ГМ. Галлервордена - Шпатца болезнь. +

Галлервордена - Шпатца болезнь

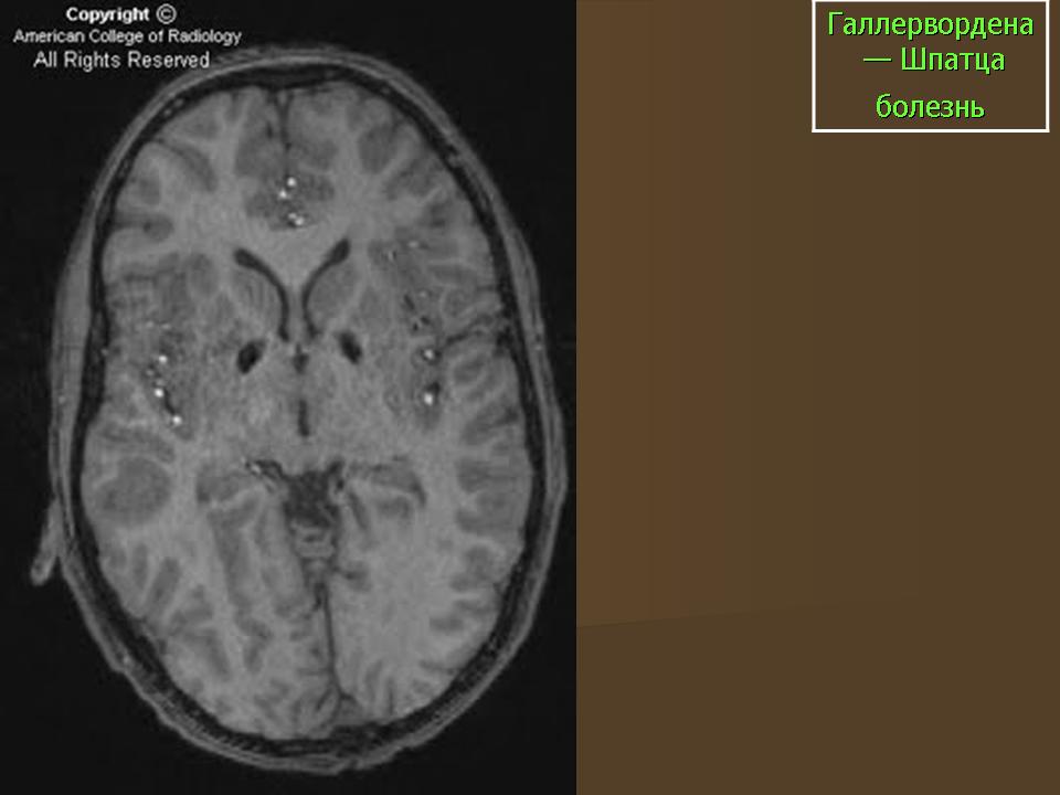
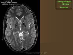
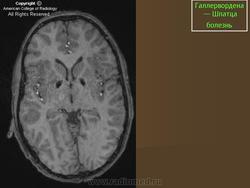
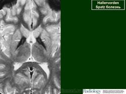
Галлервордена - Шпатца болезнь (J. Hallervorden, 1882-1965, нем. невропатолог; H. Spatz, совр. нем. невропатолог; син. ригидность прогрессирующая) - наследственная болезнь, связанная с нарушением обмена железа и липидов, проявляющаяся в возрасте 7-9 лет повышением мышечного тонуса, гиперкинезами, прогрессирующей деменцией, снижением зрения и пигментным ретинитом; наследуется по аутосомно-рецессивному типу.

 

Болезнь Галлервордена - Шпатца - наследственное заболевание экстрапирамидной системы, связанная с нарушением обмена железа и липидов и повреждением бледного шара и черной субстанции. Тип наследования аутосомно-рецессивный. При патоморфологическом исследовании характерным признаком является гиперпигментация бледного шара и черной субстанции. Обнаруживается пигментация коры полушарий большого мозга и таламуса. Пигмент находится внутри невронов и глиальных клеток, расположенных около сосудов; содержит железо (вместе с тем каких-либо нарушений обмена железа в организме не обнаружено). Наблюдаются утолщение и фрагментация аксонцилиндров в пораженных областях. Постепенно наступает дегенерация невронов коры полушарий большого мозга и мозжечка. Характеризуются нарастающей экстрапирамидной ригидностью, гиперкинезами (атетоз, торсионная дистония), затем развивается акинетико-ригидный синдром, пирамидная микросимптоматика, снижение интеллекта. Течение медленно прогрессирующее на протяжении 10 - 20 лет.
Клиническая картина. Заболевание начинается с прогрессирующего нарушения походки и ригидности в ногах, замедления и уменьшения объема произвольных движений, дизартрии и задержки умственного развития. У 50 % больных появляются хореиформные и атетоидные движения. Постепенно развиваются спастичность и атрофия дистальных отделов конечностей, признаки деменции. У больных нередко обнаруживают пигментный ретинит или атрофию зрительных нервов. Прогноз неблагоприятный.
Лечение симптоматическое, в некоторых случаях отмечается положительный эффект при введении дофаминергических препаратов.

Helios аватар
Не на сайте
Был на сайте: 11 месяцев 3 недели назад
Зарегистрирован: 06.08.2010 - 15:16
Публикации: 4417

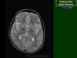
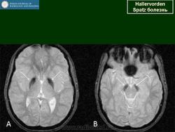
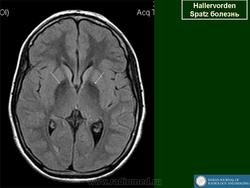
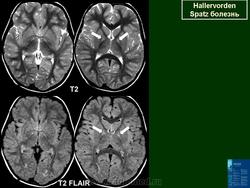
"Глаз тигра"-наглядно и красиво.

Катенёв Валентин Львович аватар
Не на сайте
Был на сайте: 7 лет 4 месяцев назад
Зарегистрирован: 22.03.2008 - 22:15
Публикации: 54876

Helios wrote:
"Глаз тигра"-наглядно и красиво.

Вы правы. Выставил еще более нагладные исллюстрации.

Helios аватар
Не на сайте
Был на сайте: 11 месяцев 3 недели назад
Зарегистрирован: 06.08.2010 - 15:16
Публикации: 4417

Спасибо,Валентин Львович.Отличные публикации по диагностике заболеваний для начинающих МРТ-шников.

Катенёв Валентин Львович аватар
Не на сайте
Был на сайте: 7 лет 4 месяцев назад
Зарегистрирован: 22.03.2008 - 22:15
Публикации: 54876

Галлервордена - Шпатца болезнь

Приложения: 
1.gsh_.slayd80.jpg2.gsh_.slayd81.jpg