Том 08/№ 3/2006
Поражение плевры при туберкулезе органов дыхания
В.Ю.Мишин
Московский государственный медико-стоматологический университет
Поражение плевры при туберкулезе обусловлено прежде всего тесной топографической связью плевры с легкими и внутригрудными лимфатическими узлами, а также патофизиологическими, биохимическими и иммунологическими сдвигами, наступающими в организме при этом заболевании.
Определенное значение в патогенезе поражения плевры при туберкулезе и их течении имеет строение плевры. В ней различают шесть последовательно расположенных слоев: мезотелиальный, пограничную мембрану, поверхностный слой тонких коллагеновых волокон, сеть эластических волокон, или так называемую окончатую мембрану с круглыми и щелевидными отверстиями, глубокую сеть толстых эластических волокон и, наконец, глубокий и наиболее мощный коллагеновый решетчатый слой, в котором проходят лимфатические сосуды.
Структура легочной и париетальной плевры характеризуется некоторыми особенностями. В париетальной плевре более выражен слой эластических волокон; в ней лучше, чем в легочной плевре, дифференцируются остальные слои. Кроме того, строение париетальной плевры различно на уровне ребер и межреберных промежутков. Соединительнотканный слой плевры в области ребер компактный и представляет собой прочный каркас. В плевре, покрывающей межреберные промежутки и диафрагму, находятся так называемые всасывающие и насасывающие "люки", которые представляют собой микроскопические камеры, ограниченные толстыми коллагеновыми волокнами и покрытые изрешетченной мембраной и мезотелием. Благодаря этому здесь создаются благоприятные условия для всасывания жидкости из плевральной полости. Большой резорбционной способностью обладает и медиастинальная плевра, особенно в переднем средостении (В.А.Равич-Щербо, И.П.Парфенова).
Относительно малое участие в процессе всасывания принимает в нормальных условиях легочная плевра, главным образом ее богатые сосудистой сетью образования – ворсинки, так называемые аркады, и сосудистые клубочки в участках, подверженных физиологическому трению.
Таким образом, париетальная плевра является обширной зоной резорбции, между тем как в висцеральной плевре, в которой преобладает кровеносное русло, имеются лучшие условия для пропотевания жидкости.
При специфическом поражении париетальной плевры нарушается всасывание из плевральной полости образовавшегося выпота или микробов. В особенности оно резко замедляется или даже полностью прекращается после образования на поверхности плевры казеозно-некротических масс или массивных наслоений фибрина, часто замуровываются "люки".
При туберкулезном воспалении изменяется и выделительная способность висцеральной плевры. В норме в ее поверхностных слоях, образующих так называемый серозный гематолимфатический барьер, и по межтканевым щелям циркулирует тканевая жидкость, пропотевшая из кровеносных и лимфатических сосудов. Наибольшее количество (0,5–2 мл) жидкости, близкой по своему составу к лимфе и содержащей от 1,38–5,5% белка, всегда находится в межплевральном пространстве. Благодаря этому не только достигаются наилучшие условия для скольжения легкого по внутренней поверхности грудной клетке, но и регулируется диффузия и осмос тканевых веществ, образующихся в париетальной и висцеральной плевре, а также в прилежащих участках легочной ткани, в мышцах грудной клетки.
Морфологическим субстратом специфического поражения плевры является туберкулезное воспаление (бугорковое обсеменение) преимущественно париетальной плевры с последующим расстройством циркуляции плевральной жидкости.
В классификации клинических форм туберкулеза органов дыхания к специфическому поражению плевры относится туберкулезный плеврит – ТП (в том числе эмпиема). Удельный вес ТП среди всех клинических форм туберкулеза – 6–8%.
ТП – клиническая форма туберкулеза органов дыхания, характеризующаяся воспалением плевры и накоплением экссудата в плевральной полости. ТП – относительно частое проявление туберкулеза, преимущественно у лиц молодого возраста.
ТП сравнительно редко встречается как единственное клиническое проявление туберкулеза, чаще он сочетается или является осложнением различных клинических форм туберкулеза. ТП может возникать также при спонтанном пневмотораксе и как осложнение лечебного пневмоторакса.
Впервые Laenneck в 1819 г. высказал мысль о связи между экссудативным плевритом и туберкулезом. В 1896 г. Aschoff впервые, впрыскивая плевральный выпот морским свинкам, доказал, что в 75% случаев экссудат содержит микобактерии туберкулеза (МБТ), так как у животных развивался туберкулез. Нередко первые признаки инфицирования туберкулезом клинически выражаются в виде экссудативного плеврита, в то время как первичный комплекс остается недоступным распознаванию. В подавляющем большинстве случаев все течение туберкулеза, начиная с первых этапов его развития, протекает при участии плевры в туберкулезном процессе. В настоящее время на долю плеврита приходится от 5 до 25% среди всех клинических форм впервые выявленного туберкулеза органов дыхания у взрослых (А.Г. Хоменко, Н.С.Тюхтин, В.А.Соколов, Н.А.Стогова, Р.Ш.Валиев).
ТП сравнительно редко встречается как единственное клиническое проявление туберкулеза, чаще он сочетается или является осложнением различных клинических форм туберкулеза. Плеврит может быть первым, ярко выраженным клиническим проявлением первичного туберкулеза вследствие свежего заражения, а также развивается при хроническом первичном туберкулезе. У таких больных одновременно с плевритом могут быть другие клинические проявления свежего или хронического первичного туберкулеза: фликтены, узловатая эритема, полиартрит, туберкулез периферических лимфатических узлов.
ТП может возникать как осложнение спонтанного и лечебного пневмоторакса по поводу туберкулеза легких как на ранних, так и на поздних этапах его применения.
Выделяют сухой (фибринозный) и экссудативный плеврит. По топографии ТП выделяют: верхушечный, костальный, междолевой медиастинальный, диафрагмальный и панплеврит (поражение всех плевральных щелей).
Сухой (фибринозный плеврит). Сухой или фибринозный плеврит в большинстве случаев возникает при обострении туберкулезного процесса в легких или в лимфатических узлах грудной полости. Изолированно взятый диагноз "сухой плеврит" означает, что основное заболевание осталось нераспознанным. Сухих плевритов с патоморфологической точки зрения не существует. Всякий плеврит, как и воспаление других серозных оболочек, сопровождается выделением экссудата. В одних случаях его так мало, что количество экссудата не поддается определению ни физикально, ни рентгенологическими методами исследования (В.А.Равич-Щербо). Морфологическим субстратом этой формы является туберкулезное воспаление преимущественно в париетальной плевре с последующим расстройством циркуляции плевральной жидкости, но само по себе это не ведет к развитию экссудативного плеврита.
Сухой (фибринозный) ТП часто возникает подостро и протекает с малой субфебрильной температурой, реже начинается остро. Ведущим клиническим признаком является боль в грудной клетке, усиливающаяся при глубоком дыхании и кашле.
Основным диагностическим признаком сухого плеврита следует считать шум трения плевры. В пользу туберкулезной этиологии сухого плеврита говорят молодой возраст, наличие контакта с больным активной формой туберкулеза в анамнезе, положительная проба Манту с 2 ТЕ ППД-Л (особенно вираж), умеренные изменения в гемограмме, иногда выявляется поражение внутригрудных лимфатических узлов или туберкулезный очаг в легком.
При рентгенологическом исследовании выявляется тень уплотненной междолевой плевры.
Улучшение состояния, нормализация температуры тела и уменьшение боли под влиянием противовоспалительной и седативной терапии не исключают возможности туберкулезной этиологии заболевания. В отдельных случаях целесообразно применение проведения пробного курса противотуберкулезной терапии. Необходимо тщательное и повторное рентгенологическое исследование грудной клетки для исключения туберкулезного процесса в легких и внутригрудных лимфатических узлах. Исходом сухого плеврита являются плевральные сращения, верхушечные "плевральные шапки".
Экссудативный плеврит. Патогенетически выделяют 3 основных клинических варианта ТП: аллергический, перифокальный, туберкулез плевры.
Экссудат, возникающий при воспалении плевры, может иметь различный клеточный состав. Выпот при туберкулезе может быть связан с проявлением аллергической реакции серозных оболочек, высыпанием бугорков на плевре и отражать туберкулезное нагноение. Поэтому при исследовании экссудатов нельзя ограничиваться указанием на преобладание в мазке тех или других элементов, а подсчитывать клетки жидкости, особенно при повторных анализах, так как иначе можно не уловить изменения, происходящие при воспалении.
По цитологической картине различают несколько типов плевральных жидкостей: 1) эозинофильный и эозинофильно-лимфоцитарно-нейтрофильный; 3) нейтрофильно-серозный, в котором нейтрофилы остаются почти неповрежденными; 4) гнойный; 5) мононуклеарно-мезотелиальный.
Эозинофильный экссудат наблюдается при ТП в основном при первичном туберкулезе. Преобладать могут эозинофилы, остальные клетки являются лимфоцитами. Наряду с эозинофилами и лимфоцитами встречаются макрофаги, единичные базофилы и нейтрофилы. По клинической картине этот экссудат характеризует благоприятное течение и склонен к быстрому исчезновению.
Лимфоцитарный тип экссудата представляет собой наиболее известную картину туберкулезного выпота.
Нейтрофильный экссудат по внешнему виду может быть как серозным, так и гнойным. При серозном экссудате нейтрофилы остаются в большинстве случаев неповрежденными. Серозный выпот, содержащий нейтрофилы, представляет собой начальную фазу нагноения, это – микрогнойный экссудат. Гнойный экссудат по своему характеру бывает исключительно нейтрофильным, он отличается от серозно-гнойного выпота тем, что все нейтрофилы находятся в стадии дегенерации и значительной деструкции.
Мононуклеарный тип экссудата может состоять из моноцитов, макрофагов, клеток мезотелия и клеток типа моноцитоидных. Моноцитоз в экссудате может быть выражением быстро преходящей фазы в течение экссудативного процесса. Он наблюдается при высыпании бугорков в плевре, причем моноциты обнаруживаются в значительном проценте и располагаются в виде небольших групп. Макрофагальные реакции и слущивание мезотелия выявляются при таких осложнениях, как кровоизлияния в плевральную полость, при хилезных экссудатах, в экссудатах после экстраплеврального пневмолиза. Перерожденные мезотелиальные клетки встречаются при неопластических процессах, мезотелиоме, раке плевры и метастазах рака в плевре.
Аллергический плеврит. В основе туберкулезного аллергического плеврита лежит гиперсенсибилизация организма, которая развивается в организме человека после первичного инфицирования МБТ.
Формы основного процесса, на фоне которых развивается плеврит, включают в себя:
• первичный туберкулез (свежее заражение – первичный комплекс);
• туберкулез внутригрудных лимфатических узлов;
• хронический первичный туберкулез с сенсибилизацией по гиперергическому типу (узловатая эритема, фликтены, полиартрит и др.).
Воспалительная реакция в плевре характеризуется резко выраженными экссудативными изменениями в основном без образования очагов и обсеменения.
Начало острое с повышением температуры тела до 38°С и выше. В этот период происходит быстрое накопление экссудата, вследствие чего появляются тахикардия, одышка, боль в боку, однако эти явления также сравнительно быстро уменьшаются, а затем исчезают. Течение обычно благоприятное и заканчивается выздоровлением. Даже при отсутствии специфического лечения температура тела снижается через 10–15 дней; рассасывание экссудата может произойти в течение месяца и даже ранее. При большом скоплении жидкости отмечается замедленная ее резорбция.
Характер экссудата – серозный, на ранних этапах иногда бывает серозно-геморрагическим. В плевральном экссудате содержится большое количество эозинофилов, при этом повышенное количество эозинофилов наблюдается также в пунктате костного мозга, но в крови их количество обычно нормальное. МБТ в экссудате, как правило, не обнаруживаются.
В анализе крови отмечается повышение СОЭ, часто бывает эозинофилия. Как правило, отмечается повышенная чувствительность к туберкулину. Туберкулиновые пробы проявляются пышной туберкулиновой реакцией.
При рентгенологическом исследовании чаще встречается костальный и междолевой плевриты при отсутствии видимых на рентгенограммах специфических изменений в легких и внутригрудных лимфатических узлах.
Перифокальный плеврит развивается по типу околоочагового воспаления. Чаще всего эту реакцию вызывают пораженные туберкулезом лимфатические узлы средостения и реже субплеврально расположенный туберкулезный очаг.
Клиническая картина заболевания характеризуется острым или подострым началом. Отмечается развитие симптомокомплекса, типичного для экссудативного плеврита. Повышенная температура, потливость, тахикардия и другие явления интоксикации удерживаются более длительное время, чем у больных аллергическим плевритом (3–4 нед и более), т.е. обращает на себя внимание более затяжное течение болезни. Более длительное время сохраняется экссудат в плевральной полости. Несмотря на периодические аспирации, он обычно имеет тенденцию к накоплению в плевральной полости. Период стабилизации заболевания с сохранением экссудата в плевральной полости или его накоплением после эвакуации может продолжаться от 4 до 6 нед с последующей резорбцией выпота и образованием плевральных наслоений. При наблюдении за больными, перенесшими экссудативный плеврит и не подвергшимися противотуберкулезной химиотерапии, в последующем нередко обнаруживают активный туберкулез легких. Туберкулиновые пробы чаще отмечаются нормергические.
Экссудат носит серозный характер, в клеточном составе преобладают лимфоциты. МБТ в экссудате, как правило, не выявляются.
При рентгенологическом исследовании, как правило, выявляются легочные изменения. В случаях, когда накопившийся экссудат не позволяет определить состояние легочной паренхимы, рентгенологическое исследование органов грудной клетки рекомендуется производить немедленно после полной эвакуации жидкости. При этом развитии плеврита в легких можно выявить инфильтративные и деструктивные изменения.
Туберкулез плевры может быть единственным проявлением заболевания, но возможно и сочетание его с другими признаками туберкулеза в первую очередь – с легочным процессом. Туберкулезная каверна при ее субплевральном расположении может прорваться в плевральную полость и вызвать обширный казеозный некроз, сопровождающийся также экссудативной воспалительной реакцией плевры и накоплением выпота.
Для туберкулеза характерны следующие морфологические изменения в плевре:
- множественная диссеминация с образованием мелких, иногда милиарного типа очагов;
- крупные одиночные очаги с элементами казеозного некроза;
- обширная казеозно-некротическая реакция.
Наряду с указанными изменениями в плевре выражена экссудативная реакция, обусловливающая накопление выпота. Патологоанатомические изменения при серозно-фибринозном плеврите выражаются гиперемией глубоких слоев плевры, дегенерацией мезотелия, отеками и слущиванием поверхностного слоя, покрывающегося фибрином.
Клиническая картина туберкулеза плевры разнообразна. При серозном нейтрофильном экссудате характерным является длительное течение заболевания с упорным накоплением выпота. Заболевание, как правило, начинается остро или подостро с повышением температуры тела, хотя у отдельных больных возможно малосимптомное развитие заболевания. Появление туберкулеза плевры сопровождается и другими симптомами интоксикации при остром и подостром начале. У больных появляются слабость, потливость, тахикардия. По мере накопления жидкости развиваются боль в боку, сухой кашель и одышка, которая среди других симптомов выступает на первый план и больше всего беспокоит больных. Интоксикация проявляется также наступающими изменениями в лейкограмме крови: повышается СОЭ, появляется сдвиг нейтрофилов влево, лимфопения, иногда умеренный лейкоцитоз. Симптомы интоксикации у больных удерживаются длительно, постепенно уменьшаясь в интенсивности, и ликвидируются в процессе лечения, в среднем через 2–3 мес – при изолированном плеврите.
В случаях сочетания его с другими проявлениями туберкулеза длительность болезни определяется динамикой, имеющейся у больного клинической формы.
Плевральный выпот в большей или меньшей степени отражается как на дыхании, так и кровообращении. При постепенном скоплении жидкости и спадении легкого одышка выражена слабо. При быстро развивающемся массивном выпоте одышка может оказаться сильной и сопровождаться цианозом. Туберкулиновые пробы преимущественно нормергические. При рассасывании экссудата покрытые фибрином и утолщенные листки плевры часто сращиваются один с другим. В некоторых случаях от плевры к легкому тянутся соединительно-тканные спайки. Таким образом, может развиться плеврогенный пневмосклероз. Легкое в таком случае остается на продолжительное время спавшим и с уменьшенным содержанием воздуха. После излечения процесса формируются остаточные изменения в виде утолщений реберно-диафрагмальной, междолевой плевры и заращений синусов. Утолщения плевры (шварты) могут достигать значительной толщины и протяженности, что зависит от того, сколько осумковалось жидкости и какая ее часть подверглась затем процессу фибринизации (рис. 7, 8).
Экссудат при туберкулезе плевры может быть серозным, лимфоцитарным при развитии плеврита вследствие обсеменения плевры и образования множественных мелких очагов. При казеозном некрозе отдельных крупных очагов экссудат также может быть серозным, но в клеточном составе преобладают нейтрофилы. При более распространенном казеозном некрозе экссудат становится серозно-гнойным, а при обширных поражениях – гнойным. В выпоте у больных туберкулезом плевры иногда выявляются как методом микроскопии, так и при посеве экссудата, МБТ.
При образовании обширного выпота рентгенологическое исследование устанавливает, что сердце и другие органы средостения смещаются к здоровой стороне. Смещение средостения наступает в направлении отрицательного давления. При больших правосторонних плевритах смещение сердца может достичь левой средней подмышечной линии.
Гнойный ТП (эмпиема). Туберкулез плевры, сопровождающийся накоплением гнойного экссудата, представляет собой особую форму экссудативного плеврита – эмпиему. Развивается при распространенном казеозном некрозе плевры. Гнойный ТП может начинаться в связи с прорывом каверны в плевральную полость и образованием бронхоплеврального свища. В этом случае заболевание проявляется клиническими симптомами спонтанного пневмоторакса с явлениями острой дыхательной недостаточности. Лишь через несколько дней у таких больных развивается симптоматика гнойного плеврита, осложненного бронхоплевральным свищом.
Клиническая картина заболевания у большинства больных характеризуется тяжелой интоксикацией: высокая температура тела (до 38–39°С и выше), ночной пот, слабость, бледность, тахикардия, снижение массы тела. Постепенно развивается одышка, может быть сухой кашель, боль в боку. В крови – резкое повышение СОЭ (до 40–60 мм/ч), лимфопения, нейтрофильный сдвиг влево, умеренный или даже высокий лейкоцитоз.
При рентгенологическом исследовании в проекции пристеночной части плевральной полости выявляется полостное образование, заполненное гноем и казеозными массами. При пункции плевральной полости и попадании воздуха возможен горизонтальный уровень жидкости.
При ультразвуковом исследовании плевральной полости определяется полость различных размеров и глубины, заполненная в основном фибрином.
Гнойный плеврит может протекать и без выраженной интоксикации, т.е. характеризуется "холодным" течением. Лишь обращает на себя внимание усиливающаяся одышка, появление цианоза, тахикардии. Диагноз плеврита подтверждается выявлением гнойного экссудата путем плевральной пункции. Неприятный запах – свидетельствует об анаэробной инфекции, черный цвет – предполагает эмпиему, вызванную аспергиллами. Неблагоприятным прогностическим признаком течения эмпиемы плевры является низкий рН и снижение глюкозы менее 0,3 г/л.
При появлении бронхоплеврального свища появляется сообщение между плевральной полостью и бронхиальной системой, через бронх в плевральную полость попадает воздух, и плеврит превращается в пневмоплеврит. О наличии воздуха в плевральной полости можно судить по характерной рентгенологической картине: легкое полностью или частично коллабируется, появляется горизонтальный уровень жидкости. Имеются клинические признаки появившегося бронхиального свища; плевральный экссудат при кашле выделяется больным через рот, иногда с небольшой примесью крови. При эвакуации жидкости отсутствует тянущая боль в боку, появление которой характерно при создании отрицательного давления в плевральной полости при эвакуации экссудата. Если ввести в плевральную полость красящие или ароматические вещества, у больного появляется ощущение их во рту, и с кашлем выделяется окрашенный плевральный экссудат. При достаточно большом и постоянном сообщении плевральной полости с бронхом весь накопившийся экссудат может постепенно удаляться при кашле через рот, особенно в наиболее благоприятной для этого позе больного (постуральный дренаж). При длительном сохранении гнойного экссудата в плевральной полости, если он не эвакуируется путем пункций или эвакуируется не полностью, что часто бывает при бронхоплевральном свище, специфический воспалительный процесс может вызвать флегмонозную инфильтрацию клетчатки и межреберных мышц, и в конечном счете образуется торакальный свищ.
Диагностика ТП
Диагностика заболевания осуществляется на основе комплексного клинико-лабораторного и лучевого обследования больного:
1. Лучевая диагностика (рентгеноскопия, рентгенография, ультразвуковое исследование – УЗИ, компьютерная томография – КТ).
2. Бактериологическая диагностика экссудата (микроскопия и посев плевральной жидкости на питательные среды, ПЦР).
3. Биологическая проба (заражение морских свинок).
4. Изменение рН плевральной жидкости.
5. Биохимические исследования (определение соотношений концентрации белка плевральной жидкости и сыворотки крови и концентрации ЛДГ плевральной жидкости и сыворотки крови.
6. Туберкулинодиагностика (проба Манту с 2 ТЕ ППД-Л, проба Коха с 50 ТЕ ППД-Л).
7. Иммунодиагностика (ИФА определения противотуберкулезных антител в крови и экссудате, РБТЛ с ФГА и PPD и определение концентрации интерферона-g).
8. Биопсия плевры (пункционная игловая биопсия, торакоскопическая биопсия, открытая торакотомическая биопсия).
9. Гистологическое и бактериологическое исследование биоптата.
Характер экссудата. При наличии любого из приведенных признаков плевральный выпот с большей долей вероятности является экссудатом:
• соотношение общего белка плеврального выпота к общему числу белка сыворотки крови составляет более 0,5;
• содержание общего белка в плевральном выпоте более 29 г/л;
• соотношение ЛДГ плеврального выпота к ЛДГ сыворотки крови более 0,6;
• содержание ЛДГ в плевральном выпоте более 0,45 от верхней границы нормы для ЛДГ сыворотки крови;
• содержание холистенина в плевральном выпоте более 450 мг/л.
Характер экссудата на разных этапах туберкулеза плевры может меняться. При частых аспирациях гнойный экссудат становится серозным, нейтрофильным, иногда геморрагическим при создании отрицательного давления в плевральной полости, а при более редких эвакуациях жидкости или прекращении их на короткое время ранее отмечавшийся серозный, нейтрофильный экссудат становится гнойным. В выпоте у больных туберкулезом плевры иногда выявляются МБТ как методом микроскопии, так и при посеве экссудата на питательные среды. У ряда больных в плевральном выпоте высеваются L-формы МБТ.
Клеточный состав. По клеточному составу экссудат может быть лимфоцитарным, когда в клеточном составе преобладают лимфоциты, эозинофильным – при наличии более 15–20% эозинофилов и нейтрофильным – если их число более 20% всего клеточного состава. При большем количестве нейтрофилов в экссудате может меняться и внешний вид его, он становится серозно-гнойным. Лимфоцитарный по клеточному составу экссудат наблюдается при преимущественно экссудативном воспалении плевры без казеозных изменений. В начальной фазе заболевания не следует придавать решающего значения ни лейкоцитарной формуле крови и экссудата, ни количеству белка, ни белковой формуле экссудата. Они приобретают существенное дифференциально-диагностическое значение только в более поздней фазе заболевания.
Бактериология. В экссудатах МБТ можно выявить методом микроскопии жидкости, путем посева ее на питательные среды, путем заражения морских свинок (биологический метод). Наиболее информативным методом выявления МБТ является биологический, при котором заражают лабораторных животных экссудатом.
Исследование плевры. В настоящее время определены возможности получения информации в зависимости от характера биопсии плевры (пункционная игловая биопсия, торакоскопическая биопсия, открытая торакотомическая биопсия), а также при наиболее частых нозологических формах – туберкулезе, раке, мезотелиоме плевры. Наибольшей информативностью обладает торакоскопическая и открытая биопсия. Осмотр плевральной полости при торакоскопии у больных ТП позволяв зависимости от характера биопсии плевры (пункционная игловая биопсия, торакоскопическая биопсия, открытая торакотомическая биопсия), а также при наиболее частых нозологических формах – туберкулезе, раке, мезотелиоме плевры. Наибольшей информативностью обладает торакоскопическая и открытая биопсия. Осмотр плевральной полости при торакоскопии у больных ТП позволяет получить достаточно полное представление о выраженности, характере и распространенности воспалительного процесса. При туберкулезе имеется более выраженная наклонность к образованию плевральных сращений. В этих случаях как париетальная, так и висцеральная плевра была покрыта толстым слоем фибрина без каких-либо проявлений специфического воспаления. Наиболее эффективна биопсия в течение первых 2 мес болезни, поскольку именно в этот период еще имеется "бугорковое воспаление" плевры, которое с течением времени теряет признаки специфичности. Сочетание гистологического и бактериологического методов позволяет верифицировать диагноз ТП у 76,8–100% больных.
Иммунологические исследования. Для диагностики ТП используется метод обнаружения туберкулезных антигенов и противотуберкулезных антител в крови методом ИФА.
Туберкулиновая проба как диагностический тест оказывается высокоинформативной при аллергических плевритах. При этом, как правило, туберкулиновая проба Манту с 2 ТЕ ППД-Л оказывается гиперергической.
Лучевая диагностика. Рентгенологическое обследование в диагностике плеврального синдрома занимает ведущее место. Рентгенологическая картина свободного выпота, когда объем жидкости увеличивается, характеризуется затемнением наружного костно-диафрагмального синуса, части легочного поля над куполом диафрагмы с косой верхней границей тени, что и позволяет предполагать наличие плевральной жидкости уже по обзорной рентгенограмме. Важным элементом обследования является определение признаков свободного растекания жидкости в плевральной полости, для чего применяется латерография. Латерограммы, выполненные одновременно на вдохе и выдохе, позволяют судить о количестве свободно перемещающейся жидкости. Как известно, при туберкулезном плеврите экссудат довольно быстро может подвергаться организации (фибринизации), отграничению или осумкованию. При средних и больших объемах выпота выявить эти признаки возможно лишь при латерографии на больном и здоровом боку, а также при УЗИ и КТ, что полностью подтверждено при сопоставлении этих картин при визуальном торакоскопическом контроле УЗИ и КТ особенно важны при осумкованных плевритах. УЗИ может обнаружить 5 мл плевральной жидкости.
Более 85% всех плевритов приходится на туберкулез, рак, пневмонию, мезотелиому и сердечно-сосудистые заболевания. В этих случаях дифференциальная диагностика, основанная на последовательности исключения (например, сначала туберкулезного, затем парапневмонического и т.д. плеврита), не приемлема. Необходимо применять весь диагностический комплекс исследований для быстрой верификации диагноза. При этом необходимо учитывать, что альтернативным методом диагностики является биопсия плевры и цитологическое и морфологическое исследование биоптата.
ТП чаще развивается в молодом возрасте, характер выпота преимущественно лимфоцитарный, при исследовании выпота МБТ выявляется редко (при люминесцентной микроскопии – 0,5–1%, при посеве на питательные среды – 3–7%). При морфологическом исследовании биоптата плевры диагноз верифицируется в 85–90% случаев.
Парапневмотический плеврит одинаково часто выявляется в различных возрастных группах, характер выпота преимущественно нейтрофильный, возможно установление возбудителя при посеве на питательные среды. Морфологическое исследование биоптата плевры неинформативно.
Раковый плеврит и мезотелиома плевры развивается преимущественно у лиц среднего и пожилого возраста, характер выпота может быть геморрагический, однако не исключается лимфоцитарный и нейтрофильный. При морфологическом исследовании биоптата плевры диагноз верифицируется в 100% случаев.
Рентгеносемиотика плевритов. 1. Экссудативный плеврит.
Классификация плевритов. Этиология, патогенез.
В норме между листками париетальной и висцеральной плевры имеется 1-2 мл жидкости, что позволяет висцеральной плевре скользить вдоль париетальной во время дыхательных движений. Кроме того, такое небольшое количество жидкости осуществляет силу сцепления двух поверхностей.
Плевра покрывает паренхиму легких, средостение, диафрагму и выстилает внутреннюю поверхность грудной клетки. Париетальная и висцеральная плевры покрыты одним слоем плоских мезотелиальных клеток.
Плеврит - воспаление плевральных листков с образованием на их поверхности фибрина (сухой, фибринозный плеврит) или скоплением в плевральной полости экссудата различного характера (экссудативный плеврит).
С учётом этиологического фактора, все плевриты необходимо разделить на две группы:
- инфекционные;
- неинфекционные (асептические).
При инфекционных плевритах воспалительный процесс в плевре обусловлен воздействием инфекционных агентов, при неинфекционных плевритах воспаление плевры возникает без участия патогенных микроорганизмов.
Необходимо помнить, что наиболее часто инфекционные плевриты наблюдаются при пневмониях различной этиологии (пара - и метапневмонические плевриты) и туберкулезе, реже - при абсцессе легкого, нагноившихся бронхоэктазах, поддиафрагмальном абсцессе.
Неинфекционные (асептические) плевриты наблюдаются при следующих заболеваниях:
- злокачественные опухоли (канцероматоз плевры). Это могут быть первичная опухоль плевры (мезотелиома), метастазы злокачественной опухоли в плевру, лимфогранулематоз, лимфосаркома, гемобластозы и другие злокачественные опухоли;
- системные заболевания соединительной ткани (системная красная волчанка, дерматомиозит, склеродермия, ревматоидный артрит);- системные васкулиты;
- травмы грудной клетки, переломы ребер и оперативные вмешательства (травматический плеврит);- инфаркт легкого вследствие тромбоэмболии легочной артерии;
- острый панкреатит (ферменты поджелудочной железы проникают в плевральную полость, и развивается "ферментативный" плеврит);
- инфаркт миокарда (постинфарктный синдром Дресслера);
- геморрагические диатезы;
- хроническая почечная недостаточность ("уремический плеврит").
Среди всех причин плевритов наиболее частыми являются пневмонии, туберкулез, злокачественные опухоли, системные заболевания соединительной ткани.
Классификация
I. Этиология
1. Инфекционные плевриты
2. Асептические плевриты
П. Характер патологического процесса
1. Сухой (фибринозный) плеврит
2. Экссудативный плеврит
III. Характер выпота при экссудативном плеврите
1. Серозный
2. Серозно-фибринозный
3. Гнойный
4. Гнилостный
5. Геморрагический
6. Эозинофильный
7. Холестериновый
8. Хилезный
9. Смешанный
IV. Течение плеврита
1. Острый плеврит
2. Подострый плеврит
3. Хронический плеврит
V. Локализация плеврита
1. Диффузный
2. Осумкованный (отграниченный)
2.1. Верхушечный (апикальный)
2.2. Пристеночный (паракостальный)
2.3. Костнодиафрагмальный
2.4. Диафрагмальный (базальный)
2.5. Парамедиастинальный
2.6. Междолевой (интерлобарный)
Патогенез образования жидкости в плевральной полости:
- повышается проницаемость сосудов париетальной плевры, что приводит к повышению капиллярного гидростатического давления в висцеральной и париетальной плевре;
- увеличение количества белка в плевральной полости;
- снижение онкотического давления плазмы крови.
- снижение внутриплеврального давления (при ателектазах вследствие бронхогенного рака легкого, саркоидозе);
- нарушение оттока плевральной жидкости по лимфатическим сосудам.
При карциноматозных плевритах возможно сочетание нескольких механизмов.
Характеристика транссудата при циррозах печени. При циррозах жидкость в плевральной полости чаще встречается при асците. В отличие от выпота при застойной сердечной недостаточности выпот может быть одно - или двусторонним.
Механизм образования плеврального выпота при злокачественных новообразованиях:
1. Прямое влияние опухоли:
- метастазы опухоли в плевру (увеличивается проницаемость сосудов плевры и происходит обструкция лимфатических сосудов);
- поражение лимфоузлов средостения (снижение лимфатического оттока из плевры);
- закупорка грудного протока (с частым развитием хилоторакса);
- обструкция бронха (снижается внутриплеврального давления);
- поражение перикарда.
2. Опосредованное влияние
- гипопротеинемия вследствие метастатического поражения печени;
- эмболия сосудов.
РЕНТГЕНОВСКАЯ СИМПТОМАТОЛОГИЯ ПЛЕВРИТОВ ВЕСЬМА РАЗНООБРАЗНА И ЗАВИСИТ НЕ ТОЛЬКО ОТ КОЛИЧЕСТВА ВЫПОТА В ПЛЕВРАЛЬНОЙ ПОЛОСТИ, НО И ОТ МЕСТА «ДИСЛОКАЦИИ ВЫПОТА».
Иллюстрация 1. Наиболее часто встречающиеся варианты теневой картины.
Основное значение в диагностике заболеваний плевры имеют рентгенотелевидение и многопроекционная рентгенография.
Рентгенологическая картина свободного плеврального выпота (экссудат, транссудат) известна с первых лет применения рентгеновых лучей.
В 1901 г. Holzkneht сообщил о рентгенологической семиотике свободного плеврального выпота:
- затемнение нижних отделов легочного поля с косой вогнутой верхней границей;
- смещение срединной тени в противоположную сторону.
В 1924 г. Lenk сообщил, что при переводе больного из вертикального положения в горизонтальное на спине, а также в положение Тренделенбурга жидкость растекается по задней поверхности плевры, что приводит к затемнению соответствующего легочного поля. Данный феномен позволяет отличить наличие свободного выпота от легочной инфильтрации.
Дальнейшие исследования показали, что с целью выявления небольших количеств жидкости целесообразно исследование пациента в лабороположении.
Свободный выпотной плеврит. Рентгенологическая картина зависит от количества свободной жидкости, находящейся в плевральной полости - от небольших скоплений жидкости, которое скапливается над диафрагмой, а затем возникает затемнение реберно - диафрагмальных синусов (иллюстрация 2), в первую очередь самого глубокого их них - заднего рёберно - диафрагмального (иллюстрация 3).
В дальнейшем развивается типичная рентгенологическая картина, представленная в таблице.
Синдром / симптом
Характеристика.
Тотального или субтотального снижения прозрачности (одно - или двустороннего)
Интенсивное однородное затемнение нижней части легочного поля с косой верхней границей, идущей сверху и латерально - книзу и медиально (линия Эллиса - Дамуазо - Соколова) - иллюстрация 4.
Срединная тень
При односторонних поражениях и при значительных количествах жидкости, срединная тень смещается в противоположную сторону.
Феномен Ленка
В горизонтальном положении или в положении Тренделенбурга свободная жидкость растекается по плевральной полости, обуславливая равномерное однородное снижение прозрачности легочного поля - иллюстрация 5.
Кажущее высокое стояние купола диафрагмы
Косвенный признак наличия жидкости в плевральной полости, на стороне, где скапливается выпот - иллюстрация 6.
Уменьшение амплитуды экскурсий диафрагмы
Косвенный признак. При проведении рентгенотелевидения определяется резкое уменьшение дыхательных движений диафрагмы.
Увеличение расстояния между воздушным пузырем желудка
Косвенный признак (при локализации выпота слева) - увеличение расстояния между воздушным пузырем желудка и основанием легочного поля. В норме это расстояние не более 0,5 см. При появлении жидкости, ширина увеличивается до 1,5 - 2,0 см. и более - иллюстрация 7.
Смещение тени выпота при исследовании в латероположении
При рентгенотелевидении или на рентгенограмме, произведенной в латероположении определяется смещение тени выпота в нижележащие отделы - иллюстрация 8.
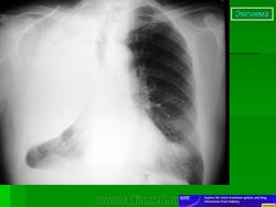
Иллюстрация 4. Субтотальное снижение прозрачности правого лёгочного поля с типичной косой верхней границей. Средостение смещено влево.
Иллюстрация 5. Феномен Ленка. Тотальное снижение прозрачности правого легочного поля.

Иллюстрация 6. Кажущее высокое стояние правого купола диафрагмы за счёт скопления жидкости справа базально.
Иллюстрация 7. Увеличение расстояния между воздушным пузырем желудка и основанием легочного поля.
Иллюстрация 8. В латероположении тень выпота смещается.
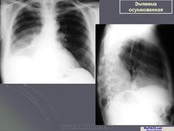
Осумкованный плеврит
Рентгеносемиотика плевритов.
2. Осумкованный паракостальный плеврит.
ОСУМКОВАННЫЕ ПЛЕВРИТЫ.
Выраженная тенденция плевральных листков к развитию слипчивого процесса объясняет значительную частоту возникновения осумкованных плевритов. Процесс осумкования, в значительной степени, зависит от образования шварт, которые формируются к концу первой недели патологического процесса.
На время формирования осумкованного плеврального выпота влияние оказывает также характер экссудата. Гнойный осумкованный выпот, как правило, прорывается в бронх или под кожу. Серозные и серозно-фибринозные осумкованные выпоты длительное время остаются без динамических изменений.
Наиболее часто осумковывается гнойный экссудат. Травматические геморрагические экссудаты также склонны к осумкованию.
Осумкование выпота может быть полным или частичным.
Наличие осумкованного выпота указывает на неблагополучие в соседних участках лёгкого: пневмонит, сморщивание, ателектаз, гиповентиляция и т.д.
Пристеночные (паракостальные) осумкованные плевриты являются результатом неполного рассасывания свободного экссудативного паракостального плеврита или транссудата, свои широким основанием прилежат к поверхности ребер.
В типичных случаях рентгенологическая картина пристеночных осумкований довольно характерна.
Они, скиалогически проявляясь синдромом «ограниченного затемнения», имеют форму теней, примыкающих широким плоским основанием к реберному краю.
Признак
Характеристика
Форма
Полуовальная или полуверетенообразная.
Положение
Широким плоским основанием прилежит к переднему (иллюстрация 1), наружному (иллюстрация 2), заднему (иллюстрация 3) реберным краям.
Контур
Выпуклый контур затемнения направлен в сторону лёгкого. Контур может быть двойным или даже тройным. Контур затемнения резко подчеркнут.
Структура затемнения
Однородная.
Интенсивность затемнения
Наибольшая интенсивность отмечается в центральных отделах, где жидкости больше.
В некраеобразующей проекции интенсивность невысока, контуры расплывчаты.
Форма «переходных» углов
В краеобразующей проекции имеется постепенный переход затемнения, на соседних участки реберного края, с образованием тупых углов.
Центр тени
Центр тени может находиться в лёгком и вне его.
Пристеночная плевра
Пристеночная плевра на довольно большом протяжении обычно заметно утолщена.
Смещаемость тени
При дыхании тень пристеночно осумкованного плеврита смещается по реберному типу, т.е. на вдохе кверху, а на выдохе книзу.
Синусы и междолевые щели
Расположенные по соседству междолевые щели и реберно-диафрагмальные синусы в большинстве случаев облитерируются.
Изменение конфигурации тени
Тень осумкованного выпота может изменять свою конфигурацию при дыхании - вытягиваться на вдохе и расширяться на выдохе.
Лёгочный рисунок
Легочной рисунок, в прилежащих к осумкованному выпоту участках, чаще всего, усилен и деформирован в результате воспалительного процесса или частичного сдавления легочной паренхимы со сближением в ней сосудистых ветвей.
Иллюстрация 1. Полуовальная тень осумкованного выпота широким основанием прилежит к переднему реберному краю.
Иллюстрация 2. Полуовальная тень осумкованного выпота широким основанием прилежит к наружному реберному краю.
Иллюстрация 3. Полуовальная тень осумкованного выпота широким основанием прилежит к заднему реберному краю.
Осумкованные пристеночные пневмоплевриты - развиваются в результате пункции, при которой воздух проникает в осумкованную полость, либо при прорыве выпота, обычного гнойного, в бронхиальное дерево.
Рентгенологическая картина:
- сохраняются резкие контуры тени, виден горизонтальный уровень жидкости;
- одновременно видны резкие внутренние контуры полости;
- прилежащая легочная ткань интактна.
Иллюстрация 4. Справа пристеночно тень ступенчатого пневмоплеврита.
От пристеночной внутрилегочной кисты осумкованный пневмоплеврит отличается большей толщиной и неравномерностью стенок.
При эмпиеме, занимающей большую площадь, внутренние контуры полости могут быть бугристыми и напоминать таковые при мезотелиоме.
Осумкованные пристеночные плевриты в некоторых случаях вызывают дифференциально-диагностические трудности.
В нижеприведенной таблице представлены нозологические единицы, с которыми, в ряде случаев приходится проводить дифференциальную диагностику.
Нозологическая единица
Опорные дифференциально-диагностические признаки
Субплевральная гематома в результате перелома ребра
Анамнез, быстрое обратное развитие теневой картины.
Холодные абсцессы, исходящие из ребер
Тщательное изучение структуры ребер позволяет поставить правильный диагноз.
Опухоли, исходящие из ребер и париетальной плевры
Тщательное изучение структуры ребра. В трудных случаях показана диагностическая пункция.
Опухоли, расположенные в периферических отделах лёгких, сопровождающиеся «плевральной реакцией»
Характер смещения образований при дыхании по отношению к ребрам. Внутрилегочные образования, расположенные в нижних и средних отделах лёгких, на вдохе смещаются книзу, по сравнению с осумкованным пристеночным плевритом, тень которого, вместе с ребрами на вдохе смещаются кверху. При локализации патологического процесса в верхних отделах этот признак теряет свое диагностическое значение. В наиболее сложных случаях необходима диагностическая пункция.
Исходы пристеночных осумкованных плевритов.
1.Полное рассасывание.
2.Остаточные явления в виде различной степени участков уплотненной плевры, плевральных напластований.
3.Возможна облитерация междолевых щелей, косто - диафрагмальных синусов.
4.При обширных патологических процессах может наблюдать смещение диафрагмы, срединной тени, сужение межреберных промежутков.
5.Иногда отмечается «организация выпота» в результате прорастания его соединительной тканью. Данное образование имеет картину тождественную осумкованному пристеночному плевриту, и в данном случае для решения дифференциально-диагностических трудностей, показана пункция.
6.Осумкованный плеврит может подвергнуться обызвествлению или по краю образования, реже в его толще.
7.Как следствие прорыва эмпиемы плевры в бронх или мягкие ткани, могут образоваться длительно существующие внутренние бронхоплевральные свищи, поддерживающие течение пневмоплеврита.
Верхушечный (апикальный) осумкованный плеврит - редкая локализация осумкованных плевритов (иллюстрация 5). Он наблюдается чаще всего у больных туберкулезом, сопровождающимся поражением верхушки лёгкого и сморщиванием легочной ткани. Также осумкованный плеврит данной локализации довольно часто имеет место при доброкачественных и злокачественных опухолях верхнего отдела средостения, верхних ребер, плевры. Довольно редко апикальные плевриты могут иметь место при травмах.
Иллюстрация 5. Верхушечный (апикальный) осумкованный плеврит.
Дифференциальная диагностика осумкованных плевритов данной локализации имеет определенные трудности. Томографическое исследование при данной патологии обязательно.
Рентгенологическая картина представлена в нижеприведенной таблице.
Признак - затемнение
Характеристика признака
Положение
Снижение прозрачности верхушки лёгкого.
Интенсивность
Значительная.
Нижний контур
Выпуклый, провисает.
Контур затемнения
Может быть резким, четким, не четким.
Другие структуры на фоне затемнения
Дифференцируются неизмененные рёбра.
Легочной рисунок
В соседних отделах усилен, деформирован.
При осумкованном плеврите бронхи и сосуды только оттеснены книзу, проходимы, а в части случаев даже расширены.
Ателектаз или цирроз доли вызывает характерные грубые изменения бронхов и сосудов, хорошо выявляемые при их контрастном исследовании.
Опухоли данной локализации, как злокачественные, так и доброкачественные, часто сопровождаются реакцией близлежащей верхушечной плевры с образованием осумкованного апикального плеврита со всеми характерными рентгенологическими симптомами. В данной ситуации за тенью выпота тень опухолевого узла обнаружить чрезвычайно трудно.
В ряде случаев, для проведения дифференциальной диагностики пункция просто обязательна.
Исходы осумкованного плеврита, данной локализации, аналогичны приведенным ранее.
Рентгеносемиотика плевритов.
3. Осумкованные интерлобарные плевриты.
Рентгенологическая картина в полной степени зависит от количества экссудата, от локализации, состояния окружающих тканей.
Междолевые осумкованные плевриты являются следствием свободного выпота, как результат «затекания» экссудата в междолевые щели, где и происходит процесс осумкования. Довольно часто процесс осумкования происходит на уровне сердечно-диафрагмальных синусов.
Как правило, исследование только в прямой проекции, не позволяет поставить диагноз. Типичная скиалогическая картина междолевого осумкованного плеврита имеет отображение на боковой рентгенограмме.
В нижеприведенной таблице, отображена скиалогическая картина, наблюдаемая при междолевом осумкованной плеврите.
Симптом/признак
Характеристика
Снижение прозрачности в прямой проекции
Нечетко очерченная тень округлой или овальной формы по типу фокусной, однородной структуры с нечёткими, размытыми контурами.
Снижение прозрачности в боковой проекции
Затемнение топографически соответствует главной междолевой щели и малой междолевой щели (справа).
Форма затемнения
Вытянутая, веретенообразная, линзообразная постепенно сужающаяся в виде линейных теней, что отображает уплотненную междолевую плевру. Треугольная форма - при примыкании к диафрагме.
Окружающая легочная ткань (паренхима)
При небольших количествах выпота окружающая ткань интактна.
Контуры тени
Ровные, четкие. Нижний контур затемнения, как правило, провисает, верхний контур более плоский. Иногда контур может иметь волнообразный характер.
Плевра
Утолщена.
Плевральные шварты
Часто наблюдаются при гнойном процессе. Толщина плевральных шварт может превышать 1 см. Наличие плевральных шварт может обусловить «деформацию» типичной линзообразной или веретенообразной тени.
Подвижность купола диафрагмы на стороне поражения
Может быть снижена.
Реберно-диафрагмальные синусы
Могут быть облитерированы. Особенно часто облитерируется передний реберно-диафрагмальный синус.
При наличии «добавочных междолевых щелей» в них также могут локализоваться осумкованные выпоты.
Иллюстрации 1, 2. Теневая картина осумкованного выпота в малой междолевой щели.
Иллюстрации 5, 6. Теневая картина осумкованного выпота в верхних отделах главной междолевой щели.
Иллюстрации 7, 8. Теневая картина осумкованного выпота в (добавочной) межмегментарной щели верхней доли справа.
Иллюстрация 9, 10. Теневая картина осумкованного выпота в (добавочной) межмегментарной щели нижней доли справа.
Иллюстрации 13, 14. Теневая картина междолевого осумкованного выпота, с преимущественным осумкованием в области переднего реберно-диафрагмального синуса.
Дифференциальную диагностику необходимо проводить с воспалительными процессами в легочной ткани, перисциссуритами, «маргинальными пневмониями» «среднедолевым синдромом», ателектазами, кистами, доброкачественными и злокачественными образованиями
Рентгеносемиотика базальных осумкованных плевритов.
Диафрагмальный (базальный) осумкованный плеврит.
Осумкованный базальный выпот имеет место при многих заболеваниях, которые локализуются в базальных отделах: пневмония, опухоли лёгких и плевры, ателектаз, среднедолевой синдром, хроническая пневмония. Осумкованный плеврит также может иметь место при воспалительных процессах верхнего этажа брюшной полости.
По данным литературы авторы выделяют следующие виды диафрагмальных осумкованных выпотов:
Для него характерно следующее:
Признак
Характеристика
Снижение прозрачности
Овальная или треугольная тень, лучше определяющаяся на боковой рентгенограмме, широким основанием прилежащая к тени диафрагмы, вершина направлена по ходу междолевой щели - иллюстрации 3, 4.
При глубоком дыхании
Изменения тени незначительные, зависят от распространенности процесса швартообразования.
Экскурсии купола диафрагмы со стороны поражения
Снижены за счет спаячного процесса.
Синусы плевры
Передний наружный и задний косто - диафрагмальные синусы, чаще полностью облитерированы.
Диафрагмально-паракостальные осумкованные плевриты (пе-редние, задние, боковые).
Теневая картина зависит от локализации и распространенности процесса, и включает в себя скиалогические компоненты, как диафрагмального, так и паракостального осумкованного плевритов - иллюстрации 5, 6, 7.
Диафрагмально - парамедиастинальные осумкованные плевриты.
Теневая картина включает в себя компоненты, как диафрагмального, так и парамедиастинального осумкованного плевритов. Скиалогически определяется затемнение, локализующееся над диафрагмой, которое распространяется на парамедиастинальную область - иллюстрация 8.
Безусловно, что теневая картина зависит от количества осумкованного выпота.
Эмпиема плевры.
Гнойным плевритом или эмпиемой плевры называют скопление гнойного выпота в плевральной полости.
Этиология
Наиболее часто возбудителями гнойного плеврита являются стафилококки, стрептококки, синегнойная палочка, кишечная палочка. Нередко в посевах плеврального содержимого встречаются пневмококк, протей, клебсиелла и дрожжевые грибки. У многих больных высевают по два и более возбудителя. В последние годы при гнойных плевритах все чаще обнаруживают анаэробные бактерии, которые раньше находили, главным образом, при гнилостных эмпиемах, осложнявших течение гангрены легкого.
Патогенез плеврита
1. Повышение проницаемости висцеральной плевры в связи с воспалением.
2. Нарушение дренажа через париетальную плевру.
3. Блокирование путей оттока лимфы от легких метастазами или хроническим воспалением --> ретроградное движение лимфы в сторону висцеральной плевры.
4. Роль иммунологических реакций преимущественно 3 и 4 типа в зоне плевральных листков с освобождением биокативных веществ и нарушением микроциркуляции.
Накоплению жидкости способствуют:
1. Задержка Na+ и снижение белка, например при нефротическом синдроме, сердечной недостаточности.
2. Повышение АД в легочных артериях, это при недостаточности левого желудочка, тромбозе легочных вен, повышении давления в легочных капиллярах.
Патогенез сухого плеврита единственно отличается образованием спаек, так как выпадает фибрин. Патогенез боли: воспалительный отек париетальной плевры, которая чрезвычайно чувствительна к боли, а висцеральная плевра не обладает болевой чувствительностью -> междолевой плеврит без боли.
Патогенез и классификация
Гнойный плеврит, как правило, является вторичным заболеванием, осложняющим течение пневмоний, в том числе гриппозных, абсцессов легкого и туберкулеза. Эмпиема плевры может возникать после проникающих ранений грудной клетки, травматических повреждений органов грудной полости, в том числе ятрогенных, и при гнойных процессах различной локализации.
Наиболее часто встречаются пара- и метапневмонические гнойные плевриты, разница между которыми заключается во времени развития нагноения в плевре по отношению к вызвавшей его пневмонии - в разгар или в конце заболевания. Их разделение при ретроспективном анализе иногда бывает весьма трудным. При прорыве в плевральную полость одного или нескольких субплеврально расположенных абсцессов легкого развивается эмпиема с деструкцией легочной ткани. Если в полость плевры прорывается внутрилегочный гнойник, сообщающийся с бронхами, возникает пиопневмоторакс, поддерживаемый образующимися при этом бронхоплевральными свищами. Реже инфекция проникает в плевральную полость лимфогенным путем. В этом случае нагноение плеврального выпота может не сопровождаться появлением очагов распада в легочной паренхиме. Такую эмпиему без деструкции легочной ткани называют "простая эмпиема". Инфицирование плевры может произойти и гематогенным путем из источников инфекции внелегочной локализации. Эмпиема при этом носит характер метастатической. При гнойных панкреатитах, паранефритах и поддиафрагмальных абсцессах, когда в воспалительный процесс вовлекается диафрагма и прилегающая к ней диафрагмальная плевра, развивается так называемая симпатическая (или содружественная) эмпиема.
Выделяют 3 стадии гнойного плеврита, переходящие одна в другую и имеющие различную продолжительность у разных больных. На первой стадии в результате воспаления плевры в ее полости появляется серозный экссудат. При правильно подобранной антибактериальной терапии накопление экссудата может прекратиться и жидкость подвергнется спонтанной резорбции. Если терапия неадекватна и бактерии тем или иным путем проникают в плевральный экссудат и размножаются в нем, возникает вторая стадия заболевания - фибринозно-гнойная. В жидкости увеличивается количество бактерий, полиморфно-ядерных лейкоцитов и детрита. Прозрачный серозный экссудат мутнеет и быстро приобретает гнойный характер. Под действием фибробластов на поверхности париетальной и, особенно, висцеральной плевры образуются фибринозные пленки, а между листками плевры возникают сращения - сначала рыхлые, а затем все более плотные. Спайки ограничивают распространение гноя по полости плевры и способствуют возникновению внутриплевральных осумкований. Содержащийся в них гнойный экссудат становится густым и самостоятельно рассосаться не может. Третья стадия, стадия фиброзной организации, характеризуется образованием плотных шварт, покрывающих коллабированое легкое. Последнее становится неподвижным и перестает функционировать, а в дальнейшем подвергается фиброзным изменениям. Возникает так называемый плеврогенный цирроз легкого.
Клиническая картина
Точно определить начало гнойного плеврита удается не всегда, так как его симптомы, как правило, завуалированы симптоматикой вызвавшего плеврит заболевания: абсцедирующей пневмонии, острого панкреатита, поддиафрагмального абсцесса и т.д., а нередко и сходны с ней. Больные жалуются на нарастающую одышку, кашель, лихорадку, ознобы. Плеврит может начинаться с появления болей в боку, усиливающихся при дыхании, а иногда сопровождается болями в животе и парезом кишечника. При развитии метапневмонической эмпиемы эти симптомы появляются и усиливаются после стихания симптомов воспаления легкого, спустя 3-5 дней после кризиса, как вторая волна инфекции. Усиление интоксикации и дыхательной недостаточности в разгар пневмонии заставляет заподозрить развитие парапневмонической эмпиемы или пиопневмоторакса. Возникновение последнего может сопровождаться клиникой плеврального шока - резчайшей болью в боку, одышкой, холодным потом, иногда коллаптоидным состоянием. Однако чаще наблюдаются стертые клинические формы осложнения: боли отсутствуют или выражены незначительно. Острых нарушений дыхания нет. Постепенно усиливаются симптомы интоксикации, нарастает кашель, увеличивается количество мокроты. Пациент принимает вынужденное положение на больном боку, а при вертикальном положении изгибается в больную сторону. Изредка осумкованный гнойный выпот прорывается через лопнувшую стенку абсцесса в достаточно крупный бронх. В этом случае ведущим симптомом будет внезапное появление обильной гнойной мокроты с неприятным запахом, отхаркиваемой "полным ртом".
Иногда гной из неадекватно дренированного внутриплеврального гнойника может проникнуть в ткани грудной стенки и в подкожную клетчатку. Клиническая картина в развернутой фазе гнойного плеврита определяется симптомами гнойно-резорбтивной лихорадки, в основе которой лежат три фактора: нагноение, всасывание (резорбция) продуктов распада тканей и жизнедеятельности микробов и потери организма, неизбежные при гнойном воспалении. Степень выраженности этих симптомов и тяжесть состояния больного могут быть различными - от умеренно выраженных до тяжелейших, и не всегда строго коррелируют с размерами полости эмпиемы и количеством в ней гноя. На фоне усиления интоксикации возникают функциональные нарушения со стороны сердечно-сосудистой системы, печени и почек, которые по мере прогрессирования болезни при неадекватном лечении могут сменяться органическими изменениями внутренних органов, характерными для септического состояния. Выраженные потери белка и электролитов в острой фазе воспаления при недостаточной их компенсации приводят к волемическим и водно-электролитным расстройствам, уменьшению мышечной массы и похуданию. На этом фоне часто отмечается пастозность лица, пораженной половины грудной клетки, могут возникать отеки нижних конечностей. По мере прогрессирования заболевания гнойно-резорбтивная лихорадка постепенно переходит в истощение. Как правило, это наблюдается у больных эмпиемой плевры с обширной деструкцией легкого. На фоне прогрессирующей гипопротеинемии больные приобретают вид длительно голодающих. Кожные покровы становятся сухими. Лихорадка, имевшая ранее ремиттирующий или интермиттирующий характер, сменяется субфебрилитетом или нормализуется, что является прогностически неблагоприятным признаком, свидетельствующим о резком снижении реактивности организма. Дистрофические изменения миокарда, печени, почек, надпочечников приводят к выраженным нарушениям их функции. Больные становятся вялыми и апатичными. Гипо- и диспротеинемия, вызванные нарушениями белковообразующей функции печени, активизируют свертывающую систему крови, что резко увеличивает опасность тромбообразования и эмболии, от которых больные нередко и погибают. Вывести пациента из состояния гнойно-резорбтивного истощения крайне трудно, и прогноз при этом плохой.
В типичных случаях выявить наличие жидкости в плевральной полости можно с помощью физикального обследования. Однако при выраженной воспалительной инфильтрации в легком появление относительно небольшого количества экссудата может остаться незамеченным даже при тщательной перкуссии и аускультации. Поэтому в диагностике плеврального выпота главная роль принадлежит рентгенологическому исследованию.
Рентгенодиагностика
В большинстве случаев при развитии гнойного плеврита выпот вначале скапливается в наддиафрагмальном пространстве, в его наиболее низко расположенных отделах - синусах. В связи с этим первыми рентгенологическими признаками наличия жидкости в плевральной полости служат сглаженность реберно-диафрагмального синуса на рентгенограммах в прямой и, особенно, в боковой проекциях и кажущееся высокое положение купола диафрагмы. Массивная воспалительная инфильтрация нижней доли легкого может затруднить выявление этих симптомов. В этом случае рекомендуют сделать рентгенограмму в положении пациента лежа на больном боку. При этом жидкость распределяется вдоль грудной стенки и становится хорошо видимой. Это позволяет не только подтвердить наличие выпота в полости плевры, но и приблизительно определить его объем. При толщине полосы жидкости более 10 мм количество последней составляет более 200 мл и при плевральной пункции ее можно аспирировать шприцом. Однако этот прием срабатывает только при свободной от сращений плевральной полости, равно как и появление косой верхней границы затемнения, известной как линия Эллиса-Дамуазо, возникающей при увеличении объема выпота. Дальнейшее накопление экссудата приводит к нарастающему затемнению и смещению средостения в противоположную сторону. Последний признак, однако, отмечается лишь в тех случаях, когда легкое в связи с воспалительной инфильтрацией теряет свою эластичность и не спадается под давлением окружающей его жидкости, либо при очень большом объеме выпота.
При наличии бронхоплеврального свища в плевральной полости можно увидеть скопление воздуха. Верхняя граница выпота при этом становится хорошо различимой в виде горизонтального уровня. На фоне воздуха, как правило, становится видимым и поджатое легкое, что позволяет оценить степень его коллапса. К коллапсу I степени относит те случаи эмпием, при которых легкое поджато в пределах анатомических границ плаща, к коллапсу II степени - в пределах ствола, и к коллапсу III степени - в пределах ядра. Степень коллапса определяет величину функционального уменьшения объема легкого и прямо пропорциональна выраженности дыхательной недостаточности, которая в случаях клапанного (напряженного) пиопневмоторакса бывает резко выраженной и угрожает жизни больного.
По распространенности и локализации выделяют тотальные эмпиемы, захватывающие всю плевральную полость от купола до диафрагмы, распространенные, при которых эмпиема ограничивается двумя или тремя анатомическими стенками плевральной полости (например, реберной и диафрагмальной, или медиастинальной, диафрагмальной и реберной) и ограниченные, в образовании которых принимает участие одна плевральная стенка. По локализации такие эмпиемы бывают пристеночными, апикальными и базальными.
Наличие спаечного процесса значительно изменяет рентгенологическую картину, нередко затрудняя диагностику эмпиемы. Иногда бывает очень непросто определить, где находится гнойная полость - в легком или в плевре, особенно если этих полостей несколько. Являются ли они очагами деструкции паренхимы или ограниченными внутриплевральными гнойниками? Шаровидная или слегка овальная форма полости свидетельствует в пользу абсцесса легкого, вытянутая в каудально-краниальном направлении - эмпиемы. При эмпиеме поперечник полости у нижнего ее полюса всегда превышает таковой у верхнего. Стенки полости абсцесса примерно одинаковы по толщине, тогда как медиальная стенка полости эмпиемы, образованная висцеральной плеврой, как правило, тоньше латеральной. Внутренние контуры стенки абсцесса - более бугристые и неровные.
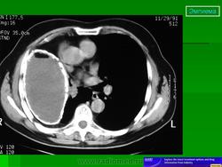
Если гнойный плеврит сопровождается значительной деструкцией легкого, то внутренней границей осумкованной полости эмпиемы может являться не висцеральная плевра, а разрушенная и деформированная паренхима легкого. Подобная картина может возникать и в тех случаях, когда гнойному расплавлению подвергается наружная стенка обширного солитарного субплеврально расположенного абсцесса легкого. Характерным рентгенологическим признаком такой "абсцесс-эмпиемы" является неровная, изъеденная и утолщенная медиальная стенка полости. Наиболее точно определить наличие жидкости в полости плевры и локализовать внутриплевральное осумкование позволяет компьютерная томография. Значительную пользу для правильной диагностики осумкованных полостей и бронхоплевральных свищей может принести введение контрастного вещества в полость - плеврофистулография.
Ультразвуковое исследование (УЗИ)
Ультразвуковая эхолокация весьма информативна при осумкованной эмпиеме. При наличии плеврального экссудата проксимальное эхо от кожи, межреберных мышц и париетальной плевры отделяется от дистального эха висцеральной плевры свободным от эха пространством. УЗИ позволяет обнаружить даже небольшое количество плевральной жидкости, его с успехом используют для определения места плевральной пункции.
Бронхоскопия
Эмпиема плевры не имеет характерной бронхоскопической картины. Лишь при значительном коллабировании легкого можно отметить сближение сегментарных бронхов, потерю их тонуса, иногда отечность слизистой и увеличение ее складчатости - слизистая в виде "рук прачки". Однако бронхоскопия очень важна для исключения внутрибронхиальной патологии, которая может оказаться причиной развития пневмонии и осложнившего ее гнойного плеврита. В первую очередь это относится к центральному раку легкого, инородным телам бронхов и другим, более редким заболеваниям бронхиальной системы. Кроме того, бронхоскопия позволяет выявить наличие и форму эндобронхита и определить показания к санации трахеобронхиального дерева.
Плевральная пункция и исследование экссудата
Рентгенологическое и ультразвуковое исследования позволяют определить наличие жидкости в плевральной полости, ее локализацию и примерный объем. Однако для изучения самого выпота и подтверждения его гнойного характера необходима плевральная пункция. Плевру пунктируют с помощью длинной и достаточно толстой иглы, соединенной со шприцом трубкой из силиконовой резины. При опорожнении шприца трубку пережимают для предотвращения попадания воздуха в плевральную полость. Пункцию выполняют под местной анестезией. Оптимальным местом пункции является точка в 6-7-м межреберье по задней подмышечной линии в положении больного сидя. При осумкованной эмпиеме место пункции определяют при рентгеноскопии или УЗИ.
При гнойном характере выпота проводят бактериологическое исследование для определения микрофлоры и ее чувствительности к антибиотикам. Если же полученная жидкость прозрачна или слегка мутновата, то кроме посева ее рекомендуют отцентрифугировать и осадок исследовать под микроскопом. Наличие большого количества нейтрофилов свидетельствует о начале гнойного плеврита, а рост патогенной микрофлоры в посеве подтверждает этот диагноз. Ряд дополнительных исследований плевральной жидкости способствует уточнению диагноза. Для гнойного выпота характерно низкое содержание глюкозы (менее 40 мг на 100 мл), снижение pН (менее 7,0). Цитологическое исследование экссудата, особенно при его гнойно-геморрагическом характере, необходимо для диагностики первичного или вторичного опухолевого поражения плевры, о чем свидетельствуют найденные в мазках атипичные клетки.
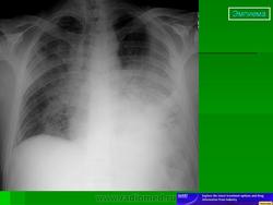
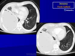
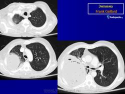
Эмпиема.
Левосторонний паракостальный осумкованный плеврит.
Правосторонний паракостальный осумкованный плеврит.
Правосторонний паракостальный осумкованный плеврит.
Продолжение.
от Nikolas
Плевральный выпот
Продолжение.
+1
Катенёв Валентин Львович - отличный русский врач! Вот у кого можно было учиться! Как жаль, что его не стало с нами. Огромная потеря для сайта!