Синдром. Мириззи синдром. +

Мириззи синдром.

 

Катенёв Валентин Львович аватар
Не на сайте
Был на сайте: 7 лет 2 месяцев назад
Зарегистрирован: 22.03.2008 - 22:15
Публикации: 54876

Название синдрома связано с именем аргентинского хирур­га Р.Л. Мириззи, известного исследованиями в области физиологии желчевыделения, а также работами по внедрению в клиническую практику интраоперационной холеграфии. В 1948 г. в работе, посвященной итогам 15-летнего применения этого метода, автором была впервые описана рентгенологическая семиотика "гепатического" синдрома, основными признаками которого являлись "стаз желчи и контрактура желчного про­тока при отсутствии в нем конкрементов", а также рентгено­логическая картина "калькулезного" синдрома с образованием свища между желчным пузырем и гепатикохоледохом.

 

Формы синдрома Мириззи.

а  - сужение просвета проксимального отдела гепатикохоледоха (первая форма); б - холецистохоледохеальный свищ (вторая форма).

Приложения: 
001.png
Катенёв Валентин Львович аватар
Не на сайте
Был на сайте: 7 лет 2 месяцев назад
Зарегистрирован: 22.03.2008 - 22:15
Публикации: 54876

а—е — первая форма; ж—к — вторая форма.

 

Приложения: 
28-110.jpg
Катенёв Валентин Львович аватар
Не на сайте
Был на сайте: 7 лет 2 месяцев назад
Зарегистрирован: 22.03.2008 - 22:15
Публикации: 54876

1. ЭРХПГ холангиограмма показывает расширенные ИБС и внутри-печеночные протоки с нормальным КБР и дефект наполнения в пузырном протоке / КБР узел - Mirizzi синдром.

2. Схематическая демонстрация синдрома.

3. ЭРХПГ холангиограмма показывает наличие камней КБР.

4. Интраоперационная холангиограмма с катетером Фоли на шейке желчного пузыря демонстрирует свищ - Mirizzi Тип 2. Отсутствие пузырного протока.

Приложения: 
105019.gif105020.gif105021.gif105022.gif
Катенёв Валентин Львович аватар
Не на сайте
Был на сайте: 7 лет 2 месяцев назад
Зарегистрирован: 22.03.2008 - 22:15
Публикации: 54876

 

Современные методы диагностики и лечения синдрома Мириззи

В.И. Лупальцов, Е.Д. Хворостов , Р.Н. Гринёв, С.А. Бычков
Харьковский государственный медицинский университет, Харьковский национальный университет им. В.Н. Каразина

г. Харьков, Украина
С неуклонным развитием видеолапароскопической техники и приобретением коллективного опыта наблюдается необратимый процесс сужения противопоказаний и расширения возможностей лапароскопических технологий. До недавнего времени синдром Мириззи считался одним из противопоказаний для выполнения лапароскопическая холецистэктомия. По данным литературы синдром Мириззи диагностируется у 2,7-5% больных с различными формами желчнокаменной болезни. В последнее время большое внимание уделяется классификации синдрома Мириззи, методам дооперационной диагностики, а также различным методам хирургической коррекции, в том числе с использованием видеолапароскопической техники. Предложено несколько классификаций синдрома Мириззи, однако имеются существенные разногласия в эффективности различных методов обследования для выявления синдром Мириззи. В частности в Украине предложены две классификации синдрома Мириззи, которые разработали Владимир Иванович Мамчич и Михаил Ефимович Ничитайло.
Очень важна дооперационная диагностика синдром Мириззи, позволяющая предупредить случайное повреждение внепеченочных желчных протоков во время операции.
Целью работы явилась разработка эффективного комплекса до- и интраоперационного обследования пациентов с желчнокаменнной болезнью для диагностики синдром Мириззи с указанием его типа и на основании полученной информации предложить оптимальные оперативные вмешательства в зависимости от типа выявленного синдром Мириззи, а также оценить их эффективность.
Нами было пролечено 5088 пациентов с различными формами желчнокаменной болезни.
Синдром Мириззи диагностировали у 132 больных, что составило 2,6%. Женщин было 95 (72%), мужчин – 37 (28%).
Возраст больных составил от 27 до 80 лет.
Распределение больных в зависимости от формы воспаления желчного пузыря было следующим: хронический холецистит – 73 больных, острый холецистит – 49, в том числе: острый катаральный холецистит – 23, острый флегмонозный холецистит – 17 и острый гангренозный холецистит у 9 больных.
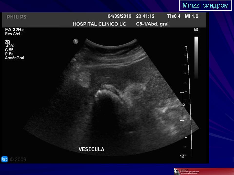
Все больные повергались общеклиническому обследованию, проводилось эндоскопическое исследование верхних отделов желудочно-кишечного тракта. УЗИ желчного пузыря, внутри- и внепеченочных желчных протоков, печени и её ворот, поджелудочной железы, а также желудка и двенадцатиперстной кишки производили с использованием аппарата Philips HDI 4000, в режиме реального времени. Использовали линейные и секторальные датчики с частотой 3,5 Мгц, а также допплеровский и энергетический датчики.
В анамнезе у 84 пациентов с синдром Мириззи были эпизоды механической желтухи. Следует отметить, что в результате возникшего воспаления в желчном пузыре происходит сдавление и нарушение проходимости общего печеночного или общего желчного протоков. Всем больным с механической желтухой в анамнезе была произведена ЭРХПГ. При этом у 12 пациентов исследование выполнить не удалось вследствие анатомических вариантов строения двенадцатиперстной кишки и большого дуоденального соска, а еще у 7 пациентов ЭРХПГ оказалась неинформативной для установления окончательного диагноза. Поэтому в клинике была принята тактика с обязательным выполнением ЛИХГ у пациентов с механической желтухой при поступлении или в анамнезе, расширении общего желчного протока по данным УЗИ свыше 10 мм, повышении уровня общего билирубина и его фракций, повышенных показателях АСТ, АЛТ и ЩФ.
Лапароскопическую холецистэктомию выполняли по общепринятой методике в условиях пневмоперитонеума из 4 троакарных точек. Диагноз синдрома Мириззи устанавливали интраоперационно при ревизии шейки желчного пузыря, элементов треугольника Кало, гепатодуоденальной связки и её элементов. Также диагноз верифицировали по результатам ЛИХГ, которая выполнялась через надсеченный пузырный проток до проведения холецистэктомии. Основываясь на данных УЗИ и ЭРХПГ, полученных до операции, а также субоперационных данных, определяли дальнейшую тактику лечения.
Результаты исследования и их обсуждение. Оценивая результаты УЗИ, которое было выполнено до операции, следует отметить, что использование новейшего ультразвукового сканера Philips HDI 4000 позволило у 89 (67,4%) пациентов установить диагноз синдром Мириззи. При оценке эхограмм нами придавалось значение размерам и расположению конкремента в желчном пузыре, интимному прилеганию гартмановского кармана с расположенным в нем конкрементом к правому либо общему печеночным протокам, признакам сдавления конкрементом общего желчного протока, наличию расширения внутри- и внепеченочных желчных протоков (рис.1,2). При оценке результатов ЭРХПГ патогномоничным для синдром Мириззи считали характерное сдавление извне общего желчного протока, либо наличие холецистохоледохеального свища, что было установлено у 77 (58,3%) больных.
Ультразвуковая семиотика синдрома Мириззи


Ультразвуковые признакиКоличество больных
Не лоцируется стенка желчного пузыря в области прилегания к гепатикохоледоху23 (28%)
Вклиненный крупный конкремент в шейку желчного пузыря59 (71,9%)
Расширение гепатикохоледоха выше места прилегания желчного пузыря18 (21,9%)
Деформация стенки гепатокохоледоха в месте прилегания желчного пузыря11 (13,4%)
«Сморщенный» желчный пузырь6 (7,3%)
Всего82 (100%)

Нами выделено два типа синдром Мириззи. синдром Мириззи І типа – камень, вклиненный в пузырный проток и в шейку желчного пузыря вызывает сдавление общего печеночного или общего желчного протоков был диагностирован у 103 (78%) пациентов. Синдром Мириззи ІІ типа был представлен сформированным холецистохоледохеальным свищом у 29 (22%) больных. Окончательный диагноз был подтвержден интраоперационно, причем окончательным методом диагностики мы считали ЛИХГ, эффективность которой в нашем исследовании достигала 100%.
При синдроме Мириззи І типа мы выполняли лапароскопическую холецистэктомию. При этом имелись значительные морфологические изменения тканей в зоне оперативного вмешательства, однако при хорошем знании топографо-анатомических вариантов строения образований в зоне гепатодуоденальной связки и тщательных, бережных манипуляциях, лапароскопическая холецистэктомия оказалась успешной у 87 (65,9%) больных с синдромом Мириззи.
У 16 (12,1%) пациентов после лапароскопической ревизии подпеченочного пространства выполнение лапароскопической холецистэктомии было признано рискованным без попыток выделения пузырного протока и пузырной артерии (плотный инфильтрат, обширный спаечный процесс в зоне треугольника Кало). У этих больных была осуществлена конверсия к традиционной (открытой) холецистэктомии.
В 29 (22%) случаях сформированного холецисто-холедохеального свища (II тип синдрома Мириззи) выполнялась традиционная холецистэктомия с интраоперационной холангиографией и санацией холедоха растворами антисептиков. Оперативное вмешательство завершали пластикой холедоха на Т-образном дренаже при наличии дефекта не более чем на 13 окружности общего желчного протока (11 случаев ). При больших размерах дефекта предпочтение отдавали созданию билиодигестивного анастомоза. В 7 случаях было произведено наложение холедоходуоденоанастомоза по Юрашу-Виноградову и 11 больным произвели гепатикоеюностомию на выключенной петле тонкой кишки по Ру. Следует отметить, что при оценке отдаленных результатов выполненных оперативных вмешательств наилучшие результаты были получены у пациентов, которым производилось выполнение гепатикоеюностомии с анастомозом по Ру.
У пациентов, которым выполнялась лапароскопическая холецистэктомия, не отмечалось послеоперационных осложнений. В случае выполнения оперативного вмешательства из лапаротомного доступа у 2 пациентов отмечалось нагноение операционной раны и у 3 – послеоперационная пневмония. Летальных исходов не было.
Дальнейшая разработка алгоритмов диагностических и лечебных мероприятий при выявлении синдром Мириззи позволит избежать большого числа травм желчных путей и других жизненно важных анатомических структур, уменьшить частоту перехода на лапаротомию при осложненных формах холецистита и исключить осложнения, связанные с нарушениями желчеоттока. Перспективным направлением дальнейших исследований является широкое внедрение полностью лапароскопических методик для лечения данной патологии.
Выводы.
1. Наличие в анамнезе механической желтухи, расширения общего желчного протока по данным УЗИ свыше 10 мм, повышения уровня общего билирубина и его фракций, повышенных показателях АСТ, АЛТ и ЩФ у пациентов с ЖКБ является показанием к проведению углубленного обследования для установления синдром Мириззи.
2. Наибольшей ценностью при диагностике синдром Мириззи обладают, по нашим данным, УЗИ (67,4%) и ЭРХПГ (58,3%).
3. При подозрении на синдром Мириззи всем пациентам показано выполнение ЛИХГ, при этом диагностическая ценность данного метода приближается к 100%.
4. Операцией выбора у больных при CM I типа является лапароскопическая холецистэктомия. При невозможности лапароскопического оперативного вмешательства и при синдром Мириззи ІІ типа предпочтение следует отдавать традиционной холецистэктомии с дренированием холедоха либо гепатикоеюноанастомозу по Ру.     

Катенёв Валентин Львович аватар
Не на сайте
Был на сайте: 7 лет 2 месяцев назад
Зарегистрирован: 22.03.2008 - 22:15
Публикации: 54876

 

Характерными рентгенологическими симптомами первой формы синдрома Мириззи при рентгеноэндоскопическом исследовании являются:
1.  сужение просвета гепатикохоледоха в любом из его отделов;
2.  гладкие внутренние контуры на протяжении сужения протока;
3.  супрастенотическое расширение желчных протоков;
4.  смещение протока в сторону от его обычного направления.
Второй формой синдрома Мириззи можно считать формирование свища между желчным пузырем и гепатикохоледохом независимо от места расположения свищевого отверстия. Отметим характерные рентгенологические симптомы свища между желчным пузырем и общим печеночным протоком:
1.  патологическое сообщение между желчным пузырем и общим печеночным протоком в обход пузырного протока;
2.  сужение просвета общего печеночного протока, обусловленное конкрементом, не полностью вышедшим из желчного пузыря;
3.  неконтрастирование пузырного протока.
Катенёв Валентин Львович аватар
Не на сайте
Был на сайте: 7 лет 2 месяцев назад
Зарегистрирован: 22.03.2008 - 22:15
Публикации: 54876

Синдром Мириззи

Приложения: 
i0003rp.jpgi0004rp.jpgi0005rp.jpgi0006rp.jpgi0007rp.jpgi0008rp.jpgi0009rp.jpg
Катенёв Валентин Львович аватар
Не на сайте
Был на сайте: 7 лет 2 месяцев назад
Зарегистрирован: 22.03.2008 - 22:15
Публикации: 54876

Продолжение.

Приложения: 
1.mir_.slayd143.jpg