ГМ. Агенезия мозолистого тела. +

Агенезия мозолистого тела.

Heron Вернер, MD, Pedro Daltro, MD
Клиника де Diagnóstico пор Imagem (CDPI), Институт Fernandes Figueira (IFF) - FIOCRUZ
Рио-де-Жанейро - Бразилия

 

Дороти I. Bulas MD, профессор радиологии и педиатрии
Национального медицинского центра Университета Джорджа Вашингтона

Комментарии Nela.

 

Агенезия. Колпоцефалия - расширение задних рогов. Киста межполушарной щели. Параллельность боковых желудочков - тоже признак агенезии, как и колпоцефалия и высокое расположение крыши третьего желудочка.

1. На аксиальной Т2 колпоцефалия (стрелки) у 29 недельного плода.

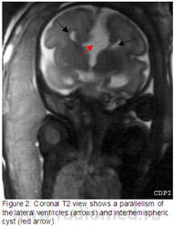
2. На коронарной Т2 параллельность боковых желудочков (стрелки) и межполушарная киста (красная стрелка).

3. и 4. На саг. Т2 колпоцефалия (стрелка)

5. На акс. Т2 колпоцефалия у 30 недельного плода. Обратите внимание, что 3 желудочек расширен и расположен высоко.

6. На Саг. Т2 колпоцефалия (стрелки)

7. На акс. Т2 медиальные стенки боковых желудочков отодвинуты от серповидного отростка, задние рога расширены (стрелки).

8. На саг.Т2 нормальная задняя черепная ямка и нормальнй мозжечок (красн.стрелка). Расширены задние рога (стрелки).

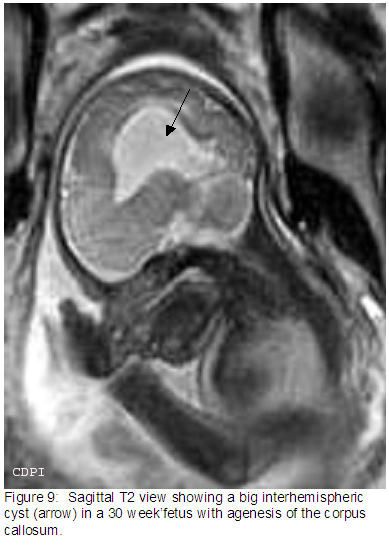
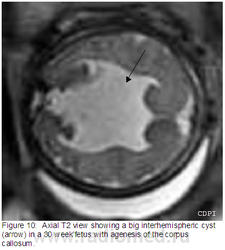
9. На саг.Т2 большая межполушарная киста (стрелка) у 30 недельного плода с агенезией мозолистого тела.

10. На акс.Т2 большая межполушарная киста

 

 

 

Катенёв Валентин Львович аватар
Не на сайте
Был на сайте: 7 лет 4 месяцев назад
Зарегистрирован: 22.03.2008 - 22:15
Публикации: 54876

E Mulroy, MD, E Кавана, доктор медицинских наук, Отделение нейрорадиологии, Mater Misericordiae University Hospital, Эклс Street, Dublin 7, Ирландия.

Приложения: 
12052011botleftageneziya_mozolistogo_tela.jpg12052011botrightageneziya_mozolistogo_tela.jpg12052011topleftageneziya_mozolistogo_tela.jpg12052011toprightageneziya_mozolistogo_tela.jpg
Катенёв Валентин Львович аватар
Не на сайте
Был на сайте: 7 лет 4 месяцев назад
Зарегистрирован: 22.03.2008 - 22:15
Публикации: 54876

Дисгенезия мозолистого тела

http://radiopaedia.org/articles/dysgenesis-of-the-corpus-callosum

Агенезия мозолистого тела

http://emedicine.medscape.com/article/407730-overview#showall

Случаи и цифры

  •  
    Рисунок 1: внешний вид лосины
  •  
    Случай 1: корональное ультразвуковое исследование
  •  
    Рисунок 2: знак гоночного автомобиля
  •  
    Случай 2: частичное агенезис
  • Каллозальные дисгенезы ...
     
    Случай 3: с липомой
  •  
    Случай 4: с дорзальной кистой
  • Каллозальные дисгенезы ...
     
    Случай 5: с дорзальной кистой
  •  
    Случай 6: с эктопическим задним гипофизом
  • Каллозальные дисгенезы ...
     
    Случай 7
  •  
    Случай 8
  • Лента липома с ...
     
    Случай 9: с липомой
  •  
    Случай 10: знак лося
  • аксиальный
     
    Случай 11
  •  
    Случай 12
  •  
    Случай 13
  • параллельный вентилятор ...
     
    Случай 14
  •  
    Случай 15
  •  
    Случай 16
  •  
    Случай 17
  •  
    Случай 18
  •  
    Случай 19: агенезис с широкораспределенными желудочками
  •  
    Случай 20
  •  
    Случай 21
  •  
    Случай 22
  •  
    Случай 23
  •  
    Случай 24
  • Выдающийся третий ...
     
    Случай 25
  •  
    Случай 26