Онкология. Пиломатриксома. Рilomatricomа. +

Пиломатриксома.

Синонимы: пиломатрикома, эпителиома некротизируюгцаяся, эпителиома обызвествленная Малерба, кальцифицирующийся невус, эпителиома кальцифицирующаяся Малерба-Шенантс.

Довольно редкая исходно доброкачественная опухоль сложного строения и спорного происхождения, по мнению одних авторов, опухоль развивается из первичного эпителиального ростка с дифференцировкой в направлении волосяных структур. Базофильные летки, составляющие основу опухоли, рассматривается ими как эквивалент клеток волосяного матрикса. По мнению других, при некротизирующейся эпителиоме не бывает четкой дифференцировки в направлении волосяных фолликулов, так как эта опухоль гистогенетически связана со стенкой эпидермальной меты.

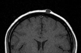
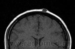
Клинически пиломатриксома представляет собой узел шаровидной или шальной формы, хорошо пальпируемый под поверхностью кожи. Характерная особенность этой опухоли - ее плотная консистенция. Опухоль не спаяна с окружающими тканями, подвижна, иногда умеренно болезненна при пальпации. Обычный размер новообразования 0,5-3 см и более. В начале заболевания расположенный в глубоких слоях кожи опухолевый очаг больших размеров практически не заметен и не вызывает никаких субъективных ощущений у пациента. С течением времени, постепенно увеличиваясь в размepax, опухоль начинает выбухать над поверхностью кожи, которая иногда выглядит истонченной, атрофичной, гиперемированной, может шелушиться и порываться коркой (изредка встречаются пигментные формы). Больные начинают предъявлять жалобы на гуд, жжение, покалывание и (чаще всего при локализации на лице) на онемение.

Обнаружение у одного больного двух, трех и более опухолей одновременно - явление редкое. Множественная некротизирующаяся эпителиома - казуистика. Новообразование чаще располагается на лице, волосистой части головы, шее, бедрах, реже - на плечах, туловище.

Заболевание развивается преимущественно в детском возрасте, несколько чаще - у женщин. По данным некоторых авторов, около 40% опухолей обнаруживается в возрасте до 10 лет и более 60% - до 20-летнего возраста. Считается, что фактором, провоцирующим развитие некротизирующейся эпителиомы, может являться травма. Вместе с тем известны и семейные случаи заболевания. В целом достоверной информации об этиологии этого новообразования нет, что объясняется его незначительной распространенностью.

Течение длительное, опухоль растет медленно и вполне доброкачественно. Воспаляется и изъязвляется крайне редко. Обнаружение этих симптомов при некротизирующейся эпителиоме - грозный симптом, свидетельствующий о малигнизации. Вероятность клинически установить диагноз "изъязвленная некротизирующаяся эпителиома" ничтожно мала, поскольку, по данным литературы, правильный клинический диагноз даже типичной некротизирующейся эпителиомы ставится лишь в одном случае из пятидесяти. Как правило, диагноз устанавливается на основании гистологического исследования, хотя и здесь частота ошибок достаточно велика.

После удаления опухоли высока вероятность рецидивов; в этих случаях возможны инвазивный рост и злокачественная трансформация по базальноклеточному типу.

Дифференциальная диагностика. Некротизирующуюся эпителиому следует дифференцировать от базалиомы, эпидермальной кисты, атеромы, цилиндромы кожи, фибромы.

Лечение оперативное - иссечение вместе с окружающими тканями. Выполняется традиционным методом либо посредством лазерного скальпеля. Некротизирующуюся эпителиому не следует пытаться вылущивать! Хрупкая оболочка неизбежно будет повреждена, что обязательно приведет к рецидиву.

Ред. C. Дaнилoв

Катенёв Валентин Львович аватар
Не на сайте
Был на сайте: 7 лет 5 месяцев назад
Зарегистрирован: 22.03.2008 - 22:15
Публикации: 54876

Злокачественная пиломатриксома (син. pilomatrix carcinoma) — чрезвычайно редкая злокачественная опухоль, возникающая обычно de novo или, реже, в результате злокачественной трансформации пиломатриксомы. Несмотря на результаты иммуногистохимических исследований, в соответствии с которыми базофильные клетки и клетки-тени в данной опухоли положительно окрашиваются на кератин волоса, а переходные и ороговевающие клетки — только на инволюкрин. происхождение опухоли пока остается неясным.

Среди пациентов со злокачественной пиломатриксомой отмечено преобладание мужчин над женщинами (3:1). Средний возраст больных составляет 44 года, лишь 7 из них были моложе 18 лет.

Клинически злокачественная пиломатриксома представляет собой узел диаметром от 1 до 20 см (в среднем 4 см). Его консистенция в зависимости от степени кальцификации опухолевых тканей варьирует от мягкой до плотной. Опухоль обычно располагается на голове и шее (57%). Наиболее частые локализации, в порядке убывания: шея, околоушные и поза-диушные поверхности, волосистая часть головы. Изредка описывают злокачественные пиломатриксомы грудной клетки (13%), спины (11%), верхних (10%) и нижних (9%) конечностей. У детей опухоль также преимущественно (в 50% случаев) располагается на голове и шее, но ее диаметр меньше (в среднем 2 см), а максимальный размер не превышает 4см.

Гистологическое строение злокачественной пиломатриксомы. Эпидермис над опухолью не имеет характерных особенностей, истончен или изъязвлен. Подобно своему доброкачественному аналогу, опухоль содержит базалоидные клетки и клетки-тени. Базалоидные клетки располагаются по периферии тяжей и островков, инфильтрирующих окружающую строму. В центре эпителиальных комплексов находятся клетки-тени с эозинофильной цитоплазмой и остатком бледног ядра. Отмечается переходная дифференцировка в плоские клетки и светлые клетки без атипии. Могут также формироваться кистозные полости. Как и при пиломатриксоме, в злокачественной пиломатриксоме определяются кератинизация. кальцификация. Строма фиброзная, содержит очаговые скопления гистиоцитов и гигантских многоядерных клеток инородных тел.

Злокачественность злокачественной пиломатриксомы проявляется обилием митозов среди активно пролиферирующих базалоидных клеток. Уровень митозов значительно выше, чем при пиломатриксоме (31 и 14 на одно поле зрения, соответственно). Нередко встречаются атипичные фигуры митоза. Характерны также очаги некроза и лимфоид-ная инфильтрация стромы на границе с атипическим эпителием. Инвазивный рост злокачественной пиломатриксомы заключается в распространении опухолевых комплексов в подкожную жировую клетчатку, фасции и мышцы; отмечается перине вральная, сосудистая и лимфатическая инвазия.

При иммуногистохимическом исследовании злокачественной пиломатриксомы опухолевые клетки положительно окрашиваются при реакции на высокомолекулярные цитокератины, изоантигены групп крови, антиген эпителиальной мембраны, Р2-микроглобулин и отрицательно — при реакции на антитела против низкомолекулярных цитокера-тинов, протеин S-100 и раково-эмбриональ-ный антиген. Однако, в связи с тем что клетки злокачественной пиломатриксомы имеют иммуногистохимические характеристики, аналогичные клеткам трихофолликуломы, трихолеммальной кисты и пролиферирующей трихолеммальной кисты, для диагностики опухоли пользуются только данными гистологического исследования.

Дифференциальный диагноз злокачественной пиломатриксомы проводится с пиломатриксомой, от которой ее злокачественный аналог отличается развитием в более позднем возрасте, инфильтрацией за пределы дермы клеточным полиморфизмом, высоким уровнем митозов с атипичными фигурами, наличием кистозных пространств, очагов некроза, а также рецидивированием после хирургического удаления.

Наличие переходных клеточных элементов между базалоидными клетками и клеткамитенями и явлений обызвествления помогает отличить злокачественную пиломатриксому от базалиомы с признаками кератинизации, плоскоклеточного рака кожи, злокачественной фиброзной гистиоцитомы и пролиферирующей трихолеммальной кисты. В связи с частой околоушной локализацией злокачественной пиломатриксомы, ее следует также отличать от смешанной опухоли околоушной слюнной железы.

Течение злокачественной пиломатриксомы. Среди 47 больных злокачественной пиломатриксомой описано четыре случая метастазирования (9%). В трех случаях опухоль метастазировала в легкие и в одном — в кости. Возраст больных с наличием метастазов варьировал от 32 до 88 лет. В каждом случае они явились причиной смерти. Не установлено ни клинических, ни гистологических прогностических критериев метастазирования злокачественной пиломатриксомы.

Катенёв Валентин Львович аватар
Не на сайте
Был на сайте: 7 лет 5 месяцев назад
Зарегистрирован: 22.03.2008 - 22:15
Публикации: 54876
Катенёв Валентин Львович аватар
Не на сайте
Был на сайте: 7 лет 5 месяцев назад
Зарегистрирован: 22.03.2008 - 22:15
Публикации: 54876

Preauricular pilomatricoma: An uncommon entity in a dental pediatric patient

https://www.ncbi.nlm.nih.gov/pmc/articles/PMC5134083/