Синдром. Вундерлих синдром. +

Вундерлих синдром.

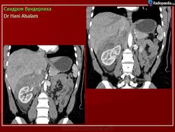
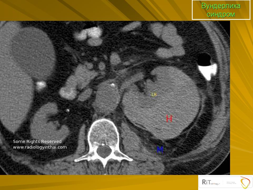
Вундерлих синдром - ndash; спонтанной, нетравматических почечной кровотечение ограничивается субкапсулярной и паранефральный пространстве. Это может быть первым проявлением почечной angiomyolipoma.

Синдром Вундерлиха. В русскоязычной литературе описывается как периренальная гематома, возникающая в результате сотрясения тела или удара в область почек (иначе говоря, травматического генеза). В англоязычной литературе описывается как нетравматическое кровоизлияние в подкапсульное или околопочечное пространство, часто как дебют ангиомиолипомы.