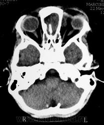
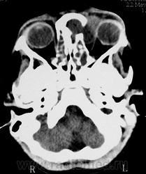
Орбитальная патология. Черепно-мозговые грыжи. +

Фронто-орбитальное энцефалоцеле

 

Отдел патологии, школа медицинских наук.
Государственного Университета Кампинас (UNICAMP).
Кампинас, Сан-Паулу, Бразилия.