочные островки, рентгенологически аналогичные структуре основного участка оссификации. Итак, травматический оссификат приобретает постепенно все основные признаки скелетной кости. По поверхности оссификата формируется кортикальный слой, в центре оссификата - губчатая костная ткань.
Оссифицирующаяся гематома
Отличительным признаком оссифицирующейся гематомы является округлая или овальная форма, относительно равномерное окостенение. Организующаяся гематома не всегда окостеневает полностью, может иметь место лишь ее частичное окостенение.
Оссификация мышц
Размеры и форма окостенений в мышцах бывают различные, обычно оссификат имеет неправильную ветвистую форму, иногда состоит из нескольких частей, соединяющихся тонкими перемычками. Оссификаты, возникающие в мышцах после массивного ушиба, на рентгенограммах обычно имеют вид перистых напластований на кость. Из-за многочисленных просветлений в их толще они напоминают кружевную ткань. Подобные формы оссификатов могут быть ошибочно приняты за остеосаркому.
Оссификация сухожилий, связок и суставной капсулы
В сухожилиях оссификаты в основном располагаются в зоне сосредоточенного действия сил мышечного натяжения. Формирующиеся костные трабекулы располагаются по направлению действия сил мышечного натяжения.
Характерно, по рентгенологической картине, окостенение тканей суставной капсулы, которое имеет место при застарелых вывихах крупных суставов. Окостенению подвергается та часть капсулы и перикапсулярных тканей, которая испытывает давление вывихнутого суставного конца кости. Рентгенологически определяется узкая тень, охватывающая в виде дуги вывихнутый суставной конец.
Наиболее трудны в диагностике гетеротопические оссификаты, развитие которых происходит через стадию предварительного обызвествления. Они не отличаются определенной стадийностью и характерными рентгенологическими особенностями.
Факторы риска
На сегодняшний день не существует единой теории, объясняющей причину возникновения гетеротопических оссификатов.
Еще в 1959 году К.Д. Логачев [5] отмечал, что гетеротопическое окостенение мягких тканей может иметь место при различных органических повреждениях нервной системы: травмах спинного мозга, сирингомиелии, энцефалитах, миелитах и миеломах, повреждениях и заболеваниях периферических нервов и др. Эти наблюдения послужили основой предположения, что в генезе посттравматических оссификатов ведущую роль может играть то или иное нарушение нервной системы. Так, случаи миелопатии сопровождались оссификацией желтой связки [9. 19]. Развитие оссификатов зафиксировано при травмах головного мозга [17].
Формирование гетеротопических оссификатов может быть связано с мышечно-скелетной травмой, оперативным вмешательством (артропластика сустава, замещение межпозвонковых дисков искусственными и др.) [20, 25. 28]. Гетеротопическая оссификация может возникнуть спонтанно и в таких случаях ее относят к идиопатической [11,17].
Возможные механизмы развития внескелетного остеогенеза
Основным механизмом развития внескелетного остеогенеза является остеоиндукция.
Остеоиндукция - это модуляция экспрессии генов неспецифических соединительнотканных клеток-предшественников и их направленная дифференциация в остеопрогениторные. В качестве фактора, индуцирующего остеогенез, выступают костные морфогенетические белки (КМБ), такие как КМБ-2, КМБ-3, КМБ-4, КМБ-6. Они способствуют дифференцировке мезенхимальных клеток в остеобласты и стимулируют пролиферацию клеток. Важную роль играет рекомбинантный костный морфогенетический белок-2 ( rh КМБ-2). Доказано, что через 21 день после инъекции в неостеогенные ткани (в мышцу, возле мышцы, подкожно и в жировую ткань) этого белка в низкой концентрации (5 мкг) крысам линии Вистар имело место формирование во всех областях гетеротопических оссификатов [23]. Этот факт был подтвержден рентгенологическими, гистологическими и биохимическими методами исследований. Установлено, что в сформированных гетеротопических оссификатах активность щелочной фосфатазы и содержание кальция были значительно выше, чем у животных контрольной группы.
В экспериментах на мышах доказано, что костный морфогенетический белок-4 (КМБ-4) в условиях in vivo и in situ может индуцировать в скелетной мышце эктопическое формирование кости [16]. Аналогичные качества зафиксированы и для костного морфогенетического белка 3 b (КМБ-3 b ) [15].
Исследовали функцию костного морфогенетического белка-2 (ВМР-2) в оссификации связок позвоночника. С этой целью суммарная РНК была выделена из культивированных клеток связок позвоночника у пациента с гетеротопической оссификацией и проведен анализ информационной РН К, ответственной за синтез ВМР-2. Экзогенный ВМР-2 увеличивал активность щелочной фосфатазы в клетках связок позвоночника у пациентов с гетеротопической оссификацией [29]. Авторы сделали вывод, что ген ВМР-2 экспрессируется в клетках связок больных с гетеротопической оссификацией. а экзогенный ВМР-2 стимулирует остеогенную дифференцировку сухожильных клеток. Авторами сделан вывод, что экспрессия гена ВМР-2 может служить показателем развития гетеротопического остеогенеза в тканях связок.
Кроме того, выявлено, что ВМР-2 может способствовать гетеротопической оссификации в дегенеративно измененных скелетных мышцах [14].
В гетеротопических оссификатах желтой связки обнаружены присутствие морфогенетического белка хрящевого происхождения ( CDMP -1) и экспрессия его гена [21]. Этот белок и информационная РНК, программирующая его биосинтез, были локализованы только в веретенообразных клетках и в хондроцитах желтой связки в области оссификации. Они не определялись в клетках неоссифицированных участков.
Имеется наблюдение, в котором показано, что в гетеротопических оссификатах связок позвоночника имеет место увеличение простагландин-12-синтетазы, индуцируемой механическими напряжениями [22]. В этих оссификатах увеличивается на 240% биосинтез информационной РНК, концентрация дибутурил-цАМФ и на 200% щелочной фосфатазы как маркера остеогенной дифференцировки, в то время как в клетках, прилежащих к оссификатам, их повышения не зафиксировано. На основе представленных данных можно предположить, что остеогенная дифференцировка клеток связок зависит от системы простагландин-12/цАМФ.
В последние годы обнаружен ген hcs 24, идентифицированный к соединительнотканному ростовому фактору ( CTGF ). В культуре клеток, полученных из гетеротопических оссификатов передней длинной связки позвоночника человека и инкубированных в присутствии рекомбинантного человеческого CTGF / hcs 24, было выявлено, что он играет не только важную роль в оссификации передней длинной связки, но и индуцирует остеогенез в клетках, расположенных вне области оссификата [30].
В культуре клеток были изучены остеогенные свойства клеток передней длинной связки позвоночника с областью гетеротопической оссификации и у больных со спондилолизом [12]. Установлено, что под действием витамина D , в клетках оссифицированной связки имел место биосинтез остеокальцина. У больных со спондилолизом клетки эту способность не приобретали. Эти данные свидетельствуют о том, что в условиях гетеротопической оссификации клетки связок приобретают остеобластический фенотип.
Экспериментальные исследования на мышах, у которых индуцирован дефицит бигликана и фибромодулина - малых богатых лейцином протеогликанов. ответственных за регуляцию формирования матрикса, продемонстрировали формирование гетеротопических оссификатов в сухожилиях [8].
В последние годы в свете представлений о регенеративной медицине необходимо учитывать роль стволовых полипотентных клеток, которые могут дифференцироваться в различных направлениях и заполняют стволовые пространства органов и тканей [3, 4]. В костном мозге имеются полипотентные стромальные клетки, занос которых, в условиях травматического повреждения или оперативного вмешательства, может явиться условием для формирования гетеротопических оссификатов. Одним из условий формирования оссификата является экспрессия гена остеогенного транскрипционного фактора Runx 2/ Cbfa -1 [13]. В культуре тканей были проверены два теоретических предположения: первое - могут ли клетки из кости или мышцы и фасций (два клеточных типа) способствовать формированию оссификатов [10]. Второе: выявить роль стромальных клеток, индуцированных травматическим повреждением или во время операции (одна клетка + фактор), в возникновении оссификата. Авторами доказана правомочность существования двух теорий.
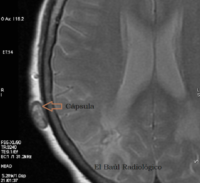
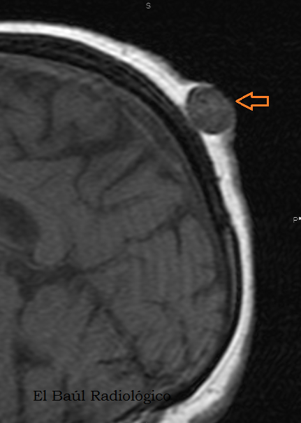
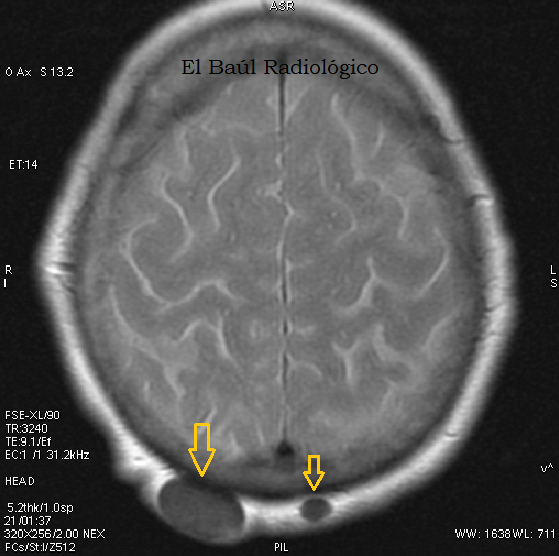
Uno de los hallazgos más frecuentes en las exploraciones de Tomografía Computarizada o Tomografía por Resonancia Magnética (TRM) craneoencefálicas son los quistes sebáceos del cuero cabelludo. Algunos los confunden con osteomas, pero son cosas completamente distintas y su repercusión patológica también. Los quistes sebáceos pueden formarse en la piel de cualquier parte del cuerpo. Son nódulos duros, desplazables porque no están adheridos a estructuras profundas. Se originan en la dermis, en la base de un folículo piloso. Rodeados por una cápsula, contienen restos de tejidos cutáneos, conglomerados de queratina y calcificaciones grumosas que les confieren el aspecto hiperdenso en las imágenes de Tomografía Computarizada (Figura 1). Son de morfologia redondeada, están en contacto con el hueso, pero no dependen de él como los osteomas que se originan en el hueso compacto cortical y tienen una base de inserción plana. Los quistes sebáceos son siempre benignos y no se extirpan, salvo por problemas estéticos.
(One ofthe most common findings, onCT scansorcraniocerebralMRI images,are sebaceous calcified cystsof the scalp.Some radiologistsconfuse themwithosteomas,but they arecompletely different thingsand itspathologicalimpactas well. We present some cases of sebaceous calcified cysts of the scalp)
FIGURA 1) Reproducción figurada, en la que se representa la cápsula de los quistes y el contenido sebáceo, con calcificaciones grumosas.
(Figurativereproduction, which shows thecapsuleofsebaceouscystsand lipid content withclottedcalcifications)
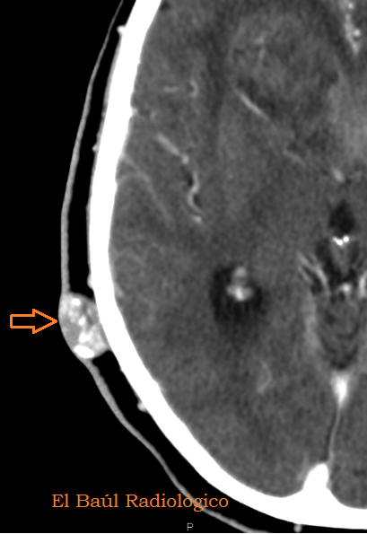
FIGURA 2) Imagen axial de TC craneo-encefálica en la que se observan dos quistes sebáceos calcificados del cuero cabelludo. Es un hallazgo muy frecuente y no deben ser etiquetados de osteomas.
(AxialCTimagein which we can appreciate, in the scalp, twocalcifiedsebaceous cysts. It is avery common findingand they should not beconfusedwithosteomas)
FIGURA 3) Imagen magnificada de los dos quistes, donde se aprecia su dependendencia del cuero cabelludo.
(Magnified imageof the twocystswhichshowsits dependence on thescalp)
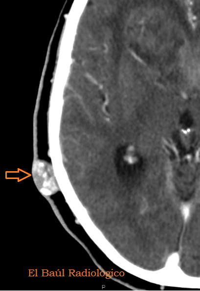
FIGURA 4) Otro quiste sebáceo, totalmente calcificado. Es redondo y está separado de la tabla externa del cráneo, característica que le distingue de un osteoma frontal.
(Anothersebaceous cyst, rounded and fullycalcified.It is separated fromthe outer tableof the skull, a feature that distinguishes itfrom afrontalosteoma)
FIGURA 5) En los quistes sebáceos calcificados, la densidad puede ser muy elevada, tanto como la del hueso compacto, 1168 UH, pero no por eso pueden etiquetarse de osteomas.
(Inhighly calcifiedsebaceous cysts, the density is usually very high, such as compact bone,UH1168, but not for thatshould belabeledosteomas)
FIGURA 6) Los quistes sebáceos tambien se detectan en las exploraciones de TRM. Se presentan como un nódulo hipodenso, bien delimitado, que no tiene relación con el cráneo.
(Sebaceous cystsare detectedalsoin the explorations ofMRI.They appear ashypodense, well-defined nodes, which has no relation to the skull).
FIGURA 7) Por su elevada concentración en sales cálcicas, los quistes sebáceos no varían en las imágenes potenciadas en T2 (FLAIR-T2).
(Due toits high concentration ofcalcium salts theydo not changeinT2-weightedimages(FLAIR-T2).
FIGURA 8) En esta imagen de Tomografía Computarizad se aprecian las calcificaciones grumosas de algunos quistes sebáceos.
(On thisCT image,clottedcalcificationsare seenin somesebaceous cysts)
MÁS QUISTES SEBÁCEOS: MORE CYSTS
FIGURA 1) Imagen de TC. Se aprecian dos quistes sebáceos, con pequeñas calcificaciones.
(TC Image. Calcifield sebaceous cysts).
FIGURA 2) Los dos quistes en la potenciación en T2. (FLAIR sequence) (The two calcified cysts, hipointenses, in FLAIR T2 Sequence)
FIGURA 3) Y los dos quistes calcificados tal como se aprecian en la potenciación en Densidad Protónica.
(And the two calcified cysts, hipointenses, in FSE-Dp Sequence)
FIGURA 4) En esta imagen se puede apreciar la cápsula del quiste. No siempre es visible.
(In this imagecan be seenthe cyst capsule. It is not alwaysvisible)
CASOS DE OSTEOMAS:
FIGURA 1) Pequeño osteoma frontal que depende de la tabla externa del cráneo. El aspecto es completamente diferente al de los quistes sebáceos, aunque la densidad puede ser parecida (1018 UH).
(Smallfrontalosteomawhich depends onthe outer tableof the skull.The appearance iscompletely different fromsebaceous cysts, though the density can bebe similar(1018UH).
FIGURA 2) Otro osteoma en el interior del seno frontal. Depende del hueso cortical.
(Osteoma into the frontal sinuswhich depends onthe outer tableof the skull).
Продолжение.
Продолжение.
Продолжение.
Продолжение.
Продолжение.
Продолжение.
Фрагмент маммограммы
Продолжение.
Продолжение.
Продолжение.
Гетеротопическая оссификация (взгляд на проблему)Корж А.А., Дедух Н.В. Институт патологии позвоночника и суставов им. проф. М.И. Ситенко АМН Украины, Харьков
Гетеротопическая оссификация относится к нарушениям, которые гистологически и рентгенологически характеризуются формированием кости (остеоиндукция) в мягких тканях, в норме не имеющих остеогенных свойств. Внескелетная оссификация не может быть отнесена к физиологической и представляет собой патологический процесс [1, 2, 6].
Морфология гетеротопических оссификатов
Гетеротопическое костеобразование привлекает. внимание как клиницистов, так и исследователей. По мнению А.В. Русакова [7], основным условием для возникновения гетеротопической кости является формирование в тканях очага обызвествления. Возле такого очага образуется грануляционная ткань, включающая остеокласты, фибробласты и остеобласты. А.В. Русаков [7] отмечал, что мезенхима содержит клетки, способные к костно-хрящевому образованию. На основе клинико-экспериментальных разработок детальное описание структуры гетеротопических оссификатов было представлено А.А. Коржом [1,2]. Различные формы гетеротопических оссификатов описаны с учетом той материнской ткани, в которой образуется новая кость: оссификация мышцы, сухожилия, связки или суставной капсулы. Прослежено, что обширные оссификаты развиваются в участках формирования гематомы. Во внекостных оссификатах в зависимости от срока развития обнаруживают незрелую волокнистую кость, пластинчатую кость, имеющую характерную остеонную структуру, хондроид.
Наиболее ранние гистологические наблюдения структуры формирующихся оссификатов описаны на 20-й день после травматического повреждения [1,2]. В оссификате обнаруживалась грануляционная ткань, перемежающаяся с остеоидом и молодыми костными трабекулами. Обызвествления костной ткани не отмечено. Это наблюдение свидетельствует о том, что костеобразование может рассматриваться как результат активизации остеогенных потенций клеток грануляционной ткани.
Зачастую на более поздние сроки (2-3 мес.) среди зрелых костных трабекул можно обнаружить очаги хондроида. Отсутствие между ними четких границ свидетельствует о сходных механизмах метаплазии. Наряду с участками остеогенеза, обнаруживаются деструктивные костные трабекулы. Имеют место их атрофия и лизис, остеокластическая резорбция. По поверхности оссификата могут формироваться капсула или очаги склероза, в то время как внутри оссификат представлен губчатой костной тканью. Обычно в длительно существующих оссификатах межтрабекулярные пространства выполнены в основном жировой или ретикулофиброзной тканью, содержащей единичные кровеносные сосуды и клетки.
Экспериментальные исследования на животных по моделированию формирования посттравматических оссификатов, углубленный морфологический анализ материала позволили выделить шесть стадий их развития [2]:
Стадия относительной стабильности (зрелости) оссификата.
Рентгенологическая диагностика
Рентгеновские методы исследования позволяют определить локализацию, величину, форму, структуру, зрелость и взаимоотношения очагов внескелетного гетеротопического образования с прилежащими тканями.
При травмах, сопровождающихся формированием выраженной гематомы, признаки оссификации появляются на 20-30 день, иногда позже. На рентгенограмме определяется едва заметная облачковидная тень оссификата в виде одиночного островка или нескольких неясно очерченных бесформенных, бесструктурных пятен. С течением времени тень становится более плотной, островки, сливаясь, формируют бесструктурные, но очерченные контуры оссификата. К 6-8 неделе после травмы оссификат имеет структурный рисунок костной ткани. Участки обызвествления характеризуются тем, что костная ткань в них формируется медленно, постепенно, в течение нескольких месяцев и лет. Течение и интенсивность процессов перестройки оссификата зависят от величины оссификата, его участия в передаче силовых напряжений и нагрузок при функции конечности, его взаимоотношений с близлежащей костью. Характерным для всех видов травматических оссификатов является формирование на их поверхности склеротической зоны-тонкого слоя более плотной кости. Формирование этой зоны свидетельствует, что оссификат «созрел». «Созревание» оссификата обычно заканчивается не раньше 3-6 месяцев после травмы. Рентгенологически проявляется четкая костная структура, склеротические зоны утолщаются по поверхности. Может иметь место сращение оссификата с костью. Вблизи основного участка гетеротопического остеогенеза могут наблюдаться добавочные островки, рентгенологически аналогичные структуре основного участка оссификации. Итак, травматический оссификат приобретает постепенно все основные признаки скелетной кости. По поверхности оссификата формируется кортикальный слой, в центре оссификата - губчатая костная ткань.
Оссифицирующаяся гематома
Отличительным признаком оссифицирующейся гематомы является округлая или овальная форма, относительно равномерное окостенение. Организующаяся гематома не всегда окостеневает полностью, может иметь место лишь ее частичное окостенение.
Оссификация мышц
Размеры и форма окостенений в мышцах бывают различные, обычно оссификат имеет неправильную ветвистую форму, иногда состоит из нескольких частей, соединяющихся тонкими перемычками. Оссификаты, возникающие в мышцах после массивного ушиба, на рентгенограммах обычно имеют вид перистых напластований на кость. Из-за многочисленных просветлений в их толще они напоминают кружевную ткань. Подобные формы оссификатов могут быть ошибочно приняты за остеосаркому.
Оссификация сухожилий, связок и суставной капсулы
В сухожилиях оссификаты в основном располагаются в зоне сосредоточенного действия сил мышечного натяжения. Формирующиеся костные трабекулы располагаются по направлению действия сил мышечного натяжения.
Характерно, по рентгенологической картине, окостенение тканей суставной капсулы, которое имеет место при застарелых вывихах крупных суставов. Окостенению подвергается та часть капсулы и перикапсулярных тканей, которая испытывает давление вывихнутого суставного конца кости. Рентгенологически определяется узкая тень, охватывающая в виде дуги вывихнутый суставной конец.
Наиболее трудны в диагностике гетеротопические оссификаты, развитие которых происходит через стадию предварительного обызвествления. Они не отличаются определенной стадийностью и характерными рентгенологическими особенностями.
Факторы риска
На сегодняшний день не существует единой теории, объясняющей причину возникновения гетеротопических оссификатов.
Еще в 1959 году К.Д. Логачев [5] отмечал, что гетеротопическое окостенение мягких тканей может иметь место при различных органических повреждениях нервной системы: травмах спинного мозга, сирингомиелии, энцефалитах, миелитах и миеломах, повреждениях и заболеваниях периферических нервов и др. Эти наблюдения послужили основой предположения, что в генезе посттравматических оссификатов ведущую роль может играть то или иное нарушение нервной системы. Так, случаи миелопатии сопровождались оссификацией желтой связки [9. 19]. Развитие оссификатов зафиксировано при травмах головного мозга [17].
Формирование гетеротопических оссификатов может быть связано с мышечно-скелетной травмой, оперативным вмешательством (артропластика сустава, замещение межпозвонковых дисков искусственными и др.) [20, 25. 28]. Гетеротопическая оссификация может возникнуть спонтанно и в таких случаях ее относят к идиопатической [11,17].
Возможные механизмы развития внескелетного остеогенеза
Основным механизмом развития внескелетного остеогенеза является остеоиндукция.
Остеоиндукция - это модуляция экспрессии генов неспецифических соединительнотканных клеток-предшественников и их направленная дифференциация в остеопрогениторные. В качестве фактора, индуцирующего остеогенез, выступают костные морфогенетические белки (КМБ), такие как КМБ-2, КМБ-3, КМБ-4, КМБ-6. Они способствуют дифференцировке мезенхимальных клеток в остеобласты и стимулируют пролиферацию клеток. Важную роль играет рекомбинантный костный морфогенетический белок-2 ( rh КМБ-2). Доказано, что через 21 день после инъекции в неостеогенные ткани (в мышцу, возле мышцы, подкожно и в жировую ткань) этого белка в низкой концентрации (5 мкг) крысам линии Вистар имело место формирование во всех областях гетеротопических оссификатов [23]. Этот факт был подтвержден рентгенологическими, гистологическими и биохимическими методами исследований. Установлено, что в сформированных гетеротопических оссификатах активность щелочной фосфатазы и содержание кальция были значительно выше, чем у животных контрольной группы.
В экспериментах на мышах доказано, что костный морфогенетический белок-4 (КМБ-4) в условиях in vivo и in situ может индуцировать в скелетной мышце эктопическое формирование кости [16]. Аналогичные качества зафиксированы и для костного морфогенетического белка 3 b (КМБ-3 b ) [15].
Исследовали функцию костного морфогенетического белка-2 (ВМР-2) в оссификации связок позвоночника. С этой целью суммарная РНК была выделена из культивированных клеток связок позвоночника у пациента с гетеротопической оссификацией и проведен анализ информационной РН К, ответственной за синтез ВМР-2. Экзогенный ВМР-2 увеличивал активность щелочной фосфатазы в клетках связок позвоночника у пациентов с гетеротопической оссификацией [29]. Авторы сделали вывод, что ген ВМР-2 экспрессируется в клетках связок больных с гетеротопической оссификацией. а экзогенный ВМР-2 стимулирует остеогенную дифференцировку сухожильных клеток. Авторами сделан вывод, что экспрессия гена ВМР-2 может служить показателем развития гетеротопического остеогенеза в тканях связок.
Кроме того, выявлено, что ВМР-2 может способствовать гетеротопической оссификации в дегенеративно измененных скелетных мышцах [14].
В гетеротопических оссификатах желтой связки обнаружены присутствие морфогенетического белка хрящевого происхождения ( CDMP -1) и экспрессия его гена [21]. Этот белок и информационная РНК, программирующая его биосинтез, были локализованы только в веретенообразных клетках и в хондроцитах желтой связки в области оссификации. Они не определялись в клетках неоссифицированных участков.
Имеется наблюдение, в котором показано, что в гетеротопических оссификатах связок позвоночника имеет место увеличение простагландин-12-синтетазы, индуцируемой механическими напряжениями [22]. В этих оссификатах увеличивается на 240% биосинтез информационной РНК, концентрация дибутурил-цАМФ и на 200% щелочной фосфатазы как маркера остеогенной дифференцировки, в то время как в клетках, прилежащих к оссификатам, их повышения не зафиксировано. На основе представленных данных можно предположить, что остеогенная дифференцировка клеток связок зависит от системы простагландин-12/цАМФ.
В последние годы обнаружен ген hcs 24, идентифицированный к соединительнотканному ростовому фактору ( CTGF ). В культуре клеток, полученных из гетеротопических оссификатов передней длинной связки позвоночника человека и инкубированных в присутствии рекомбинантного человеческого CTGF / hcs 24, было выявлено, что он играет не только важную роль в оссификации передней длинной связки, но и индуцирует остеогенез в клетках, расположенных вне области оссификата [30].
В культуре клеток были изучены остеогенные свойства клеток передней длинной связки позвоночника с областью гетеротопической оссификации и у больных со спондилолизом [12]. Установлено, что под действием витамина D , в клетках оссифицированной связки имел место биосинтез остеокальцина. У больных со спондилолизом клетки эту способность не приобретали. Эти данные свидетельствуют о том, что в условиях гетеротопической оссификации клетки связок приобретают остеобластический фенотип.
Экспериментальные исследования на мышах, у которых индуцирован дефицит бигликана и фибромодулина - малых богатых лейцином протеогликанов. ответственных за регуляцию формирования матрикса, продемонстрировали формирование гетеротопических оссификатов в сухожилиях [8].
В последние годы в свете представлений о регенеративной медицине необходимо учитывать роль стволовых полипотентных клеток, которые могут дифференцироваться в различных направлениях и заполняют стволовые пространства органов и тканей [3, 4]. В костном мозге имеются полипотентные стромальные клетки, занос которых, в условиях травматического повреждения или оперативного вмешательства, может явиться условием для формирования гетеротопических оссификатов. Одним из условий формирования оссификата является экспрессия гена остеогенного транскрипционного фактора Runx 2/ Cbfa -1 [13]. В культуре тканей были проверены два теоретических предположения: первое - могут ли клетки из кости или мышцы и фасций (два клеточных типа) способствовать формированию оссификатов [10]. Второе: выявить роль стромальных клеток, индуцированных травматическим повреждением или во время операции (одна клетка + фактор), в возникновении оссификата. Авторами доказана правомочность существования двух теорий.
Кальцифицирующий бурсит.
Продолжение.
Мягкие ткани, кальцификаты, окостенения
http://www.learningradiology.com/lectures/bonelectures/softtissuecalc2012/Soft%20Tissue%20Calcifications/Soft%20Tissue%20Calcifications.html
(One of the most common findings, on CT scans or craniocerebral MRI images, are sebaceous calcified cysts of the scalp. Some radiologists confuse them with osteomas, but they are completely different things and its pathological impact as well. We present some cases of sebaceous calcified cysts of the scalp)
MÁS QUISTES SEBÁCEOS: MORE CYSTS
FIGURA 2) Los dos quistes en la potenciación en T2. (FLAIR sequence)
(The two calcified cysts, hipointenses, in FLAIR T2 Sequence)
CASOS DE OSTEOMAS:
Hospital Universitario Miguel Servet. (HUMS) Zaragoza.Spaiñ
Продолжение
Рисунок 17a. Посттравматическая гетеротопическая оссификация у 15-летнего мальчика.
Рисунок 17b. Посттравматическая гетеротопическая оссификация у 15-летнего мальчика.
Рисунок 17в. Посттравматическая гетеротопическая оссификация у 15-летнего мальчика.
Рисунок 17d. Посттравматическая гетеротопическая оссификация у 15-летнего мальчика.
Рисунок 17е. Посттравматическая гетеротопическая оссификация у 15-летнего мальчика.
https://radiopaedia.org/articles/intra-abdominal-calcification
Случаи и цифры
Дифференциальная диагностика изображения
https://www.orthopaedicsone.com/display/PORT/Fibrodysplasia+(Myositis)+Ossificans+Progressiva
Рисунок 2.12
Симптом — кальцификация по типу «попкорна»
http://24radiology.ru/simptomy/simptom-kaltsifikatsiya-po-tipu-popkorna/
Продолжение.
http://learningradiology.com/lectures/bonelectures/softtissuecalc2012/Soft%20Tissue%20Calcifications/Soft%20Tissue%20Calcifications.html
Кальцификации мочевого пузыря.
http://www.nejm.org/doi/full/10.1056/NEJMicm1504759