Онкология. Хондробластома. +

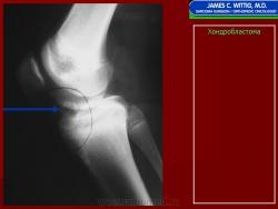
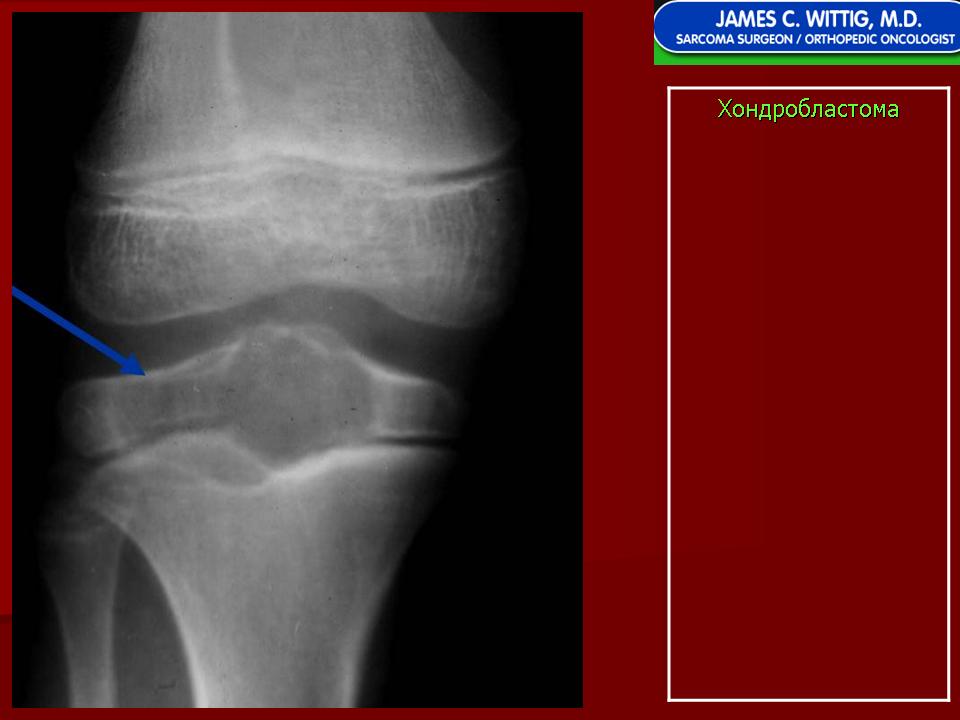
Хондробластома — это редкая доброкачественная опухоль, локализующаяся, главным образом, в эпифизе и отличающаяся своеобразным клеточным составом. Ткань новообразования представлена овальными, округлыми и веретеновидными клетками, напоминающими незрелые хондроциты (хондробласты). Зрелый гиалиновый хрящ определяется лишь в некоторых опухолях. Возраст больных варьирует. Мужчины поражаются в два раза чаше женщин. Пациенты предъявляют жалобы на боли в течение нескольких месяцев или лет, у некоторых больных определяются внутрисуставной выпот, припухлость и ограничение движений. Наиболее типичная локализация опухоли — проксимальные эпифизы плечевой и большеберцовой костей, а также дистальный эпифиз бедренной кости. У 20 % больных опухоль развивается в плоских или коротких трубчатых костях, преимущественно в пяточной и таранной. Изредка поражаются кости лицевого черепа, в том числе височная. В большинстве случаев новообразование выходит за пределы эпифиза и распространяется на метафиз. На фоне остеолиза обнаруживаются рассеянные участки обызвествления в виде пунктирных линий, а также разреженный трабекулярный рисунок. Хондробластома, как правило, не выходит за пределы кости, но изредка проникает в полость сустава. В процессе роста опухоли иногда возникает вторичная аневризматическая костная киста.

Катенёв Валентин Львович аватар
Не на сайте
Был на сайте: 7 лет 5 месяцев назад
Зарегистрирован: 22.03.2008 - 22:15
Публикации: 54876

Наблюдение  Франк Гайар

Приложения: 
1.f.slayd145.jpg2.f.slayd146.jpg3.f.slayd147.jpg4.f.slayd148.jpg5.f.slayd149.jpg6.f.slayd150.jpg7.f.slayd151.jpg8.f.slayd152.jpg9.f.slayd153.jpg10.f.slayd154.jpg
Катенёв Валентин Львович аватар
Не на сайте
Был на сайте: 7 лет 5 месяцев назад
Зарегистрирован: 22.03.2008 - 22:15
Публикации: 54876

Продолжение.

Приложения: 
1.h.slayd106.jpg2.h.slayd107.jpg3.h.slayd108.jpg4.h.slayd109.jpg5.h.slayd110.jpg1.h.slayd111.jpg1.h.slayd112.jpg2.h.slayd113.jpg3.h.slayd114.jpg4.h.slayd115.jpg5.h.slayd116.jpg6.h.slayd117.jpg7.h.slayd118.jpg8.h.slayd119.jpg
Катенёв Валентин Львович аватар
Не на сайте
Был на сайте: 7 лет 5 месяцев назад
Зарегистрирован: 22.03.2008 - 22:15
Публикации: 54876

Рентгенологически хондробластома представляет собой сравнительно большой (2-4 см) очаг округлой формы, четко отграниченный от окружающей кости склеротической каймой. На фоне очага в большинстве случаев, но не обязательно определяются плотные включения, напоминающие хлопья ваты.

 

 

Приложения: 
1.u.slayd120.jpg1.r.slayd127.jpg2.r._slayd128.jpg
Катенёв Валентин Львович аватар
Не на сайте
Был на сайте: 7 лет 5 месяцев назад
Зарегистрирован: 22.03.2008 - 22:15
Публикации: 54876

Наблюдение д-ра Франк Гайар

Приложения: 
1.g.slayd121.jpg2.g.slayd122.jpg3.g.slayd123.jpg4.g.slayd124.jpg5.g.slayd125.jpg6.g.slayd126.jpg
Катенёв Валентин Львович аватар
Не на сайте
Был на сайте: 7 лет 5 месяцев назад
Зарегистрирован: 22.03.2008 - 22:15
Публикации: 54876

Наблюдение д-ра Ангелы Берн

Приложения: 
1.a.slayd129.jpg2.a.slayd130.jpg3.a.slayd131.jpg4.a.slayd132.jpg5.a.slayd133.jpg6.a.slayd134.jpg
Катенёв Валентин Львович аватар
Не на сайте
Был на сайте: 7 лет 5 месяцев назад
Зарегистрирован: 22.03.2008 - 22:15
Публикации: 54876

Наблюдение д-ра Франк Гайар

Приложения: 
1.g.slayd135.jpg2.g.slayd136.jpg3.g.slayd137.jpg4.g.slayd138.jpg5.g.slayd139.jpg6.g.slayd140.jpg7.g.slayd141.jpg8.g.slayd142.jpg9.g.slayd143.jpg10.g.slayd144.jpg
Катенёв Валентин Львович аватар
Не на сайте
Был на сайте: 7 лет 5 месяцев назад
Зарегистрирован: 22.03.2008 - 22:15
Публикации: 54876

Продолжение.

Приложения: 
1.hb_.slayd183.jpg1.h.slayd98.jpg2.h.slayd99.jpg3.h.slayd100.jpg4.h.slayd101.jpg1.h.slayd189.jpg2.h.slayd190.jpg3.h.slayd191.jpg4.h.slayd192.jpg5.h.slayd193.jpg6.h.slayd194.jpg7.h.slayd195.jpg
Катенёв Валентин Львович аватар
Не на сайте
Был на сайте: 7 лет 5 месяцев назад
Зарегистрирован: 22.03.2008 - 22:15
Публикации: 54876

Продолжение.

Приложения: 
8.h.slayd196.jpg9.h.slayd197.jpg10.h.slayd198.jpg11.h.slayd199.jpg12.h.slayd200.jpg13.h.slayd201.jpg14.h.slayd202.jpg
Катенёв Валентин Львович аватар
Не на сайте
Был на сайте: 7 лет 5 месяцев назад
Зарегистрирован: 22.03.2008 - 22:15
Публикации: 54876

Поднадкостничная хондробластома.

Приложения: 
1.p.slayd56.jpg2.p.slayd57.jpg3.p.slayd58.jpg4.p.slayd59.jpg5.p.slayd60.jpg6.p.slayd61.jpg
Катенёв Валентин Львович аватар
Не на сайте
Был на сайте: 7 лет 5 месяцев назад
Зарегистрирован: 22.03.2008 - 22:15
Публикации: 54876

Продолжение.

Приложения: 
1.h.slayd150.jpg
Катенёв Валентин Львович аватар
Не на сайте
Был на сайте: 7 лет 5 месяцев назад
Зарегистрирован: 22.03.2008 - 22:15
Публикации: 54876

Хондробластома

Приложения: 
1.yu_.slayd29.jpg2.yu_.slayd30.jpg3.yu_.slayd31.jpg4.yu_.slayd32.jpg5.yu_.slayd33.jpg6.yu_.slayd34.jpg7.yu_.slayd35.jpg
Катенёв Валентин Львович аватар
Не на сайте
Был на сайте: 7 лет 5 месяцев назад
Зарегистрирован: 22.03.2008 - 22:15
Публикации: 54876

Хондробластома

Приложения: 
1.ho_.slayd119.jpg2.ho_.slayd120.jpg3.ho_.slayd121.jpg4.ho_.slayd122.jpg5.ho_.slayd123.jpg6.ho_.slayd124.jpg7.ho_.slayd125.jpg8.ho_.slayd126.jpg9.ho_.slayd127.jpg
Катенёв Валентин Львович аватар
Не на сайте
Был на сайте: 7 лет 5 месяцев назад
Зарегистрирован: 22.03.2008 - 22:15
Публикации: 54876

Хондробластома

Приложения: 
1.hon_.slayd86.jpg2.hon_.slayd87.jpg
Катенёв Валентин Львович аватар
Не на сайте
Был на сайте: 7 лет 5 месяцев назад
Зарегистрирован: 22.03.2008 - 22:15
Публикации: 54876

.

Приложения: 
1.ogl_.slayd148.jpg2.ogl_.slayd175.jpg3.ogl_.slayd176.jpg4.ogl_.slayd178.jpg
Катенёв Валентин Львович аватар
Не на сайте
Был на сайте: 7 лет 5 месяцев назад
Зарегистрирован: 22.03.2008 - 22:15
Публикации: 54876

Хондробластома

Приложения: 
11.hon_.slayd58.jpg12.hondro.slayd59.jpg13.hondro.slayd60.jpg14.hondro.slayd61.jpg
Катенёв Валентин Львович аватар
Не на сайте
Был на сайте: 7 лет 5 месяцев назад
Зарегистрирован: 22.03.2008 - 22:15
Публикации: 54876

Хондробластома

Приложения: 
11.hon_.slayd53.jpg12.hon_.slayd54.jpg13.hon_.slayd55.jpg14.hon_.slayd56.jpg15.hon_.slayd57.jpg16.hon_.slayd62.jpg17.hon_.slayd63.jpg18.hon_.slayd64.jpg19.hon_.slayd65.jpg20.hon_.slayd66.jpg
Катенёв Валентин Львович аватар
Не на сайте
Был на сайте: 7 лет 5 месяцев назад
Зарегистрирован: 22.03.2008 - 22:15
Публикации: 54876

Хондробластома

Приложения: 
1.h.slayd144.jpg2.h.slayd145.jpg3.h.slayd146.jpg11.h.slayd136.jpg12.h.slayd137.jpg13.h.slayd138.jpg14.h.slayd139.jpg15.h.slayd140.jpg
Катенёв Валентин Львович аватар
Не на сайте
Был на сайте: 7 лет 5 месяцев назад
Зарегистрирован: 22.03.2008 - 22:15
Публикации: 54876

Хондробластома

Приложения: 
1.hon_.slayd64.jpg2.hon_.slayd65.jpg2.hon_.slayd66.jpg3.hon_.slayd67.jpg4.hon_.slayd68.jpg5.hon_.slayd69.jpg6.hon_.slayd70.jpg
Катенёв Валентин Львович аватар
Не на сайте
Был на сайте: 7 лет 5 месяцев назад
Зарегистрирован: 22.03.2008 - 22:15
Публикации: 54876

 

Хондробластома (кальцифицирующаяся гигантоклеточная опухоль, эпифизарная хондроматозная гигантоклеточная опухоль) - доброкачественная, хрящевая опухоль, развивающаяся в эпифизарных отделах костей. В настоящем исследовании хондробластома выявлена у 5 мужчин и 3 женщин.

Рентгенологическая картина. Хондробластома выглядит как небольшой, от 3 до 6 см литический очаг, центрально или эксцентрично расположенный, с четкими контурами, занимающий около половины площади эпифизарной зоны. Хондробластома плоских костей и мелких трубчатых костей больших размеров, может сопровождаться припухлостью мягких тканей, вздутием кости и периостальной реакцией. Распространение процесса на метафизарную зону встречается часто.

Макроскопическая картина при хондробластоме выявляет характерные опухолевые структуры. Фрагменты опухолевой ткани, полученные при кюретаже обычно серовато-желтые, зернистые. Нередко отмечается кистообразование.

Микроскопическая картина. При гистологическом исследовании обнаруживаются однотипные овальные или полигональные хондробласты с четко контурированной границей нежной, эозинофильной цитоплазмы и округлым или овальным ядром. Нежные, эозинофильные включения хондроидного вещества различной величины, также характерны для данной опухоли. Зрелый гиалиновый хрящ встречается редко. Важным диагностическим признаком является сетчатое, межклеточное, базофильное обызвествление, напоминающее проволочную изгородь. Формирование вторичной аневризмальной кисты наблюдается в трети всех случаев хондробластомы.

Иммунофенотип. Хондробласты обычно положительно реагируют с S-100 и виментином. Положительная реакция опухолевой ткани с другими маркерами, включая цитокератины, также широко документированы в литературе, однако не выявлено специфических для данной опухоли маркеров.

Катенёв Валентин Львович аватар
Не на сайте
Был на сайте: 7 лет 5 месяцев назад
Зарегистрирован: 22.03.2008 - 22:15
Публикации: 54876

Хондробластома

Приложения: 
1.hondroblastomaslayd81.jpg0.slayd2_.jpg
Катенёв Валентин Львович аватар
Не на сайте
Был на сайте: 7 лет 5 месяцев назад
Зарегистрирован: 22.03.2008 - 22:15
Публикации: 54876

Хондробластома — это редкая доброкачественная опухоль, локализующаяся, главным образом, в диафизах и отличающаяся своеобразным клеточным составом. Ткань новообразования представлена овальными, округлыми и веретеновидными клетками, напоминающими незрелые хондроциты (хондробласты). Зрелый гиалиновый хрящ определяется лишь в некоторых опухолях. Возраст больных варьирует от 3 до 72 лет. Мужчины поражаются в два раза чаше женщин. Пациенты предъявляют жалобы на боли в течение нескольких месяцев или лет, у некоторых больных определяются внутрисуставной выпот, припухлость и ограничение движений. Наиболее типичная локализация опухоли — проксимальные эпифизы плечевой и большеберцовой костей, а также дистальный эпифиз бедренной кости. У 20 % больных опухоль развивается в плоских или коротких трубчатых костях, преимущественно в пяточной и таранной. Изредка поражаются кости лицевого черепа, в том числе височная. При рентгенологическом исследовании видна типичная картина злокачественной опухоли остеолитического типа. В большинстве случаев новообразование выходит за пределы эпифиза и распространяется на метафиз. На фоне остеолиза обнаруживаются рассеянные участки обызвествления в виде пунктирных линий, а также разреженный трабекулярный рисунок. Хондробластома, как правило, не выходит за пределы кости, но изредка проникает в полость сустава. В процессе роста опухоли иногда возникает вторичная аневризматическая костная киста. Хондробластома — это доброкачественная опухоль, поэтому для ее лечения используется кюретаж с последующей костной пластикой. У некоторых больных в течение 3 лет после этого возникает рецидив, для лечения которого также используется кюретаж или же резекция опухоли. Примерно 1 % хондробластом отличается агрессивным местным ростом и метастазирует в легкие, причем метастазы могут выявляться спустя многие годы после обнаружения первичного узла. Некоторые хондробластомы прорастают в окружающие мягкие ткани, но при этом не метастазируют. Описаны случаи малигнизации этого новообразования после лучевой терапии с формированием фибро-или остеосаркомы. Макроскопический вид хондробластомы варьирует. Обычно опухоль состоит из зернистой ткани желтовато-серого или буровато-серого цвета, в которой определяются кровоизлияния и аневризматические кисты. Видны также голубовато-серые участки, соответствующие хондроидному матриксу. Точечные желтоватые вкрапления соответствуют очагам обызвествления или реактивного остеогенеза. По периферии опухоли определяется поясок склерозированной костной ткани. Микроскопическая картина зависит, главным образом, от количества хондроидного матрикса, продуцируемого опухолевыми клетками, а также от распространенности некроза, наличия аневризматических кист. Обращает на себя внимание клеточный полиморфизм. Наибольшее число клеток составляют хонлробласты с четкими контурами, в которых определяются округлые или овальные ядра, окруженные зоной просветления. Ядра клеток расщепленные, с глубокими инвагинациями и вдавлениями. Ядерный хроматин выглядит мелкораспыленным или в виде скоплений неправильной формы. Число фигур митоза в опухоли обычно невелико, и они определяются только в 75 % случаев. Лишь изредка это число превышает 4 на 10 полей зрения при большом увеличении микроскопа. Атипичный митоз не встречается. Клеточный атипизм обнаруживается лишь у 20—30 % хондробластом. Обычно это крупные неправильной формы клетки с гиперхромными ядрами. По-видимому, их наличие не является неблагоприятным прогностическим признаком. В некоторых участках границы между хондробластами неотчетливые, и общая картина приобретает вид синцития. Наряду с округлыми элементами в опухоли встречаются и веретеновидные клетки, которые образуют гнездные скопления или же равномерно вкраплены между типичными клетками. Встречаются также многоядерные клетки, часть которых очень похожи на крупные остеокласты. Все вышеописанные клетки дают положительную реакцию на SlOO-протеин, нейронспецифическую энолазу и виментин.
Характерной особенностью большинства хондробластом является формирование эозинофильного хондроидного матрикса с мелкими хондробластами и немногочисленными зрелыми хондроцитами. Порой этот матрикс трудно обнаружить, так как он рассеян в различных отделах опухоли и объем его невелик. В некоторых опухолях определяется миксоидная строма с веретеновидными или звездчатыми клетками. В толще хондроидного матрикса или вокруг самих клеток опухоли видны отложения солей кальция. Особенно часто такое обызвествление встречается в дистрофически измененных или некротизированных опухолях. 

Катенёв Валентин Львович аватар
Не на сайте
Был на сайте: 7 лет 5 месяцев назад
Зарегистрирован: 22.03.2008 - 22:15
Публикации: 54876

Хондробластома

Приложения: 
0.3.cover_.gif1.f1.mediumchondroblastomas.gif
Катенёв Валентин Львович аватар
Не на сайте
Был на сайте: 7 лет 5 месяцев назад
Зарегистрирован: 22.03.2008 - 22:15
Публикации: 54876

Хондробластома основания черепа

minDsc163017+.jpg   
F. 17 a.  Condroblastoma da base do crânio (osso temporal)
Катенёв Валентин Львович аватар
Не на сайте
Был на сайте: 7 лет 5 месяцев назад
Зарегистрирован: 22.03.2008 - 22:15
Публикации: 54876
Fig. 19. Chondrobastoma: An expansile lesion involving theepiphysis, physis and metaphysis of the humerus is depicted. The lucent lesion shows cortex destruction and spotty matrix calcifications.
 
Катенёв Валентин Львович аватар
Не на сайте
Был на сайте: 7 лет 5 месяцев назад
Зарегистрирован: 22.03.2008 - 22:15
Публикации: 54876

Из литературных источников

Приложения: 
y11slayd88.jpgy11slayd89.jpg
Катенёв Валентин Львович аватар
Не на сайте
Был на сайте: 7 лет 5 месяцев назад
Зарегистрирован: 22.03.2008 - 22:15
Публикации: 54876

С Радиопедии.

 

Приложения: 
fe4616af9762eefc5d3f827fe34b7f_jumbo1.jpg
Катенёв Валентин Львович аватар
Не на сайте
Был на сайте: 7 лет 5 месяцев назад
Зарегистрирован: 22.03.2008 - 22:15
Публикации: 54876
Катенёв Валентин Львович аватар
Не на сайте
Был на сайте: 7 лет 5 месяцев назад
Зарегистрирован: 22.03.2008 - 22:15
Публикации: 54876

Хондробластома ребра у 47-летнего мужчины

https://www.ncbi.nlm.nih.gov/pmc/articles/PMC5723794/

Хондробластома. Частота рецидивов.

https://www.ncbi.nlm.nih.gov/pmc/articles/PMC3997782/

Злокачественная хондробластома экстраскелетного происхождения

https://www.ncbi.nlm.nih.gov/pmc/articles/PMC4830158/

Хондробластическая остеосаркома дистального отдела большеберцовой кости, отчет о редком случае

https://www.ncbi.nlm.nih.gov/pmc/articles/PMC5511719/

 

 

Катенёв Валентин Львович аватар
Не на сайте
Был на сайте: 7 лет 5 месяцев назад
Зарегистрирован: 22.03.2008 - 22:15
Публикации: 54876

Рецидив хондробластомы.

https://www.ncbi.nlm.nih.gov/pmc/articles/PMC4898171/

Хондробластома. Редкая локализация хондробластомы - внутричерепная,

https://www.ncbi.nlm.nih.gov/pmc/articles/PMC5409384/

Использование denosumab в рецидивирующей хондробластоме височной кости

https://www.ncbi.nlm.nih.gov/pmc/articles/PMC5378851/

Катенёв Валентин Львович аватар
Не на сайте
Был на сайте: 7 лет 5 месяцев назад
Зарегистрирован: 22.03.2008 - 22:15
Публикации: 54876

Необычное представление хондробластомы, имитирующей болезнь Тревора.

https://www.ncbi.nlm.nih.gov/pmc/articles/PMC5525486/

Хондробластома пяточной кости, осложненная развитием вторичной аневризматической костной кисты.

https://www.ncbi.nlm.nih.gov/pmc/articles/PMC4963662/

Редкая локализация хондробластомы в области медиальной лодыжки.

https://www.ncbi.nlm.nih.gov/pmc/articles/PMC4845405/