You are here

КТ грудной полости. Ребёнок 2 месяца.

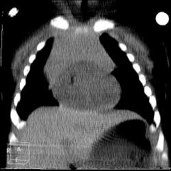
Мама заметила, что сын начинает... свистеть при укладывании на живот. На обзорной рентгенограмме легких (к сожалению, не успела сфотографировать, ребёнка перевели в областную детскую больницу со снимком) рентгенолог описал образование верхнего и среднего средостения, слева в виде паруса. Интересно, что УЗИ сердца - норма, а про средостение узист ничего не написал...

 

  

  • https://radiomed.ru/sites/default/files/styles/case_slider_image/public/user/2841/2_mes0002.jpg?itok=5Rwes7az
  • https://radiomed.ru/sites/default/files/styles/case_slider_image/public/user/2841/2_mes0003.jpg?itok=GRZwfVOE
  • https://radiomed.ru/sites/default/files/styles/case_slider_image/public/user/2841/2_mes0004.jpg?itok=whbhjTDq
  • https://radiomed.ru/sites/default/files/styles/case_slider_image/public/user/2841/2_mes0005.jpg?itok=ooSAgisM
  • https://radiomed.ru/sites/default/files/styles/case_slider_image/public/user/2841/2_mes0006.jpg?itok=aOLQmDzw
  • https://radiomed.ru/sites/default/files/styles/case_slider_image/public/user/2841/2_mes0007.jpg?itok=14B1Baj0
  • https://radiomed.ru/sites/default/files/styles/case_slider_image/public/user/2841/2_mes0008.jpg?itok=3pIz2InI
  • https://radiomed.ru/sites/default/files/styles/case_slider_image/public/user/2841/2_mes0009.jpg?itok=PjfWHEEl
  • https://radiomed.ru/sites/default/files/styles/case_slider_image/public/user/2841/2_mes0010.jpg?itok=yeyN2Ikw
  • https://radiomed.ru/sites/default/files/styles/case_slider_image/public/user/2841/2_mes0011.jpg?itok=rEizvgkh
  • https://radiomed.ru/sites/default/files/styles/case_slider_image/public/user/2841/2_mes0012.jpg?itok=mWeNaP4q
  • https://radiomed.ru/sites/default/files/styles/case_slider_image/public/user/2841/2_mes0013.jpg?itok=zohhkysB
  • https://radiomed.ru/sites/default/files/styles/case_slider_image/public/user/2841/2_mes0014.jpg?itok=HjEACGgM
  • https://radiomed.ru/sites/default/files/styles/case_slider_image/public/user/2841/2_mes0015.jpg?itok=kMD7asfg
  • https://radiomed.ru/sites/default/files/styles/case_slider_image/public/user/2841/2_mes0016.jpg?itok=A3fKZrBa
  • https://radiomed.ru/sites/default/files/styles/case_slider_image/public/user/2841/2_mes0017.jpg?itok=uCr_tCA4
  • https://radiomed.ru/sites/default/files/styles/case_slider_image/public/user/2841/2_mes0018.jpg?itok=ObBS5w5w
  • https://radiomed.ru/sites/default/files/styles/case_slider_image/public/user/2841/2_mes0019_0.jpg?itok=7aQts20-
  • https://radiomed.ru/sites/default/files/styles/case_slider_image/public/user/2841/2_mes0020.jpg?itok=A8Y5SATm
  • https://radiomed.ru/sites/default/files/styles/case_slider_image/public/user/2841/2_mes0022.jpg?itok=m7pmsjtX
ID:54721
Петрович's picture
Offline
Last seen: 7 years 6 months ago
Joined: 22.03.2009 - 01:13
Posts: 3908

 

Однако, тут без детских рентгенологов... тоскливо. Кроме расширения переднего средостения не знаю, что вижу. Впрочем, ещё трахея с бронхами и пищевод оттеснены кзади.

Неоднозначно всё

ЛГ's picture
Offline
Last seen: 9 years 2 months ago
Joined: 06.01.2010 - 12:31
Posts: 3523

Вот теперь всё с загрузкой))

Петрович's picture
Offline
Last seen: 7 years 6 months ago
Joined: 22.03.2009 - 01:13
Posts: 3908

 

Какие-то пузырьки воздушные субплеврально в задних отд. нижних долей лёгких.

Неоднозначно всё

Петрович's picture
Offline
Last seen: 7 years 6 months ago
Joined: 22.03.2009 - 01:13
Posts: 3908

Картинок прибавилось. Это Тимус так увеличен?

Неоднозначно всё

ЛГ's picture
Offline
Last seen: 9 years 2 months ago
Joined: 06.01.2010 - 12:31
Posts: 3523

Да, тимомегалия, вилочковая железа оттесняет кзади трахею и бифуркацию. Однородное образование с четким ровным контуром. Субплеврально врожденная парасептальная эмфизема. 

Петрович's picture
Offline
Last seen: 7 years 6 months ago
Joined: 22.03.2009 - 01:13
Posts: 3908

Значит Яблочко заслужил?

Неоднозначно всё

ЛГ's picture
Offline
Last seen: 9 years 2 months ago
Joined: 06.01.2010 - 12:31
Posts: 3523

laugh Кило.

Петрович's picture
Offline
Last seen: 7 years 6 months ago
Joined: 22.03.2009 - 01:13
Posts: 3908

Вот бы ещё и прощение воскресное...

Неоднозначно всё

ЛГ's picture
Offline
Last seen: 9 years 2 months ago
Joined: 06.01.2010 - 12:31
Posts: 3523

Сегодня всё прощается. 

Петрович's picture
Offline
Last seen: 7 years 6 months ago
Joined: 22.03.2009 - 01:13
Posts: 3908

Спасибо!!!

Неоднозначно всё

Любовь С.'s picture
Offline
Last seen: 9 years 9 months ago
Joined: 23.12.2010 - 01:58
Posts: 2324

Ola-la, подскажите, пожалуйста, а правомочно заключенение тимомегалии или правильно будет тимома?

"Предоставляя весь смысл и совершенство в распоряжение одного только Бога, вы избавляете себя от бездны хлопот." Джон Уитборн.

Ola-la's picture
Offline
Last seen: 1 year 1 month ago
Joined: 06.12.2008 - 09:33
Posts: 1786

Нет, только не тимома. Нормальный тимус для двух месяцев.

Любовь С.'s picture
Offline
Last seen: 9 years 9 months ago
Joined: 23.12.2010 - 01:58
Posts: 2324

Нормальный... Спасибо!

"Предоставляя весь смысл и совершенство в распоряжение одного только Бога, вы избавляете себя от бездны хлопот." Джон Уитборн.

Петрович's picture
Offline
Last seen: 7 years 6 months ago
Joined: 22.03.2009 - 01:13
Posts: 3908

Ola-la wrote:
Нет, только не тимома. Нормальный тимус для двух месяцев.

А хоть какую-то патологию, Оля, здесь Вы усматриваете?

Неоднозначно всё

ЛГ's picture
Offline
Last seen: 9 years 2 months ago
Joined: 06.01.2010 - 12:31
Posts: 3523

Ola-la виднее, не спорю. Я не педиатр, у меня только одна статья есть по вилочковой железе у детей, по ней и сужу. У малыша подсчитала объем тимуса по методике Воеводина - 47,25 см3 , при норме 18,4 - 43,5. На мой взгляд, правая доля немного увеличена, но не настаиваю.

Есть еще 2 схемы (нашла по инету здесь: http://medafarm.ru/php/content.php?id=3935  ), вот и всё. Буду крайне признательна за ссылки и информацию на эту тему.

Мамочка молодая, встревожена:"А чего он свистит?")) Наша главный педиатр отправила маму с ребёнком на консультацию в областную клиническую детскую больницу (насколько я понимаю, тут требуется УЗИ-наблюдение). 

Приложения: 
viloch_zel_3.jpgviloch_zel_2.jpg
AttachmentSize
PDF icon usfd_2001_3_34.pdf191.97 KB
Бородулин М.А.'s picture
Offline
Last seen: 1 year 3 weeks ago
Joined: 17.02.2011 - 01:10
Posts: 1409

Может в плане клинических проявлений Врожденный стридор?

ЛГ's picture
Offline
Last seen: 9 years 2 months ago
Joined: 06.01.2010 - 12:31
Posts: 3523

Свист только лежа на животе (я думаю, что причина в тимусе). Не грубый звук. Ни срыгивания, ни кашля, ни цианоза. Про гортаноглотку ничего не скажу - не в курсе.

Бородулин М.А.'s picture
Offline
Last seen: 1 year 3 weeks ago
Joined: 17.02.2011 - 01:10
Posts: 1409

Людмила Григорьевна wrote:

Свист только лежа на животе (я думаю, что причина в тимусе). Не грубый звук. Ни срыгивания, ни кашля, ни цианоза. Про гортаноглотку ничего не скажу - не в курсе.

Сдавить хрящевые кольца весьма сложно, если не предположить их несовершенство. 

ЛГ's picture
Offline
Last seen: 9 years 2 months ago
Joined: 06.01.2010 - 12:31
Posts: 3523

У детей немаловажное значение имеет непосредственное предлежание передней стенки трахеи к вилочковой железе, которая достигает максимального развития у 2-летнего ребенка, а затем медленно атрофируется. Резко гиперплазированная вилочковая железа оказывает давление на еще не сформировавшуюся и не окрепшую стенку трахеи с развитием тяжелого врожденного стеноза. 

Трахея у новорожденных воронкообразной формы, просвет ее узок, задняя стенка имеет более широкую фиброзную часть, стенки более податливы, хрящи мягкие, легко сдавливаются. Слизистая оболочка ее нежная, богата кровеносными сосудами и суховата вследствие недостаточного развития слизистых желез, эластическая ткань развита слабо. Секреция желез обеспечивает слой слизи на поверхности трахеи толщиной 5 мкм, скорость продвижения которого – 10-15 мм/мин (обеспечивается ресничками). Рост трахеи происходит параллельно с ростом туловища, наиболее интенсивно - на 1-м году жизни и в пубертатном периоде. Особенности строения трахеи у детей приводят при воспалительных процессах к легкому возникновению стенотических явлений, определяют частые изолированные (трахеиты), комбинированные с поражением гортани (ларинготрахеиты) или бронхов (трахеобронхиты) поражения. Кроме того, в связи с подвижностью трахеи может происходить ее смещение при одностороннем процессе (экссудат, опухоль).  (http://www.neuronet.ru/bibliot/semiotika/3_1.html )

Евгений1313's picture
Offline
Last seen: 13 years 3 months ago
Joined: 15.10.2010 - 19:13
Posts: 808

Перерастет .Хрящи трахее ещё мягкие,а тимус большой .Но последнее слово за Бородулиным.

Катенёв Валентин Львович's picture
Offline
Last seen: 7 years 4 months ago
Joined: 22.03.2008 - 22:15
Posts: 54876

Добавка.

Приложения: 
1.vil_.slayd42.jpg2._vil.slayd43.jpg